ANXA11 Antibody
-
中文名稱:ANXA11兔多克隆抗體
-
貨號:CSB-PA001838EA01HU
-
規格:¥440
-
圖片:
-
Western Blot
Positive WB detected in: A549 whole cell lysate
All lanes: ANXA11 antibody at 1:500
Secondary
Goat polyclonal to rabbit IgG at 1/50000 dilution
Predicted band size: 54 kDa
Observed band size: 54 kDa
Exposure time: 5s -
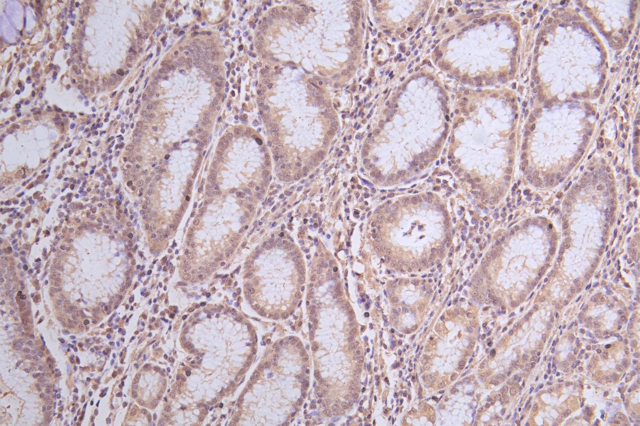
IHC image of CSB-PA001838EA01HU diluted at 1:50 and staining in paraffin-embedded human gastric cancer performed on a Leica BondTM system. After dewaxing and hydration, antigen retrieval was mediated by high pressure in a citrate buffer (pH 6.0). Section was blocked with 10% normal goat serum 30min at RT. Then primary antibody (1% BSA) was incubated at 4°C overnight. The primary is detected by a Goat anti-rabbit polymer IgG labeled by HRP and visualized using 0.05% DAB.
-
Immunofluorescence staining of Hela cell with CSB-PA001838EA01HU at 1:25, counter-stained with DAPI. The cells were fixed in 4% formaldehyde and blocked in 10% normal Goat Serum. The cells were then incubated with the antibody overnight at 4C. The secondary antibody was Alexa Fluor 488-congugated AffiniPure Goat Anti-Rabbit IgG(H+L).
-
-
其他:
產品詳情
-
產品名稱:Rabbit anti-Homo sapiens (Human) ANXA11 Polyclonal antibody
-
Uniprot No.:
-
基因名:ANXA11
-
別名:56 kDa autoantigen antibody; Annexin A11 antibody; Annexin XI antibody; Annexin-11 antibody; AnnexinA11 antibody; AnnexinXI antibody; ANX 11 antibody; ANX A11 antibody; ANX11 antibody; ANX11_HUMAN antibody; ANXA 11 antibody; ANXA11 antibody; Autoantigen 56 kD antibody; Calcyclin associated annexin 50 antibody; Calcyclin-associated annexin 50 antibody; CAP 50 antibody; CAP-50 antibody; CAP50 antibody; OTTHUMP00000059806 antibody
-
宿主:Rabbit
-
反應種屬:Human
-
免疫原:Recombinant Human Annexin A11 protein (23-505AA)
-
免疫原種屬:Homo sapiens (Human)
-
標記方式:Non-conjugated
-
克隆類型:Polyclonal
-
抗體亞型:IgG
-
純化方式:Antigen affinity purification
-
濃度:It differs from different batches. Please contact us to confirm it.
-
保存緩沖液:Preservative: 0.03% Proclin 300
Constituents: 50% Glycerol, 0.01M PBS, PH 7.4 -
產品提供形式:Liquid
-
應用范圍:ELISA, WB, IHC, IF
-
推薦稀釋比:
Application Recommended Dilution WB 1:500-1:5000 IHC 1:20-1:200 IF 1:50-1:200 -
Protocols:
-
儲存條件:Upon receipt, store at -20°C or -80°C. Avoid repeated freeze.
-
貨期:Basically, we can dispatch the products out in 1-3 working days after receiving your orders. Delivery time maybe differs from different purchasing way or location, please kindly consult your local distributors for specific delivery time.
-
用途:For Research Use Only. Not for use in diagnostic or therapeutic procedures.
相關產品
靶點詳情
-
功能:Binds specifically to calcyclin in a calcium-dependent manner. Required for midbody formation and completion of the terminal phase of cytokinesis.
-
基因功能參考文獻:
- Both ANXA11 G38R protein and ANXA11 D40G protein showed a shorter half-life than ANXA11 wild type protein, while there was no difference between ANXA11 G38R protein and ANXA11 D40G protein. There was no visible insoluble substance in the NP-40 lysates for ANXA11 wild type protein, ANXA11 G38R protein and ANXA11 D40G protein. G38R and D40G mutations reduce the stability of ANXA11 protein. PMID: 30109997
- Genetic variants in RAB23 and ANXA11 genes were associated with an increased risk of sarcoidosis-associated uveitis. PMID: 29416296
- ANXA11 plays a critical role in regulating gastric cancer proliferation, migration, and invasion. PMID: 29306955
- Data conclude that mutations in ANXA11 are associated with ALS and implicate defective intracellular protein trafficking in disease pathogenesis. PMID: 28469040
- Letter: ANXA11 SNPs increase susceptibility to fibrosing sarcoiodosis in African Americans. PMID: 28079857
- Review/Meta-analysis: ANXA11 SNP rs2573346 and rs2789679 conferred protection against sarcoidosis. SNP rs1049550 may be a risk factor for sarcoidosis in overall population. PMID: 27537711
- ANXA11 rs1049550 and PPP1R15A rs557806 may improve the identification of mCRC patients sensitive to bevacizumab regimens, and further validation is required in large cohorts PMID: 27177629
- These findings point to a role for the polymorphisms of ANXA11 in sarcoidosis in a Chinese Han population, and may be informative for future genetic studies on sarcoidosis. PMID: 25056970
- findings suggest that AnxA11 maintains architectural and functional features of the ERES by coordinating with ALG-2 to stabilize Sec31A at the ERES. PMID: 25540196
- the associations of Anxa11 with Ca(2+)-regulated exocytosis, cytokinesis, sex differentiation, autoimmune diseases, thrombolysis and cancers are summarized--{REVIEW} PMID: 24508622
- Annexin A11 rs1049550*T allele exerts a significant protective effect on sarcoidosis susceptibility. PMID: 24032725
- LIFR rs3729740 and possibly ANXA11 rs1049550 may be useful as biomarkers for predicting whether metastatic colorectal cancer patients are sensitive to relevant target regimens, although further validation in large cohorts is needed. PMID: 23579219
- ANXA11 SNPs are associated with sarcoidosis in African Americans. PMID: 23151485
- ANXA11 rs1049550 single nucleotide polymorphism is the susceptibility marker in sarcoidosis, at least in Caucasians. PMID: 21562576
- Data confirm the strong association between variations in ANXA11 and sarcoidosis and support the hypothesis that ANXA11 represents a strong genetic risk factor for sarcoidosis. PMID: 20805159
- analysis of the sarcoidosis-associated variant of annexin A11 PMID: 20093723
- Pro/Gly/Tyr/Ala-rich hydrophobic region in AnxN masked the Ca(2+)-dependently exposed hydrophobic surface of ALG-2. PMID: 11883939
- The penta-EF-hand domain of ALG-2 interacts with the amino-terminal domain of annexin XI in a Ca2+-dependent manner. PMID: 12445460
- calcium- and cell cycle-dependent association with the nuclear envelope PMID: 12601007
- annexin XI associates with the mitotic spindles and might play a role in cell division PMID: 12805373
- Annexin 11-depleted cells failed to complete cytokinesis and died by apoptosis, demonstrating an essential role for annexin 11. PMID: 15197175
- The strongest association signal maps to the ANXA11 (annexin A11) gene on chromosome 10q22.3. PMID: 19165924
- Immunohistochemistry analyses indicated that annexin A11 immunointensity inversely correlated with HMOX1 immunoreactivity in 142 ovarian cancer patients. PMID: 19484149
顯示更多
收起更多
-
亞細胞定位:Cytoplasm. Melanosome. Nucleus envelope. Nucleus, nucleoplasm. Cytoplasm, cytoskeleton, spindle.
-
蛋白家族:Annexin family
-
數據庫鏈接:
Most popular with customers
-
-
YWHAB Recombinant Monoclonal Antibody
Applications: ELISA, WB, IHC, IF, FC
Species Reactivity: Human, Mouse, Rat
-
Phospho-YAP1 (S127) Recombinant Monoclonal Antibody
Applications: ELISA, WB, IHC
Species Reactivity: Human
-
-
-
-
-















