ALOX5 Antibody
-
中文名稱:ALOX5兔多克隆抗體
-
貨號:CSB-PA043268
-
規格:¥1100
-
圖片:
-
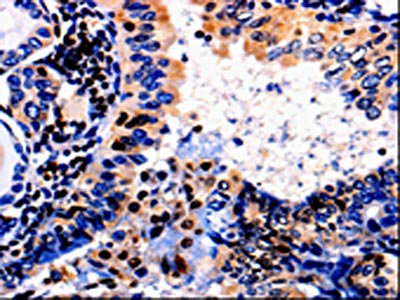
The image is immunohistochemistry of paraffin-embedded Human colon cancer tissue using CSB-PA043268(ALOX5 Antibody) at dilution 1/50. (Original magnification: ×200)
-
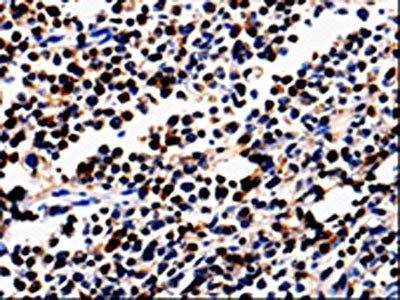
The image is immunohistochemistry of paraffin-embedded Human thyroid cancer tissue using CSB-PA043268(ALOX5 Antibody) at dilution 1/50. (Original magnification: ×200)
-
-
其他:
產品詳情
-
Uniprot No.:
-
基因名:
-
別名:5 Lipoxygenase antibody; 5 LO antibody; 5 LOX antibody; 5-lipoxygenase antibody; 5-LO antibody; 5-LOX antibody; 5LOX antibody; 5LPG antibody; ALOX 5 antibody; Alox5 antibody; Arachidonate 5 lipoxygenase antibody; Arachidonate 5-lipoxygenase antibody; arachidonic 5-lipoxygenase alpha-10 isoform antibody; arachidonic 5-lipoxygenase delta-10-13 isoform antibody; arachidonic 5-lipoxygenase delta-13 isoform antibody; arachidonic 5-lipoxygenase delta-p10 isoform antibody; Arachidonic acid 5 lipoxygenase antibody; Leukotriene A4 synthase antibody; LOG 5 antibody; LOG5 antibody; LOX5_HUMAN antibody; MGC163204 antibody
-
宿主:Rabbit
-
反應種屬:Human,Mouse,Rat
-
免疫原:Fusion protein of Human ALOX5
-
免疫原種屬:Homo sapiens (Human)
-
標記方式:Non-conjugated
-
抗體亞型:IgG
-
純化方式:Antigen affinity purification
-
濃度:It differs from different batches. Please contact us to confirm it.
-
保存緩沖液:-20°C, pH7.4 PBS, 0.05% NaN3, 40% Glycerol
-
產品提供形式:Liquid
-
應用范圍:ELISA,IHC
-
推薦稀釋比:
Application Recommended Dilution ELISA 1:500-1:5000 IHC 1:50-1:150 -
Protocols:
-
儲存條件:Upon receipt, store at -20°C or -80°C. Avoid repeated freeze.
-
貨期:Basically, we can dispatch the products out in 1-3 working days after receiving your orders. Delivery time maybe differs from different purchasing way or location, please kindly consult your local distributors for specific delivery time.
-
用途:For Research Use Only. Not for use in diagnostic or therapeutic procedures.
相關產品
靶點詳情
-
功能:Catalyzes the oxygenation of arachidonate ((5Z,8Z,11Z,14Z)-eicosatetraenoate) to 5-hydroperoxyeicosatetraenoate (5-HPETE) followed by the dehydration to 5,6- epoxyeicosatetraenoate (Leukotriene A4/LTA4), the first two steps in the biosynthesis of leukotrienes, which are potent mediators of inflammation. Also catalyzes the oxygenation of arachidonate into 8-hydroperoxyicosatetraenoate (8-HPETE) and 12-hydroperoxyicosatetraenoate (12-HPETE). Displays lipoxin synthase activity being able to convert (15S)-HETE into a conjugate tetraene. Although arachidonate is the preferred substrate, this enzyme can also metabolize oxidized fatty acids derived from arachidonate such as (15S)-HETE, eicosapentaenoate (EPA) such as (18R)- and (18S)-HEPE or docosahexaenoate (DHA) which lead to the formation of specialized pro-resolving mediators (SPM) lipoxin and resolvins E and D respectively, therefore it participates in anti-inflammatory responses. Oxidation of DHA directly inhibits endothelial cell proliferation and sprouting angiogenesis via peroxisome proliferator-activated receptor gamma (PPARgamma). It does not catalyze the oxygenation of linoleic acid and does not convert (5S)-HETE to lipoxin isomers. In addition to inflammatory processes, it participates in dendritic cell migration, wound healing through an antioxidant mechanism based on heme oxygenase-1 (HO-1) regulation expression, monocyte adhesion to the endothelium via ITGAM expression on monocytes. Moreover, it helps establish an adaptive humoral immunity by regulating primary resting B cells and follicular helper T cells and participates in the CD40-induced production of reactive oxygen species (ROS) after CD40 ligation in B cells through interaction with PIK3R1 that bridges ALOX5 with CD40. Also may play a role in glucose homeostasis, regulation of insulin secretion and palmitic acid-induced insulin resistance via AMPK. Can regulate bone mineralization and fat cell differentiation increases in induced pluripotent stem cells.
-
基因功能參考文獻:
- our work shows that ALOX5 plays a moderate anti-tumor role and functions as a drug sensitizer, with a therapeutic potential, in MLL-rearranged AML. PMID: 28500307
- Study shows that higher COX-2 and ALOX5 expression in colorectal cancer (CRC) tissues was correlated with poorer prognosis in patients with CRC. Also, MiR-216a-3p was shown to directly bind to there 3'-UTR and inversely regulates their protein levels modulating CRC cell proliferation. PMID: 28786533
- Indicate a potential protective role of ALOX5AP and 5-arachidonate lipoxygenase gene in diabetes type 2 pathogenesis. PMID: 29392977
- Our data reveal that 5-LO, which is required for leukotriene production and subsequent T cell recruitment, is downregulated in TAMs through Mer tyrosine kinase-dependent recognition of apoptotic cancer cells. PMID: 29229677
- the influence of TGFbeta/SMADs on MLL- and MLL-AF4-mediated 5-LO promoter activation PMID: 28803964
- The knockdown of arachidonate 5-lipoxygenase (Alox5) gene can induce the decreased levels of bcl/abl mRNA and BCR/ABL fusion protein in the K562/ADM cells and increased apoptosis rate. PMID: 29169426
- Data suggest that the co-carcinogens benzidine and hydrogen peroxide induce expression of ALOX5 mRNA and protein in tracheobronchial epithelial cells; the co-carcinogens decrease cell proliferation but enhance apoptosis, actions inhibited by knockdown of ALOX5 by RNA interference. Benzidine appears to undergo metabolic activation to benzidine diimine by ALOX5. PMID: 25001243
- This study revealed that epistatic interaction among the ALOX5, ALOX5AP and MPO genes played a significant role in vulnerability to ischemic stroke. PMID: 29041000
- The anticancer effects by 13'-COOHs appeared to be partially independent of inhibition of COX-2/5-LOX. Using liquid chromatography tandem mass spectrometry, we found that 13'-COOHs increased intracellular dihydrosphingosine and dihydroceramides after short-time incubation in HCT-116 cells, and enhanced ceramides while decreased sphingomyelins during prolonged treatment PMID: 27016075
- ROS production induced by the 5-LO pathway mediates the anti-cancer effects of docosahexaenoyl ethanolamide and N-arachidonoyl-L-alanine on head and neck squamous cell carcinoma cells. PMID: 27411387
- Specific inhibitors of COX-2 and 5-LOX decreased formation of HKD2 and HKE2 Platelets did not form HKs from exogenous 5S-hydroxyeicosatetraenoic acid, implying that COX-1 is not involved PMID: 28096231
- The observation that the coexpression of FLAP with a subset of the 5-LOX mutants restores 5-LOX-wild-type (wt)-like levels of products formed in intact cells suggests a physical protein-protein interaction, beyond colocalization, of 5-LOX and FLAP. PMID: 26842853
- Polymorphisms in the 5-Lipoxygenase is associated with Incident Myocardial Infarction. PMID: 27893808
- our results define Alox5 as a key genetic effector of JAK2V617F in driving polycythemia vera PMID: 27784744
- Adipose tissue eicosapentaenoic acid and arachidonic acid and the ALOX-5 tandem repeat polymorphism did not significantly interact to affect the risk of myocardial infarction. PMID: 28566527
- coexpression of the isoforms inhibited or stimulated 5-LO-WT expression in transiently and stably transfected HEK293T cells suggesting that the isoforms have other functions than canonical leukotriene biosynthesis PMID: 28257804
- a novel putative protein isoform of human 5-LO that lacks exon 4, termed 5-LODelta4, was identified. PMID: 27855198
- Oxidative stress decreased the levels of PNPLA2 transcripts with no effect on ALOX5 expression. Exogenous additions of P1 peptide or overexpression of the PNPLA2 gene decreased both LTB4 levels and death of RPE cells undergoing oxidative stress. PMID: 27635633
- Dimethyl ester of bilirubin exhibits anti-inflammatory activity through inhibition of secretory phospholipase A2, lipoxygenase and cyclooxygenase. PMID: 27060751
- Copy number variation in ALOX5 is associated with NSAIDs-induced urticaria and/or angioedema. PMID: 26959713
- This study identified a SNP (rs10507391) in ALOX5 gene as a novel genetic risk factor for Alzheimer's disease and body mass index. PMID: 26944113
- ALOX5 gene variants do not appear to be related to clinical CHD events or subclinical atherosclerosis regardless of bioavailable enzyme substrate levels in multiethnic cohort. PMID: 27025886
- our data suggest that the inhibition of both COX-2/5-LOX may be an effective therapeutic approach for colon cancer management, particularly for those patients with high expression of COX-2/5-LOX PMID: 26707712
- we identified differences in the frequency distribution in the Tibetan population located in the ALOX5 , VKORC1 and PTGS2 genes PMID: 26505400
- AF4 and AF4-MLL mediate transcriptional elongation of 5-lipoxygenase mRNA by 1, 25-dihydroxyvitamin D3. PMID: 26329759
- the Alox-5 gene might play a role in the differentiation of multiple drug resistant and non-resistant erythroleukemic cell lines PMID: 26852002
- These results suggest that COX-2 and 5-LO play roles in tumorigenesis and the progression of primary glioblastoma and that the co-expression pattern of COX-2/5-LO may be used as an independent prognostic factor in this disease. PMID: 26334317
- Increased PUFA Content and 5-lipoxygenase pathway expression are associated with subcutaneous adipose tissue inflammation in obese women with type 2 diabetes. PMID: 26378572
- The study shows that 5-lipoxygenase (5-LO) in B cells is phosphorylated on Ser523 and demonstrates for the first time a chemical difference between 5-LO in myeloid cells and B cells. PMID: 26210919
- Study identified a novel splice variant of 5-LO consisting of 139 amino acids due to premature stop. It was found to be expressed in HepG2 cells only, raising the possibility for putative role in liver cancer development. PMID: 25218842
- GSAP cleavage via caspase-3 is regulated and depend upon the availability of 5-Lipoxygenase in Alzheimer's disease. PMID: 26076991
- investigated potential mechanisms by which 5-LO13 interferes with 5-LO product biosynthesis in transfected HEK293 cells PMID: 26173130
- Two of the most potent/selective inhibitors (HIR-303 and HIR-309) were reductive inhibitors and were potent against 5-LOX in human whole blood, indicating that isoflavans can be potent and selective inhibitors against human leukocyte 5-LOX PMID: 25359714
- The study explores the substrate access portal of 5-Lipoxygenase. PMID: 26427761
- involvement of lipoxygenase pathways in TNF-alpha-induced production of cytokines and chemokines PMID: 25229347
- Report no association between ALOX5 SNPs and atherosclerotic plaque phenotypes. PMID: 25721704
- THE 5-LOX interface involving the four cysteines 159, 300, 416 and 418 is important for the translocation to the nuclear membrane and the colocalization with FLAP. PMID: 26327594
- Genotoxic stress induces the ALOX5 mRNA and protein expression in a p53-dependent manner. PMID: 26070487
- Results suggest that the level of 5-LOX expression was increased in pancreatic cancer tissues and may be related to lymph node metastasis and TNM stage. PMID: 25483364
- Low leukotriene B4 receptor 1 leads to ALOX5 downregulation at diagnosis of chronic myeloid leukemia. PMID: 25193960
- 5-LOX inhibition reduced apoptotic death, restored the initial IL-2/INF-gamma ratio, and more importantly reverted micro-calpain activation induced by simulated microgravity. PMID: 25309925
- contributes to inflammatory microenvironment of precancerous pancreatic lesions PMID: 25454978
- Increased metabolites of 5-lipoxygenase from hypoxic ovarian cancer cells promote tumor-associated macrophage infiltration. PMID: 24662827
- These findings indicate that the oncogenic function of c-Myc in prostate cancer cells is regulated by 5-Lox activity, revealing a novel mechanism of 5-Lox action PMID: 25540201
- Human cytomegalovirus (HCMV) induced up-regulation of 5-lipoxygenase in both ex vivo HCMV-infected placental explants and human umbilical vein endothelial cells (HUVEC) PMID: 24746852
- Jurkat T cells overexpressing 5-LO failed to activate PPARgamma in macrophages, while their 5-LO overexpressing apoptotic counterparts did. PMID: 24036216
- Polymorphisms within FLT3, EGFR, NEIL3, and ALOX5 may contribute to the occurrence of GBM. PMID: 24005813
- 5-LO disruption improves wound healing and alters fibroblast function by an antioxidant mechanism based on HO-1 induction. PMID: 24226420
- The changes of LTB4 concentration in serum and the mRNA expression level of 5-LO in decidua may play an important role in the success and maintenance of a healthy pregnancy. PMID: 23572152
- The 5-LOX/LTC4 /CysLT1 signaling pathway regulates EGF-induced cell migration by increasing Tiam1 expression. PMID: 24350867
顯示更多
收起更多
-
亞細胞定位:Cytoplasm. Nucleus matrix. Nucleus membrane; Peripheral membrane protein. Cytoplasm, perinuclear region. Cytoplasm, cytosol. Nucleus envelope. Nucleus intermembrane space.
-
蛋白家族:Lipoxygenase family
-
數據庫鏈接:
Most popular with customers
-
-
Phospho-YAP1 (S127) Recombinant Monoclonal Antibody
Applications: ELISA, WB, IHC
Species Reactivity: Human
-
-
-
-
-
-















