ALDH4A1 Antibody
-
中文名稱:ALDH4A1兔多克隆抗體
-
貨號:CSB-PA001576ESR2HU
-
規格:¥440
-
圖片:
-
Western blot
All lanes: ALDH4A1 antibody at 13µg/ml
Lane 1: K562 whole cell lysate
Lane 2: 293T whole cell lysate
Secondary
Goat polyclonal to rabbit IgG at 1/10000 dilution
Predicted band size: 62, 56, 57 kDa
Observed band size: 62 kDa -
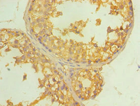
Immunohistochemistry of paraffin-embedded human testis tissue using CSB-PA001576ESR2HU at dilution of 1:100
-
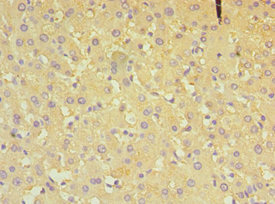
Immunohistochemistry of paraffin-embedded human liver tissue using CSB-PA001576ESR2HU at dilution of 1:100
-
-
其他:
產品詳情
-
產品名稱:Rabbit anti-Homo sapiens (Human) ALDH4A1 Polyclonal antibody
-
Uniprot No.:
-
基因名:ALDH4A1
-
別名:AL4A1_HUMAN antibody; aldehyde dehydrogenase 4 antibody; aldehyde dehydrogenase 4 family; member A1 antibody; Aldehyde dehydrogenase family 4 member A1 antibody; Aldehyde dehydrogenase; family 4; subfamily A; member 1 antibody; ALDH4 antibody; aldh4a1 antibody; Delta 1 pyrroline 5 carboxylate dehydrogenase; mitochondrial antibody; Delta-1-pyrroline-5-carboxylate dehydrogenase antibody; L-glutamate gamma-semialdehyde dehydrogenase antibody; mitochondrial antibody; mitochondrial delta-1-pyrroline 5-carboxylate dehydrogenase antibody; P5C dehydrogenase antibody; P5CD antibody; P5CDh antibody; P5CDhL antibody; P5CDhS antibody; Pyrroline-5-carboxylate dehydrogenase antibody; RP11 128M10.1 antibody
-
宿主:Rabbit
-
反應種屬:Human
-
免疫原:Recombinant Human Delta-1-pyrroline-5-carboxylate dehydrogenase, mitochondrial protein (354-563AA)
-
免疫原種屬:Homo sapiens (Human)
-
標記方式:Non-conjugated
-
克隆類型:Polyclonal
-
抗體亞型:IgG
-
純化方式:Antigen Affinity Purified
-
濃度:It differs from different batches. Please contact us to confirm it.
-
保存緩沖液:PBS with 0.02% sodium azide, 50% glycerol, pH7.3.
-
產品提供形式:Liquid
-
應用范圍:ELISA, WB, IHC
-
推薦稀釋比:
Application Recommended Dilution WB 1:500-1:2000 IHC 1:20-1:200 -
Protocols:
-
儲存條件:Upon receipt, store at -20°C or -80°C. Avoid repeated freeze.
-
貨期:Basically, we can dispatch the products out in 1-3 working days after receiving your orders. Delivery time maybe differs from different purchasing way or location, please kindly consult your local distributors for specific delivery time.
-
用途:For Research Use Only. Not for use in diagnostic or therapeutic procedures.
相關產品
靶點詳情
-
功能:Irreversible conversion of delta-1-pyrroline-5-carboxylate (P5C), derived either from proline or ornithine, to glutamate. This is a necessary step in the pathway interconnecting the urea and tricarboxylic acid cycles. The preferred substrate is glutamic gamma-semialdehyde, other substrates include succinic, glutaric and adipic semialdehydes.
-
基因功能參考文獻:
- the impact of the hyperprolinemia-associated mutation of Ser352 to Leu on the structure and catalytic properties of the P5CDH PMID: 22516612
- ALDH4 is a p53-inducible gene with a protective role in cellular stresses PMID: 14986171
- ALDH4 is transcriptionally induced by p53. PMID: 14986171
-
相關疾病:Hyperprolinemia 2 (HYRPRO2)
-
亞細胞定位:Mitochondrion matrix.
-
蛋白家族:Aldehyde dehydrogenase family
-
組織特異性:Highest expression is found in liver followed by skeletal muscle, kidney, heart, brain, placenta, lung and pancreas.
-
數據庫鏈接:
Most popular with customers
-
-
YWHAB Recombinant Monoclonal Antibody
Applications: ELISA, WB, IHC, IF, FC
Species Reactivity: Human, Mouse, Rat
-
Phospho-YAP1 (S127) Recombinant Monoclonal Antibody
Applications: ELISA, WB, IHC
Species Reactivity: Human
-
-
-
-
-















