-
中文名稱:AGO2兔多克隆抗體
-
貨號:CSB-PA891731LA01HU
-
規格:¥440
-
圖片:
-
Western Blot
Positive WB detected in: JK whole cell lysate(20μg), HepG2 whole cell lysate(20μg), K562 whole cell lysate(20μg), PC-3 whole cell lysate(20μg)
All lanes: AGO2 antibody at 1:1000
Secondary
Goat polyclonal to rabbit IgG at 1/50000 dilution
Predicted band size: 98 kDa
Observed band size: 98 kDa
Exposure time:1min -
IHC image of CSB-PA891731LA01HU diluted at 1:800 and staining in paraffin-embedded human brain tissue performed on a Leica BondTM system. After dewaxing and hydration, antigen retrieval was mediated by high pressure in a citrate buffer (pH 6.0). Section was blocked with 10% normal goat serum 30min at RT. Then primary antibody (1% BSA) was incubated at 4°C overnight. The primary is detected by a Goat anti-rabbit polymer IgG labeled by HRP and visualized using 0.05% DAB. Secondary antibody only control: uses 1% BSA instead of primary antibody
-
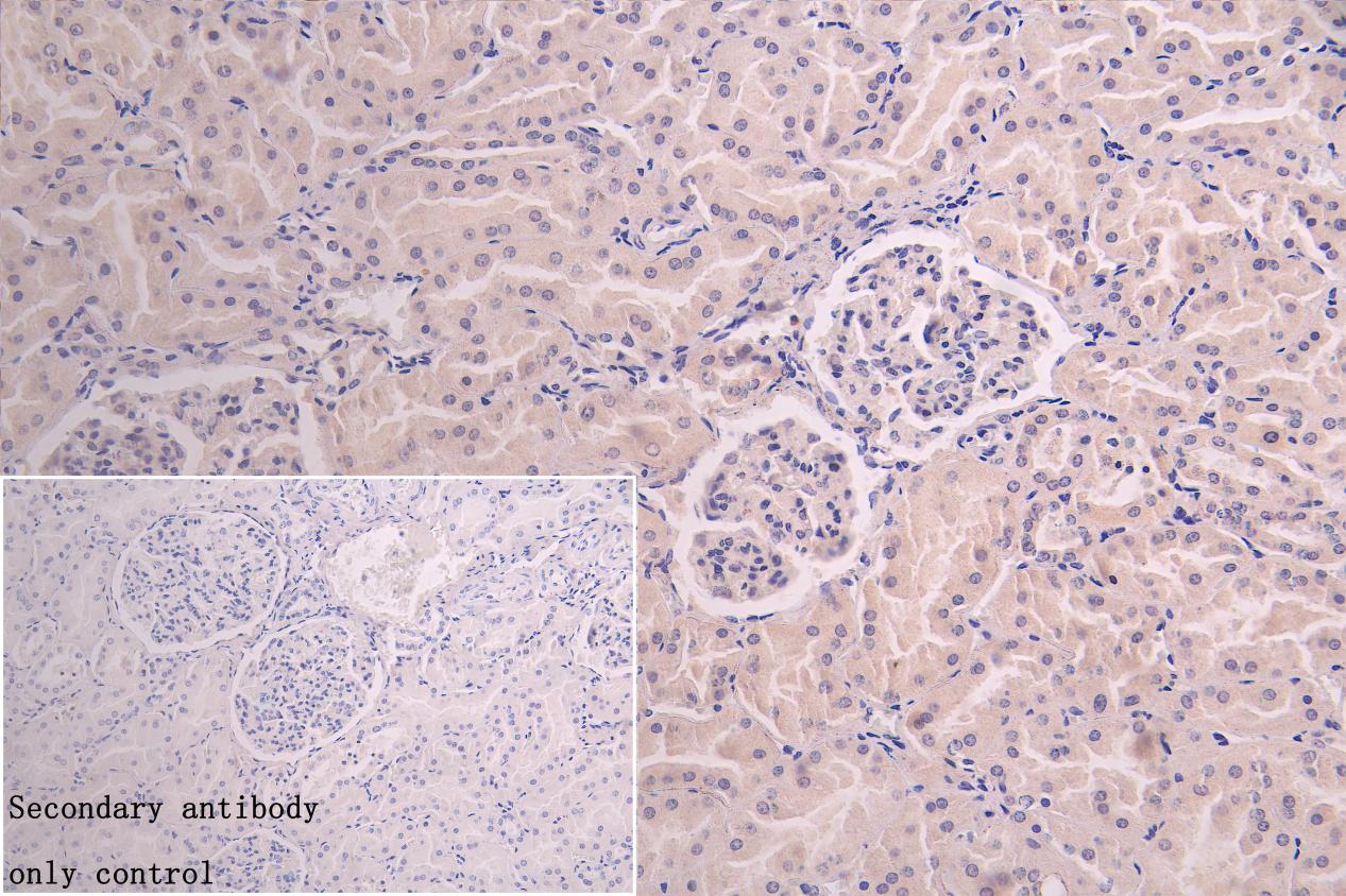
IHC image of CSB-PA891731LA01HU diluted at 1:800 and staining in paraffin-embedded human kidney tissue performed on a Leica BondTM system. After dewaxing and hydration, antigen retrieval was mediated by high pressure in a citrate buffer (pH 6.0). Section was blocked with 10% normal goat serum 30min at RT. Then primary antibody (1% BSA) was incubated at 4°C overnight. The primary is detected by a Goat anti-rabbit polymer IgG labeled by HRP and visualized using 0.05% DAB. Secondary antibody only control: uses 1% BSA instead of primary antibody
-
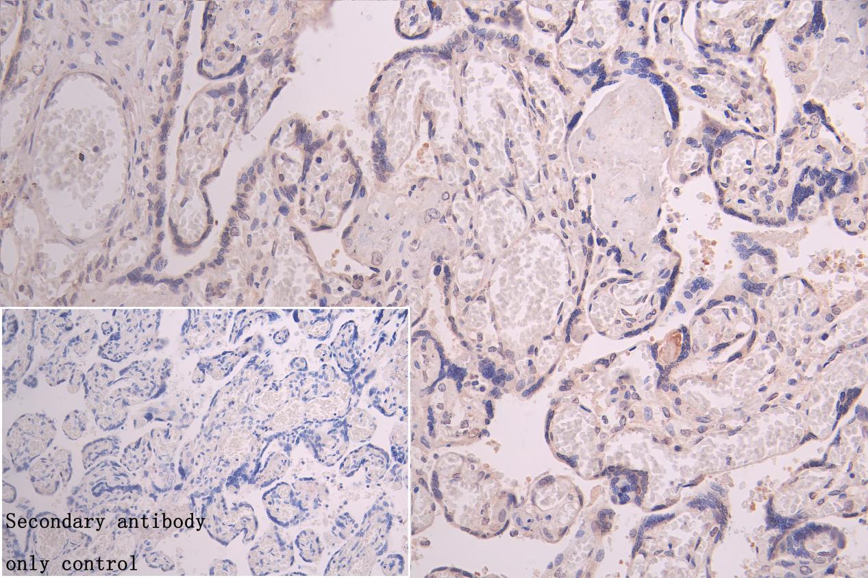
IHC image of CSB-PA891731LA01HU diluted at 1:800 and staining in paraffin-embedded human placenta tissue performed on a Leica BondTM system. After dewaxing and hydration, antigen retrieval was mediated by high pressure in a citrate buffer (pH 6.0). Section was blocked with 10% normal goat serum 30min at RT. Then primary antibody (1% BSA) was incubated at 4°C overnight. The primary is detected by a Goat anti-rabbit polymer IgG labeled by HRP and visualized using 0.05% DAB. Secondary antibody only control: uses 1% BSA instead of primary antibody
-
-
其他:
產品詳情
-
產品名稱:Rabbit anti-Homo sapiens (Human) AGO2 Polyclonal antibody
-
Uniprot No.:
-
基因名:AGO2
-
別名:Ago 2 antibody; AGO2_HUMAN antibody; Argonaute 2 antibody; argonaute 2; RISC catalytic component antibody; Argonaute RISC catalytic component 2 antibody; Argonaute2 antibody; CTA-204B4.6 antibody; dAgo2 antibody; eIF 2C 2 antibody; eIF-2C 2 antibody; eIF2C 2 antibody; Eif2c2 antibody; Eukaryotic translation initiation factor 2C 2 antibody; Eukaryotic translation initiation factor 2C subunit 2 antibody; hAgo2 antibody; MGC3183 antibody; PAZ Piwi domain protein antibody; PPD antibody; Protein argonaute-2 antibody; Protein slicer antibody; Q10 antibody; Slicer protein antibody
-
宿主:Rabbit
-
反應種屬:Human, Mouse
-
免疫原:Recombinant Human Protein argonaute-2 protein (517-818AA)
-
免疫原種屬:Homo sapiens (Human)
-
標記方式:Non-conjugated
本頁面中的產品,AGO2 Antibody (CSB-PA891731LA01HU),的標記方式是Non-conjugated。對于AGO2 Antibody,我們還提供其他標記。見下表:
-
克隆類型:Polyclonal
-
抗體亞型:IgG
-
純化方式:>95%, Protein G purified
-
濃度:It differs from different batches. Please contact us to confirm it.
-
保存緩沖液:Preservative: 0.03% Proclin 300
Constituents: 50% Glycerol, 0.01M PBS, PH 7.4 -
產品提供形式:Liquid
-
應用范圍:ELISA, WB, IHC
-
推薦稀釋比:
Application Recommended Dilution WB 1:1000-1:5000 IHC 1:100-1:1500 -
Protocols:
-
儲存條件:Upon receipt, store at -20°C or -80°C. Avoid repeated freeze.
-
貨期:Basically, we can dispatch the products out in 1-3 working days after receiving your orders. Delivery time maybe differs from different purchasing way or location, please kindly consult your local distributors for specific delivery time.
-
用途:For Research Use Only. Not for use in diagnostic or therapeutic procedures.
引用文獻
- MicroRNA miR-29c regulates RAG1 expression and modulates V (D) J recombination during B cell development R Kumari,Cell Reports,2021
相關產品
靶點詳情
-
功能:Required for RNA-mediated gene silencing (RNAi) by the RNA-induced silencing complex (RISC). The 'minimal RISC' appears to include AGO2 bound to a short guide RNA such as a microRNA (miRNA) or short interfering RNA (siRNA). These guide RNAs direct RISC to complementary mRNAs that are targets for RISC-mediated gene silencing. The precise mechanism of gene silencing depends on the degree of complementarity between the miRNA or siRNA and its target. Binding of RISC to a perfectly complementary mRNA generally results in silencing due to endonucleolytic cleavage of the mRNA specifically by AGO2. Binding of RISC to a partially complementary mRNA results in silencing through inhibition of translation, and this is independent of endonuclease activity. May inhibit translation initiation by binding to the 7-methylguanosine cap, thereby preventing the recruitment of the translation initiation factor eIF4-E. May also inhibit translation initiation via interaction with EIF6, which itself binds to the 60S ribosomal subunit and prevents its association with the 40S ribosomal subunit. The inhibition of translational initiation leads to the accumulation of the affected mRNA in cytoplasmic processing bodies (P-bodies), where mRNA degradation may subsequently occur. In some cases RISC-mediated translational repression is also observed for miRNAs that perfectly match the 3' untranslated region (3'-UTR). Can also up-regulate the translation of specific mRNAs under certain growth conditions. Binds to the AU element of the 3'-UTR of the TNF (TNF-alpha) mRNA and up-regulates translation under conditions of serum starvation. Also required for transcriptional gene silencing (TGS), in which short RNAs known as antigene RNAs or agRNAs direct the transcriptional repression of complementary promoter regions.
-
基因功能參考文獻:
- Here we show that biotin-labelled miR-34a can be loaded to AGO2, and AGO2 immunoprecipitation can pulldown biotinylated miR-34a (Bio-miR pulldown). RNA-sequencing (RNA-seq) of the Bio-miR pulldown RNAs efficiently identified miR-34a mRNA targets, which could be verified with luciferase assays PMID: 29028450
- extracellular vesicles are efficiently internalized by endothelial cells, where the miRNA-Argonaute 2 complexes modulate target gene expression and barrier properties. PMID: 27721445
- CASC7 expression was significantly decreased in colorectal cancer (CRC) tissues and CRC cell lines; CASC7 overexpression could inhibit cell viability, migration and invasion, and promote apoptosis in CRC cells PMID: 28954383
- A dual role of the association between AGO2 and ERbeta in luminal-like breast cancer cells in the nucleus and the cytoplasm, for the regulation of gene expression at both the transcriptional and post-transcriptional level. PMID: 29017520
- Phosphorylation of AGO2 at Ser 387 by Akt3 induces LIMD1 binding, which in turn enables AGO2 to interact with TNRC6A and downstream effector DDX6. PMID: 28683311
- AGO2-mediated cleavage of targets is more common than previously thought. This may explain the vital role of endonuclease activity in controlling miRNA-mediated gene regulation. PMID: 29031931
- Data show that neuropilin 1 (NRP1) binds extracellular AGO2 (carrying miRNA or not), and internalizes AGO2/miRNA complexes. PMID: 27486976
- We found a much larger number of microparticles (MPs) results demonstrate that normal RBCs display an innate ability to resist infection by P. falciparum parasite by releasing Ago2-miRNA complexes via microparticles (MPs)into infected RBCs; data suggest that, through release of MPs, mature RBCs present an innate resistance to malaria infection PMID: 28831191
- we describe these two methodologies that we recently used to select a specific compound able to interfere with the AGO2 functional activity and able to improve the retinoic acid-dependent myeloid differentiation of leukemic cells. PMID: 27924485
- Here, we describe the use of SPR techniques to study the interaction between Argonaute 2 and small molecular compounds selected by means of high-throughput docking screening. PMID: 27924486
- Since miRNAs' functions are executed exclusively by the Argonaute 2 protein, we therefore describe a protocol for the design of a novel miRNA inhibitor class: antagonists of the miRNA-Argonaute 2 protein complex, so-called anti-miR-AGOs, that not only block the crucial binding site of the target miRNA but also bind to the protein's active site. PMID: 27924487
- Using our recent work on human AGO2 as an example, we explain the rationale and the workflow of our method in details. This combined approach holds great promise to complement experiments in unraveling the mechanisms of molecular recognition between large, flexible, and complex biomolecules. PMID: 27924488
- Here, we present techniques to kinetically characterize recombinant Argonaute 2-mediated guide and target binding as well as target RNA slicing. We focus on fluorescence-based steady-state and in particular pre-steady-state techniques to unravel mechanistic details. Furthermore, we describe a cleavage assay to analyze Argonaute 2-mediated slicing using radioactively labeled target strands. PMID: 27924489
- This study employed molecular dynamics simulation to investigate the dynamic properties of human Ago2-RNA-duplex system and Ago2-free system to provide further understanding of the molecular mechanism of Ago2-RNA recognition. PMID: 28388001
- The adenovirus major late promoter produces a 31-nucleotide transcriptional start site small RNA (MLP-TSS-sRNA) that retains the 7-methylguanosine (m7G)-cap and is incorporated onto Ago2-containing RNA-induced silencing complexes (RISC) in human adenovirus-37 infected cells. PMID: 28839112
- Depletion of AUF1 abolishes the global interaction of miRNAs and AGO2. Single-molecule analysis revealed that AUF1 slowed down assembly of AGO2-let-7b-mRNA complex unexpectedly. AUF1 is a decay-promoting factor influencing multiple steps in AGO2-miRNA-mediated mRNA decay. PMID: 28334781
- This lack of 21-3U HCV host factor activity correlated with reduced recruitment of Ago2 to the HCV S1 site. Additional experiments demonstrated strong preference for guanosine at nt 22 of miR-122. Our findings reveal the importance of non-templated 3 miR-122 modifications to its HCV host factor activity, and identify unexpected differences in miRNA requirements for host gene suppression versus RNA virus replication. PMID: 28082397
- Low AGO2 expression is associated with melanoma. PMID: 27518285
- Altogether, these data suggest that the phosphorylation state of the serine/threonine cluster is important for Argonaute-mRNA interactions. PMID: 28645918
- data indicates that the aberrant expression of miR-15b contributes to abnormal placentation by targeting argonaute 2 messenger RNA PMID: 27208409
- findings support a model in which an AGO2 phosphorylation cycle stimulated by target engagement regulates miRNA:target interactions to maintain the global efficiency of miRNA-mediated silencing PMID: 28114302
- deciphering Ago2:RNA interactions using crosslinking immunoprecipitation coupled with high-throughput sequencing (HITS-CLIP) to generate the first transcriptome-wide map of miR targeting events in human myocardium, detecting 4000 cardiac Ago2 binding sites across 2200 target transcripts PMID: 27418678
- AGO2 immunoprecipitation revealed LATS1 as a novel proapoptotic target of miR-21 in T cells. PMID: 28075055
- 1174 regions within the 45S rRNA transcript that have the ability to form a perfect duplex with position 2-6 (seed sequence) of each microRNA expressed in HEK293T cells. Of these potential AGO2 binding sites, 479 occurred within experimentally verified AGO2-rRNA cross-linking sites. The ability of AGO2 to cross-link to rRNA was almost completely lost in a DICER knock-out cell line. PMID: 27288410
- this study analysed binding of miR-122/ Argonaute 2 complexes to two conserved binding sites in the 5' UTR of hepatitis C virus RNA. PMID: 28008821
- overactivity of KRAS due to mutation inhibits localization of Ago2 to multivesicular endosomes (MVEs) and decreases Ago2 secretion in exosomes. PMID: 27117408
- TP53 regulates miRNA association with AGO2 to remodel the miRNA-mRNA interaction network PMID: 26701625
- These results support the notion that the cereblon binding partner AGO2 plays an important role in regulating MM cell growth and survival and AGO2 could be considered as a novel drug target for overcoming IMiD resistance in MM cells. PMID: 27142104
- KRAS engages AGO2 to enhance cellular neoplastic transformation. PMID: 26854235
- Authors found that target binding of core-RISC starts at the seed region of the guide RNA. After target binding, four distinct reactions followed: target cleavage, transient binding, stable binding, and Argonaute 2 unloading. PMID: 26592935
- AGO2 suppression by miR-132 affects the steady state levels of miR-221 and miR-146a, two miRNAs involved in angiogenesis and inflammation, respectively. PMID: 26475020
- DIS3L2 interacts with Ago2 and governs target RNA-directed miRNA degradation. PMID: 26809675
- MiR-138 suppresses hTERT expression in an AGO2-dependent manner. PMID: 26507454
- Knockdown of Ago2 in Huh7 cells and SMMC-7721 cells substantially decreased VEGF expression, whereas the restoration of AGO2 reversed both VEGF expression and secretion. PMID: 25937637
- genetic polymorphism in AGO2 may be a risk factor for the advanced lymph node metastasis of NPC in Chinese populations, and AGO2 acts as an oncogene in the development of NPC. PMID: 26545861
- Human Argonaute2 (Ago2) possesses a solvated surface pocket that specifically binds adenine nucleobases in the 1 position (t1) of target RNAs. PMID: 26359634
- the subcellular distribution of Ago2 occurs in a cell type- and tissue context-dependent manner and may correlate with its various functions in regulation of gene expression PMID: 26699195
- HuR and Ago2 Bind the Internal Ribosome Entry Site of Enterovirus 71 and Promote Virus Translation and Replication PMID: 26451954
- GRSF1 participated in the regulation of AGO2 by miR-346, and the middle sequence of miR-346 was vital for the synergy effect of miR-346 and GRSF1. PMID: 26518874
- Human AGO2 interacts only with sRNAs (20-30 nt in length), and not with DNA fragments. PMID: 25970378
- SERPINE1 mRNA dissociates from the translational repressor proteins Ago2 and TIA-1 upon platelet activation PMID: 25673011
- Both argonaute 2 mRNA and protein were upregulated in high-grade when compared to low-grade tumor tissues. Multivariate analysis revealed that argonaute 2 protein expression was independently associated with the overall survival. PMID: 24935600
- Targeting of Ago2 to P-bodies and stress granules is separable from its role in RNAi and likely requires dynamic phosphorylation of serine 798. PMID: 26443379
- mRNA Targeting to Endoplasmic Reticulum Precedes Ago Protein Interaction and MicroRNA (miRNA)-mediated Translation Repression PMID: 26304123
- Ago2 can be SUMOylated in cells by both SUMO1 and SUMO2. SUMOylation occurs primarily at K402, and mutation of the SUMO consensus site surrounding this lysine reduces Ago2-mediated siRNA-induced silencing in a luciferase-based reporter assay. PMID: 26188511
- Ago2 overexpression increased the level of miR-16 in cell-secreted MVs, suggesting that Ago2 may facilitate the packaging of secreted miRNAs into MVs. PMID: 25072345
- It was demonstrated by deep sequencing that AGO2-processed AgoshRNAs produce RNA effector molecules with more discrete ends than the products of the regular shRNA design. PMID: 25826416
- Sumoylation of Ago2 at Lys402 negatively regulates its stability. PMID: 25036361
- our results indicate that IRF7 promotes glioma cell invasion and both chemoresistance and radioresistance through AGO2 inhibition PMID: 25680411
- a novel mechanism by which AUF1 binding and transfer of microRNA let-7 to AGO2 facilitates let-7-elicited gene silencing. PMID: 26253535
顯示更多
收起更多
-
亞細胞定位:Cytoplasm, P-body. Nucleus. Note=Translational repression of mRNAs results in their recruitment to P-bodies. Translocation to the nucleus requires IMP8.
-
蛋白家族:Argonaute family, Ago subfamily
-
數據庫鏈接:
Most popular with customers
-
-
YWHAB Recombinant Monoclonal Antibody
Applications: ELISA, WB, IHC, IF, FC
Species Reactivity: Human, Mouse, Rat
-
Phospho-YAP1 (S127) Recombinant Monoclonal Antibody
Applications: ELISA, WB, IHC
Species Reactivity: Human
-
-
-
-
-















