ACAA2 Antibody
-
中文名稱:ACAA2兔多克隆抗體
-
貨號:CSB-PA614749
-
規格:¥1100
-
圖片:
-
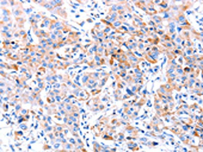
The image on the left is immunohistochemistry of paraffin-embedded Human thyroid cancer tissue using CSB-PA614749(ACAA2 Antibody) at dilution 1/20, on the right is treated with fusion protein. (Original magnification: ×200)
-
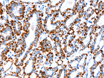
The image on the left is immunohistochemistry of paraffin-embedded Human lung cancer tissue using CSB-PA614749(ACAA2 Antibody) at dilution 1/20, on the right is treated with fusion protein. (Original magnification: ×200)
-
Gel: 10%SDS-PAGE, Lysate: 40 μg, Lane 1-5: Hela cells, A549 cells, NIH/3T3 cells, A172 cells, human liver cancer tissue, Primary antibody: CSB-PA614749(ACAA2 Antibody) at dilution 1/225, Secondary antibody: Goat anti rabbit IgG at 1/8000 dilution, Exposure time: 20 seconds
-
-
其他:
產品詳情
-
Uniprot No.:
-
基因名:ACAA2
-
別名:3 ketoacyl CoA thiolase antibody; 3 ketoacyl CoA thiolase mitochondrial antibody; 3-ketoacyl-CoA thiolase, mitochondrial antibody; 3-oxoacyl-CoA thiolase, mitochondrial antibody; ACAA 2 antibody; Acaa2 antibody; Acetyl CoA acyltransferase 2 antibody; Acetyl CoA acyltransferase antibody; Acetyl Coenzyme A acyltransferase 2 antibody; Acetyl-CoA acyltransferase antibody; Beta ketothiolase antibody; Beta-ketothiolase antibody; DSAEC antibody; Mitochondrial 3 oxoacyl CoA thiolase antibody; Mitochondrial 3 oxoacyl Coenzyme A thiolase antibody; Mitochondrial 3-oxoacyl-CoA thiolase antibody; T1 antibody; THIM_HUMAN antibody
-
宿主:Rabbit
-
反應種屬:Human,Mouse,Rat
-
免疫原:Fusion protein of Human ACAA2
-
免疫原種屬:Homo sapiens (Human)
-
標記方式:Non-conjugated
-
抗體亞型:IgG
-
純化方式:Antigen affinity purification
-
濃度:It differs from different batches. Please contact us to confirm it.
-
保存緩沖液:-20°C, pH7.4 PBS, 0.05% NaN3, 40% Glycerol
-
產品提供形式:Liquid
-
應用范圍:ELISA,WB,IHC
-
推薦稀釋比:
Application Recommended Dilution ELISA 1:1000-1:2000 WB 1:200-1:1000 IHC 1:25-1:100 -
Protocols:
-
儲存條件:Upon receipt, store at -20°C or -80°C. Avoid repeated freeze.
-
貨期:Basically, we can dispatch the products out in 1-3 working days after receiving your orders. Delivery time maybe differs from different purchasing way or location, please kindly consult your local distributors for specific delivery time.
-
用途:For Research Use Only. Not for use in diagnostic or therapeutic procedures.
相關產品
靶點詳情
-
功能:In the production of energy from fats, this is one of the enzymes that catalyzes the last step of the mitochondrial beta-oxidation pathway, an aerobic process breaking down fatty acids into acetyl-CoA. Using free coenzyme A/CoA, catalyzes the thiolytic cleavage of medium- to long-chain unbranched 3-oxoacyl-CoAs into acetyl-CoA and a fatty acyl-CoA shortened by two carbon atoms. Also catalyzes the condensation of two acetyl-CoA molecules into acetoacetyl-CoA and could be involved in the production of ketone bodies. Also displays hydrolase activity on various fatty acyl-CoAs. Thereby, could be responsible for the production of acetate in a side reaction to beta-oxidation. Abolishes BNIP3-mediated apoptosis and mitochondrial damage.
-
基因功能參考文獻:
- ACAA2 is a functional BNIP3 binding partner and provide a possible linkage between fatty acid metabolism and apoptosis of cells. PMID: 18371312
-
亞細胞定位:Mitochondrion.
-
蛋白家族:Thiolase family
-
數據庫鏈接:
Most popular with customers
-
-
YWHAB Recombinant Monoclonal Antibody
Applications: ELISA, WB, IHC, IF, FC
Species Reactivity: Human, Mouse, Rat
-
Phospho-YAP1 (S127) Recombinant Monoclonal Antibody
Applications: ELISA, WB, IHC
Species Reactivity: Human
-
-
-
-
-















