NPPB Monoclonal Antibody
-
中文名稱:NPPB鼠單克隆抗體
-
貨號:CSB-MA168601A0m
-
規格:¥1320
-
圖片:
-
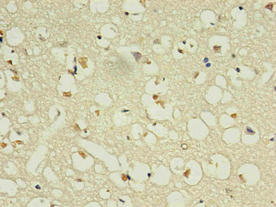
Immunohistochemistry of paraffin-embedded human brain using CSB-MA168601A0m in 30μg/ml dilute concentrations.
-
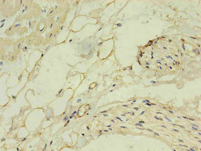
Immunohistochemistry of paraffin-embedded human heart using CSB-MA168601A0m in 30μg/ml dilute concentrations.
-
Immunohistochemistry of paraffin-embedded human brain using CSB-MA168601A0m in 30μg/ml dilute concentrations.
-
Immunohistochemistry of paraffin-embedded human brain using CSB-MA168601A0m in 30μg/ml dilute concentrations.
-
-
其他:
產品詳情
-
產品描述:NPPB單克隆抗體(CUSABIO貨號:CSB-MA168601A0m)是針對人類腦鈉肽前體(Natriuretic Peptide Precursor B)研發的高特異性科研工具,采用雜交瘤技術制備的IgG型免疫球蛋白。該抗體可精準識別NPPB蛋白的特定表位,適用于酶聯免疫吸附(ELISA)和免疫組化(IHC)兩大實驗平臺,在心血管疾病機制研究、體液平衡調控分析及心肌功能相關科研中具有重要應用價值。作為心臟功能生物標志物研究的關鍵試劑,其通過雙抗體夾心法原理實現樣本中NPPB蛋白的定量檢測,同時在石蠟包埋組織切片中能清晰定位目標蛋白表達。本產品經過嚴格的抗原表位驗證和批次穩定性測試,確保實驗數據的可重復性,為研究心力衰竭、高血壓等病理生理過程提供可靠的技術支持,適用于體外實驗和基礎醫學研究場景。
-
產品名稱:mouse anti-Homo sapiens (Human) NPPB monoclonal antibody
-
Uniprot No.:
-
基因名:
-
別名:ANFB_HUMAN antibody; BNP antibody; BNP(1-32) antibody; BNP(5-29) antibody; BNP-32 antibody; Brain type natriuretic peptide antibody; Gamma brain natriuretic peptide antibody; Gamma-brain natriuretic peptide antibody; Natriuretic peptide precursor B antibody; nppb antibody; NT proBNP antibody
-
宿主:mouse
-
反應種屬:Human
-
免疫原:Recombinant Human NPPB Protein
-
免疫原種屬:Homo sapiens (Human)
-
標記方式:Non-conjugated
-
克隆類型:monoclonal
-
抗體亞型:IgG2b
-
純化方式:>95%,Protein G purified
-
克隆號:1E1F4
-
濃度:It differs from different batches. Please contact us to confirm it.
-
保存緩沖液:Preservative: 0.03% Proclin 300Constituents: 50% Glycerol, 0.01M PBS, PH 7.4
-
產品提供形式:liquid
-
應用范圍:ELISA,IHC
-
推薦稀釋比:
Application Recommended Dilution IHC 1:50-1:500 -
Protocols:
-
儲存條件:Upon receipt, store at -20°C or -80°C. Avoid repeated freeze.
-
貨期:Basically, we can dispatch the products out in 1-3 working days after receiving your orders. Delivery time maybe differs from different purchasing way or location, please kindly consult your local distributors for specific delivery time.
-
用途:For Research Use Only. Not for use in diagnostic or therapeutic procedures.
相關產品
靶點詳情
-
功能:Cardiac hormone that plays a key role in mediating cardio-renal homeostasis. May also function as a paracrine antifibrotic factor in the heart. Acts by specifically binding and stimulating NPR1 to produce cGMP, which in turn activates effector proteins that drive various biological responses. Involved in regulating the extracellular fluid volume and maintaining the fluid-electrolyte balance through natriuresis, diuresis, vasorelaxation, and inhibition of renin and aldosterone secretion. Binds the clearance receptor NPR3.; May affect cardio-renal homeostasis. Able to promote the production of cGMP although its potency is very low compared to brain natriuretic peptide 32.; May have a role in cardio-renal homeostasis. Able to promote the production of cGMP.
-
基因功能參考文獻:
- NT-BNP is elevated in fetal aortic stenosis. PMID: 29327361
- Combinative index (arterial lactate, NT-proBNP and CRP) could serve as a valuable predictor for the 28-day mortality rate in patients with sepsis. PMID: 30158031
- Patients diagnosed with portopulmonary hypertension (POPH) had significantly higher BNP levels in comparison with those patients without. In contrast, PELD/MELD scores showed an almost negligible correlation with the BNP level. Liver transplantation was successful in 3 asymptomatic biliary atresia patients with POPH who had high BNP levels despite the low PELD/MELD scores. PMID: 29733490
- NT-proBNP was associated with poor outcomes for patients with acute respiratory distress syndrome, and its level predicted mortality. PMID: 28322314
- Levels of N-terminal pro-brain-type natriuretic peptide increases in response to exercise in patients with pulmonary arterial hypertension. PMID: 29334941
- Admission NT-proBNP is an independent predictor for short- and long-term adverse events in Takotsubo syndrome patients. PMID: 29675571
- Report a weak correlation between B-type natriuretic peptide and within-visit blood pressure variability. PMID: 29604077
- Lung ultrasound, serum B-type natriuretic peptide levels, and echocardiography can be used for outcome prediction in patients with acute heart failure. PMID: 29532155
- Data suggest that intact FGF23 level in plasma is independent predictor of cardiovascular death in patients with heart failure and provides added value to standard of care, natriuretic peptide (NT-proBNP) plasma level, for risk estimation. This study was conducted in Belgium. (FGF23 = fibroblast growth factor 23; NT-proBNP = aminoterminal pro-B-type natriuretic peptide) PMID: 30205090
- Report decreased NT-proBNP levels in heart failure patients in contemporary heart failure management programs. PMID: 29656687
- NT-proBNP may have a role in myocardial conduction abnormalities in patients with diabetes mellitus PMID: 29121498
- recombinant human brain natriuretic peptide can regulate expression of IL-6, TNF-alpha, and IL-10 in lipopolysaccharide-activated RAW 264.7 cells. PMID: 29754152
- n elderly patients with symptoms of heart failure ST2 was not superior to NTproBNP to predict all cause or cardiovascular mortality. Furthermore, it is unclear if the combination of ST2 and NTproBNP will improve long-term prognostication beyond what is achieved by NTproBNP alone. PMID: 29355441
- current cutoffs for diagnosing HF for NT-proBNP and BNP have relatively low diagnostic concordance and correlation, particularly among patients with chronic kidney disease PMID: 30111510
- Elevated plasma NT-proBNP and KIM-1 in patients with stage 5 chronic kidney disease (CKD5) undergoing maintenance hemodialysis (HD) and HF (+) (heart failure)CKD5-HD patients suggest that natriuretic peptides and KIM-1 may contribute to the pathogenesis of HF in CKD5-HD patients. PMID: 28990414
- Increased levels of NT-proBNP seems to be a better biomarker of multidrug antihypertensive therapy requirement than CT-proAVP. PMID: 29190613
- Baseline NT-proBNP concentration was associated with short-term stroke among patients hospitalized with acute heart filure. Stroke risk assessment models should consider incorporation of NT-proBNP measurement. PMID: 28905172
- Suggest potential role for BNP as a protective endogenous factor against cerebral ischemia. PMID: 29203579
- In children with chronic kidney disease, BNP is an indicator of heart failure correlating with renal function parameters and left ventricular mass index. PMID: 29775443
- Data indicate that B-type natriuretic peptide (BNP) was outcome associated in acute heart failure patients. PMID: 28132515
- Combination of coronary artery calcium score and NT-proBNP could be used to identify a group of coronary artery disease patients where MPI could be averted with a high degree of diagnostic safety. PMID: 27005324
- NT-pro-BNP was not significantly different between subjects with 1-2 stenotic coronary arteries compared to those with 3 stenotic coronary arteries. PMID: 28845719
- Serum levels of ST2, IL-33 and BNP were independent risk factors for major adverse cardiovascular events in acute myocardial infarction after percutaneous coronary intervention. PMID: 28623858
- Circulating NT-proBNP levels are lower in overweight patients, even in those with diabetes, compared to controls. PMID: 28946871
- Report usefulness of point-of-care test for NT-proBNP in primary care for the diagnosis of heart failure. PMID: 29263170
- In-hospital mortality in patients with sepsis and low risk of sepsis-related organ failure was associated with NT-proBNP > 1,330 pg/ml. PMID: 28473224
- The results of the present study suggest the possible use of the molecular pathology of BNP for the determination of the terminal cardiac function in SCD and analysis of its death mechanism in forensic practice. PMID: 28765973
- In patients with a recent acute coronary syndrome and type 2 diabetes mellitus, BNP and NT-proBNP were powerful predictors of cardiovascular outcomes beyond heart failure and death, ie, were also predictive of MI and stroke. PMID: 28554908
- Data suggest that subjects with morbid obesity exhibit down-regulation of serum levels of BNP compared to control subjects. This study was conducted in Italy. PMID: 27426417
- Increased baseline values of BNP (and BigET-1) after acute myocardial infarction, were independently predictive of future cardiovascular events. PMID: 28284500
- Patients with acute exacerbation of COPD and elevated NT-pro-BNP levels had increased hospital length of stay and need for intensive care. PMID: 28458528
- BNP blood level is a biomarker for the the severity of hand-foot-mouth disease PMID: 28962547
- Plasma levels of NT-pro-BNP were significantly higher in hypertrophic cardiomyopathy (HCM) patients with more advanced disease. Elevated NT-pro-BNP not only reflects the diastolic impairment of the LV, but it might also be the result of cardiac ischemia in patients with HCM. PMID: 28336204
- Increased preoperative brain natriuretic peptide concentration was associated with risk of serious adverse events in pediatric cardiac surgery patients. PMID: 27919715
- NPPB SNPs were not associated with insulin resistance in older adults. PMID: 27101535
- Higher blood levels of NT-proBNP was associated with incident cognitive impairments. PMID: 27567834
- In people with Type 2 diabetes, high baseline B-type natriuretic peptide levels were significantly associated with future atrial fibrillation development. PMID: 26173591
- Plasma BNP levels were independently associated with functional outcomes 3 months after stroke onset in atrial fibrillation patients. PMID: 28253498
- Short-term follow-up BNP and percent change in BNP level are significant prognostic factors of all-cause mortality in hospitalized heart failure patients. PMID: 28774268
- NT-proBNP showed an incremental prognostic value for prediction of adverse outcomes when added to the clinical and echocardiographic parameters in patients with left ventricular dysfunction. PMID: 28349264
- BNP gene body hypermethylation is associated with the risk of rheumatic heart disease (RHD), and also influenced by the warfarin anticoagulant therapy of RHD patients after surgery, which could represent novel and promising targets for therapeutic development. PMID: 27920275
- IL-6 receptor blockade has an effect on high-sensitivity troponin T and NT-proBNP in rheumatoid arthritis PMID: 27744141
- An exercise-associated increase in hs-cTnT and NT-proBNP occurred in response to a 60-minute maximal swimming test that was independent of pubertal status/adolescent vs adults. The present data also suggests that baseline and postexercise hs-cTnT values are higher in male compared with female, with no sex differences in NT-proBNP values. PMID: 29173327
- An increase in NT-proBNP is a strong predictor of outcome in patients with left ventricular non-compaction cardiomyopathy. PMID: 28268080
- Brain Natriuretic Peptide levels increased as heart failure duration increased. PMID: 28268084
- In this hospitalized heart failure cohort, atrial fibrillation/flutter status did not influence post-discharge NT-proBNP trajectory. PMID: 27748006
- NT-proBNP and BNP levels were statistically higher in patients with heart failure and anemia compared to patients with heart failure and without anemia. PMID: 28587950
- The rs198389 G allele in the NPPB promoter is associated with elevated levels of NT-proBNP throughout adult life, reduced blood pressure, hypertension and cardiovascular mortality, and increased lifespan. PMID: 28341776
- Atrial fibrillation risk discrimination was not significantly improved by the addition of NT-proBNP levels to the Framingham AF risk model. PMID: 27194537
- Combination of high serum BNP levels, along with high soluble AXL had greater predictive value for heart failure than BNP alone. PMID: 27718443
顯示更多
收起更多
-
亞細胞定位:[NT-proBNP]: Secreted.; [proBNP(3-108)]: Secreted.; [Brain natriuretic peptide 32]: Secreted.; [BNP(3-32)]: Secreted.
-
蛋白家族:Natriuretic peptide family
-
組織特異性:[Brain natriuretic peptide 32]: Detected in the cardiac atria (at protein level). Detected in the kidney distal tubular cells (at protein level).
-
數據庫鏈接:
Most popular with customers
-
-
YWHAB Recombinant Monoclonal Antibody
Applications: ELISA, WB, IHC, IF, FC
Species Reactivity: Human, Mouse, Rat
-
Phospho-YAP1 (S127) Recombinant Monoclonal Antibody
Applications: ELISA, WB, IHC
Species Reactivity: Human
-
-
-
-
-















