DSTN Monoclonal Antibody
-
中文名稱:DSTN Monoclonal Antibody
-
貨號:CSB-MA580116
-
規格:¥1320
-
圖片:
-
Immunocytochemical staining of HepG2 cells with DSTN antibody. Nuclei were stained blue with DAPI; DSTN was stained magenta with Alexa Fluor? 647. Images were taken using Leica stellaris 5. Protein abundance based on laser Intensity and Smart Gain: Medium. Scale bar, 20 μm.
-
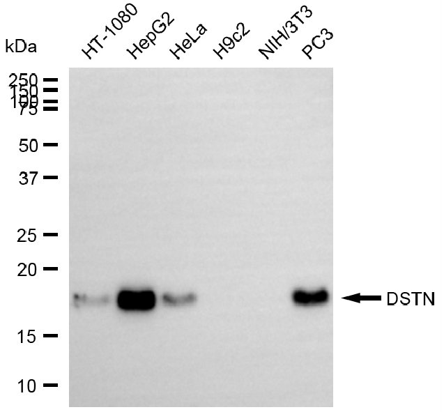
Western blotting analysis using DSTN antibody. Total cell lysates (30 μg) from various cell lines were loaded and separated by SDS-PAGE. The blot was incubated with DSTN antibody and HRP-conjugated goat anti-rabbit secondary antibody respectively.
-
-
其他:
產品詳情
-
產品名稱:Mouse anti-Homo sapiens (Human) DSTN Monoclonal antibody
-
Uniprot No.:
-
基因名:DSTN
-
別名:DSTN; Destrin, Actin Depolymerizing Factor; ACTDP; ADF; Actin-Depolymerizing Factor; Destrin; BA462D18.2 (Destrin (Actin Depolymerizing Factor ADF) (ACTDP)); Epididymis Secretory Sperm Binding Protein; Destrin (Actin Depolymerizing Factor); Epididymis Luminal Protein 32; BA462D18.2; HEL32; DSN
-
宿主:Mouse
-
反應種屬:Human
-
免疫原:Recombinant Human DSTN protein
-
免疫原種屬:Homo sapiens (Human)
-
標記方式:Non-conjugated
-
克隆類型:Monoclonal
-
抗體亞型:Mouse IgG2a
-
純化方式:Affinity-chromatography
-
克隆號:20A9
-
濃度:It differs from different batches. Please contact us to confirm it.
-
保存緩沖液:PBS (pH 7.4) containing 50% glycerol, and 0.02% sodium azide.
-
產品提供形式:Liquid
-
應用范圍:ELISA, WB, ICC
-
推薦稀釋比:
Application Recommended Dilution WB 1:500-1:2500 ICC 1:100-1:1000 -
Protocols:
-
儲存條件:Upon receipt, store at -20°C or -80°C. Avoid repeated freeze.
-
貨期:Basically, we can dispatch the products out in 1-3 working days after receiving your orders. Delivery time maybe differs from different purchasing way or location, please kindly consult your local distributors for specific delivery time.
-
用途:For Research Use Only. Not for use in diagnostic or therapeutic procedures.
相關產品
靶點詳情
-
功能:Actin-depolymerizing protein. Severs actin filaments (F-actin) and binds to actin monomers (G-actin). Acts in a pH-independent manner.
-
基因功能參考文獻:
- analysis of human Cof1, Cof2, and ADF effects on actin filament severing and turnover PMID: 26996939
- Destrin is upregulated in nerve-invasive pancreatic cancer cells and its expression might be related to perineural invasiveness PMID: 22898637
- The ADF/cofilin1-dependent severing of actin filaments exposes and promotes the activation of SPCA1, which pumps Ca(2+) into the lumen of the TGN for the sorting of the class of secretory cargo that binds Ca(2+). PMID: 21571222
- Changes in the expression of cytoskeletal regulatory proteins such as LIMK and cofilin may play a role in weakening thoracic aortic medial tissue, as a precondition to thoracic aortic dissection. PMID: 20873970
- The results of this study suggested that temporally regulated ADF/cofilin activities function in postsynaptic modifications of receptor number and spine size during synaptic plasticity. PMID: 20835250
- differences in actin binding by human ADF and cofilin PMID: 11812157
- Important sequence differences between actin-depolymerizing factor/cofilin were correlated with unique structural determinants in the F-actin-binding site to account for differences in biochemical activities of the two proteins. PMID: 14627701
- downregulated following UV exposure in epidermis PMID: 15816841
- In the absence of any crystal structures of ADF or cofilin in complex with actin, these studies provide further information about the binding sites on F-actin for these important actin regulatory proteins. PMID: 17196218
- destrin is a significant regulator of various processes important for invasive phenotype of human colon cancer Isreco1 cells whereas cofilin-1 may be involved in only a subset of them PMID: 17583572
顯示更多
收起更多
-
蛋白家族:Actin-binding proteins ADF family
-
組織特異性:Widely distributed in various tissues.
-
數據庫鏈接:
Most popular with customers
-
-
YWHAB Recombinant Monoclonal Antibody
Applications: ELISA, WB, IHC, IF, FC
Species Reactivity: Human, Mouse, Rat
-
Phospho-YAP1 (S127) Recombinant Monoclonal Antibody
Applications: ELISA, WB, IHC
Species Reactivity: Human
-
-
-
-
-















