ZP4
ZP4,全名為人卵透明帶蛋白-4,也被稱為Zona pellucida或透明帶。該蛋白在哺乳動物的卵透明帶中發揮重要作用,參與精卵結合的過程。ZP4通過與精子結合,誘導精子頂體反應,從而促進受精。ZP4的研究對于理解生殖過程和開發避孕疫苗具有重要意義。目前,針對ZP4的藥物研發主要集中在開發多表位肽疫苗,以實現有效的避孕效果。此外,ZP4與自身免疫性不孕癥等疾病的研究也取得了一些進展。
熱銷產品
ZP4 Antibody (CSB-PA621518LA01HU)
驗證數據
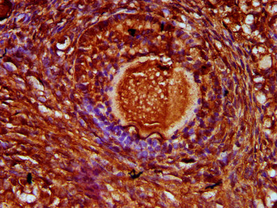
IHC image of CSB-PA621518LA01HU diluted at 1:300 and staining in paraffin-embedded human ovarian tissue performed on a Leica BondTM system. After dewaxing and hydration, antigen retrieval was mediated by high pressure in a citrate buffer (pH 6.0). Section was blocked with 10% normal goat serum 30min at RT. Then primary antibody (1% BSA) was incubated at 4°C overnight. The primary is detected by a biotinylated secondary antibody and visualized using an HRP conjugated SP system.
ZP4 Antibodies
ZP4 for Homo sapiens (Human)
| 產品貨號 | 產品名稱 | 種屬反應性 | 應用類型 |
|---|---|---|---|
| CSB-PA040107 | ZP4 Antibody | Human | WB, ELISA |
| CSB-PA621518LA01HU | ZP4 Antibody | Human | ELISA, IHC |
| CSB-PA621518LC01HU | ZP4 Antibody, FITC conjugated | Human | |
| CSB-PA621518LD01HU | ZP4 Antibody, Biotin conjugated | Human | ELISA |
ZP4 Proteins
ZP4 Proteins for Homo sapiens (Human)
| 產品貨號 | 產品名稱 | 來源 |
|---|---|---|
| CSB-YP621518HU CSB-EP621518HU CSB-BP621518HU CSB-MP621518HU CSB-EP621518HU-B |
Recombinant Human Zona pellucida sperm-binding protein 4 (ZP4), partial | Yeast E.coli Baculovirus Mammalian cell In Vivo Biotinylation in E.coli |






