ZDHHC2
ZDHHC2,全稱為鋅指DHHC型棕櫚酰轉移酶2,也被稱為DHHC2或ZNF372。該蛋白主要參與蛋白質的棕櫚酰化過程,影響蛋白質的定位和功能。ZDHHC2在細胞膜定位和信號轉導中發揮重要作用,與多種細胞過程相關。例如,它在調節蛋白質的分解代謝和定位到質膜中發揮作用。此外,ZDHHC2與某些疾病有關,如奇昆岡熱。在藥物研發方面,針對ZDHHC2的抑制劑可能用于治療與該蛋白相關的疾病。
熱銷產品
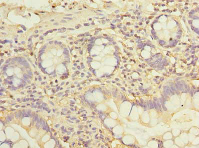
ZDHHC2 Antibody (CSB-PA883437LA01HU)
驗證數據
Immunohistochemistry of paraffin-embedded human small intestine tissue using CSB-PA883437LA01HU at dilution of 1:100
Immunofluorescent analysis of HepG2 cells using CSB-PA883437LA01HU at dilution of 1:100 and Alexa Fluor 488-congugated AffiniPure Goat Anti-Rabbit IgG(H+L)
ZDHHC2 Antibodies
ZDHHC2 for Homo sapiens (Human)
| 產品貨號 | 產品名稱 | 種屬反應性 | 應用類型 |
|---|---|---|---|
| CSB-PA214532 | ZDHHC2 Antibody | Human | ELISA,WB |
| CSB-PA020268 | ZDHHC2 Antibody | Human,Mouse,Rat,Monkey | WB, ELISA |
| CSB-PA883437LA01HU | ZDHHC2 Antibody | Human | ELISA, IHC, IF |
| CSB-PA883437LD01HU | ZDHHC2 Antibody, Biotin conjugated | Human | ELISA |
| CSB-PA883437LC01HU | ZDHHC2 Antibody, FITC conjugated | Human | |
| CSB-PA883437LB01HU | ZDHHC2 Antibody, HRP conjugated | Human | ELISA |
ZDHHC2 Proteins
ZDHHC2 Proteins for Homo sapiens (Human)
| 產品貨號 | 產品名稱 | 來源 |
|---|---|---|
| CSB-YP883437HU1 CSB-EP883437HU1 CSB-BP883437HU1 CSB-MP883437HU1 CSB-EP883437HU1-B |
Recombinant Human Palmitoyltransferase ZDHHC2 (ZDHHC2), partial | Yeast E.coli Baculovirus Mammalian cell In Vivo Biotinylation in E.coli |
| CSB-CF883437HU | Recombinant Human Palmitoyltransferase ZDHHC2 (ZDHHC2) | in vitro E.coli expression system |






