YWHAG
YWHAG,全稱為酪氨酸3-單加氧酶/色氨酸5-單加氧酶激活蛋白γ,常見別名包括14-3-3GAMMA、14-3-3 gamma和PPP1R170。該蛋白屬于14-3-3蛋白家族,通過與含磷酸絲氨酸的蛋白結合來介導信號轉導,在細胞內穩態和信號調控中發揮重要作用。YWHAG蛋白參與多種細胞過程,包括細胞周期調控、凋亡和應激反應。研究表明,YWHAG蛋白與阿爾茨海默病等神經退行性疾病密切相關,其水平變化可作為疾病診斷和預后的生物標志物。近年來,針對YWHAG蛋白的藥物研發取得進展,例如開發基于YWHAG蛋白的ELISA試劑盒用于疾病檢測,以及探索其作為潛在治療靶點的藥物設計。此外,YWHAG蛋白在腫瘤、自身免疫性疾病等領域的病理機制也受到關注,為相關疾病的治療提供了新的思路。
熱銷產品
YWHAG Recombinant Monoclonal Antibody (CSB-RA824302A0HU)
驗證數據
Western Blot
Positive WB detected in: Hela whole cell lysate, Jurkat whole cell lysate, A549 whole cell lysate, K562 whole cell lysate
All lanes: YWHAG antibody at 1:2000
Secondary
Goat polyclonal to rabbit IgG at 1/50000 dilution
Predicted band size: 29 kDa
Observed band size: 29 kDa
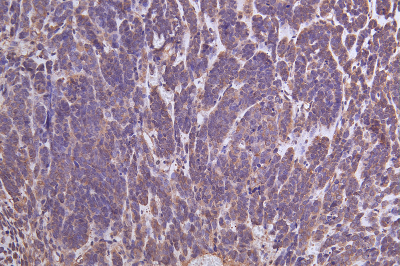
IHC image of CSB-RA824302A0HU diluted at 1:100 and staining in paraffin-embedded human endometrial cancer performed on a Leica BondTM system. After dewaxing and hydration, antigen retrieval was mediated by high pressure in a citrate buffer (pH 6.0). Section was blocked with 10% normal goat serum 30min at RT. Then primary antibody (1% BSA) was incubated at 4°C overnight. The primary is detected by a Goat anti-rabbit polymer IgG labeled by HRP and visualized using 0.05% DAB.
YWHAG Antibody (CSB-PA026288LA01HU)
驗證數據
Immunohistochemistry of paraffin-embedded human lung cancer using CSB-PA026288LA01HU at dilution of 1:100
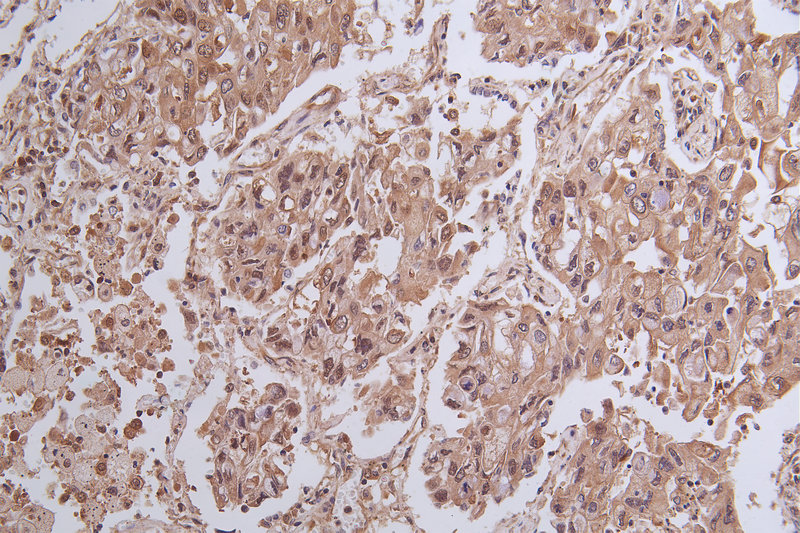
Immunohistochemistry of paraffin-embedded human ovarian cancer using CSB-PA026288LA01HU at dilution of 1:100
Western Blot
Positive WB detected in: Mouse brain tissue, A431 whole cell lysate, Human placenta tissue
All lanes: YWHAG antibody at 1:2000
Secondary
Goat polyclonal to rabbit IgG at 1/50000 dilution
Predicted band size: 29 kDa
Observed band size: 29 kDa
Western Blot
Positive WB detected in: Hela whole cell lysate, Jurkat whole cell lysate, NIH/3T3 whole cell lysate, U251 whole cell lysate, K562 whole cell lysate, Rat brain tissue
All lanes: YWHAG antibody at 1:2000
Secondary
Goat polyclonal to rabbit IgG at 1/50000 dilution
Predicted band size: 29 kDa
Observed band size: 29 kDa
Immunoprecipitating YWHAG in NIH/3T3 whole cell lysate
Lane 1: Rabbit control IgG instead of CSB-PA026288LA01HU in NIH/3T3 whole cell lysate.For western blotting, a HRP-conjugated Protein G antibody was used as the secondary antibody (1/2000)
Lane 2: CSB-PA026288LA01HU (5μg) + NIH/3T3 whole cell lysate (500μg)
Lane 3: NIH/3T3 whole cell lysate (20μg)
Western Blot
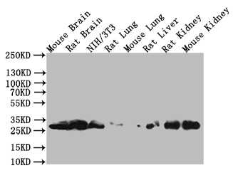
Positive WB detected in: Mouse Brain tissue lysate,Rat Brain tissue lysate,NIH/3T3 whole cell lysate, Rat Lung tissue lysate,Mouse Lung tissue lysate,Rat Liver tissue lysate,Rat Kidney tissue lysate,Mouse Kidney tissue lysate
All lanes: YWHAG antibody at 1:1000
Secondary
Goat polyclonal to rabbit IgG at 1/50000 dilution
Predicted band size: 28.3 kDa
Observed band size: 28kDa
Immunohistochemistry of paraffin-embedded human endometrial cancer using CSB-PA026288LA01HU at dilution of 1:100
Human 14-3-3 protein gamma(YWHAG) ELISA kit (CSB-EL026288HU)
驗證數據
貨號:CSB-EL026288HU
規格:96T/48T
靈敏度:0.156 ng/mL
檢測范圍:0.625 ng/mL-40 ng/mL
These standard curves are provided for demonstration only. A standard curve should be generated for each set of samples assayed.
YWHAG Antibodies
YWHAG for Homo sapiens (Human)
| 產品貨號 | 產品名稱 | 種屬反應性 | 應用類型 |
|---|---|---|---|
| CSB-PA026288GA01HU | YWHAG Antibody | Human,Mouse,Rat | ELISA,WB |
| CSB-PA948368 | YWHAG Antibody | Human,Mouse,Rat | ELISA,WB,IHC,IF |
| CSB-PA060090 | YWHAG Antibody | Human,Mouse,Rat | WB, IHC, IF, ELISA |
| CSB-PA066436 | YWHAG Antibody | Human,Mouse,Rat | ELISA,WB,IHC |
| CSB-PA589658 | YWHAG Antibody | Human,Mouse,Rat | ELISA,WB,IHC |
| CSB-PA026288LA01HU | YWHAG Antibody | Human, Mouse, Rat | ELISA, WB, IHC, IP |
| CSB-PA026288LB01HU | YWHAG Antibody, HRP conjugated | Human | ELISA |
| CSB-PA026288LD01HU | YWHAG Antibody, Biotin conjugated | Human | ELISA |
| CSB-RA824302A0HU | YWHAG Recombinant Monoclonal Antibody | Human | ELISA, WB, IHC |
YWHAG Proteins
YWHAG Proteins for Ovis aries (Sheep)
| 產品貨號 | 產品名稱 | 來源 |
|---|---|---|
| CSB-YP026288SH CSB-EP026288SH CSB-BP026288SH CSB-MP026288SH CSB-EP026288SH-B |
Recombinant Sheep 14-3-3 protein gamma (YWHAG) | Yeast E.coli Baculovirus Mammalian cell In Vivo Biotinylation in E.coli |
YWHAG Proteins for Bos taurus (Bovine)
| 產品貨號 | 產品名稱 | 來源 |
|---|---|---|
| CSB-YP026288BO CSB-EP026288BO CSB-BP026288BO CSB-MP026288BO CSB-EP026288BO-B |
Recombinant Bovine 14-3-3 protein gamma (YWHAG) | Yeast E.coli Baculovirus Mammalian cell In Vivo Biotinylation in E.coli |
YWHAG Proteins for Mus musculus (Mouse)
| 產品貨號 | 產品名稱 | 來源 |
|---|---|---|
| CSB-YP026288MO CSB-EP026288MO CSB-BP026288MO CSB-MP026288MO CSB-EP026288MO-B |
Recombinant Mouse 14-3-3 protein gamma (Ywhag) | Yeast E.coli Baculovirus Mammalian cell In Vivo Biotinylation in E.coli |
YWHAG Proteins for Homo sapiens (Human)
| 產品貨號 | 產品名稱 | 來源 |
|---|---|---|
| CSB-YP026288HU CSB-EP026288HU CSB-BP026288HU CSB-MP026288HU CSB-EP026288HU-B |
Recombinant Human 14-3-3 protein gamma (YWHAG) | Yeast E.coli Baculovirus Mammalian cell In Vivo Biotinylation in E.coli |
YWHAG Proteins for Rattus norvegicus (Rat)
| 產品貨號 | 產品名稱 | 來源 |
|---|---|---|
| CSB-YP026288RA CSB-EP026288RA CSB-BP026288RA CSB-MP026288RA CSB-EP026288RA-B |
Recombinant Rat 14-3-3 protein gamma (Ywhag) | Yeast E.coli Baculovirus Mammalian cell In Vivo Biotinylation in E.coli |
YWHAG Proteins for Gallus gallus (Chicken)
| 產品貨號 | 產品名稱 | 來源 |
|---|---|---|
| CSB-YP704881CH CSB-EP704881CH CSB-BP704881CH CSB-MP704881CH CSB-EP704881CH-B |
Recombinant Chicken 14-3-3 protein gamma (YWHAG) | Yeast E.coli Baculovirus Mammalian cell In Vivo Biotinylation in E.coli |
YWHAG Proteins for Pongo abelii (Sumatran orangutan)
| 產品貨號 | 產品名稱 | 來源 |
|---|---|---|
| CSB-YP712963PYX CSB-EP712963PYX CSB-BP712963PYX CSB-MP712963PYX CSB-EP712963PYX-B |
Recombinant Pongo abelii 14-3-3 protein gamma (YWHAG) | Yeast E.coli Baculovirus Mammalian cell In Vivo Biotinylation in E.coli |
YWHAG ELISA Kit
YWHAG ELISA Kit for Homo sapiens (Human)
| 產品貨號 | 產品名稱 | 樣本類型 | 靈敏度 |
|---|---|---|---|
| CSB-EL026288HU | Human 14-3-3 protein gamma(YWHAG) ELISA kit | serum, plasma, tissue homogenates | 0.156 ng/mL |






