VCAM1
VCAM1,全稱為血管細胞黏附分子1,也被稱為CD106。它是一種在活化的內皮細胞上表達的細胞表面糖蛋白,屬于免疫球蛋白超家族。VCAM1在炎癥反應中起著關鍵作用,能夠介導白細胞與內皮細胞的粘附,促進免疫細胞向炎癥部位的遷移。此外,VCAM1還與腫瘤的發生和發展有關,其表達水平與腫瘤的侵襲性和轉移風險密切相關。在藥物研發方面,針對VCAM1的抗體和抑制劑正在被研究,以開發治療炎癥性疾病和癌癥的新療法。
熱銷產品
Recombinant Human Vascular cell adhesion protein 1 (VCAM1), partial (CSB-EP025809HU)
驗證數據
(Tris-Glycine gel) Discontinuous SDS-PAGE (reduced) with 5% enrichment gel and 15% separation gel.
驗證數據
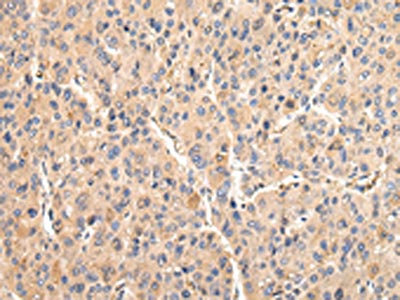
The image on the left is immunohistochemistry of paraffin-embedded Human liver cancer tissue using CSB-PA078497(VCAM1 Antibody) at dilution 1/30, on the right is treated with fusion protein. (Original magnification: ×200)
The image on the left is immunohistochemistry of paraffin-embedded Human esophagus cancer tissue using CSB-PA078497(VCAM1 Antibody) at dilution 1/30, on the right is treated with fusion protein. (Original magnification: ×200)
Human Vascular cell adhesion molecule 1,VCAM-1 ELISA kit (CSB-E04753h)
驗證數據
貨號:CSB-E04753h
規格:96T/48T
靈敏度:0.611 ng/mL
檢測范圍:1.563 ng/mL-100 ng/mL
These standard curves are provided for demonstration only. A standard curve should be generated for each set of samples assayed.
VCAM1 Antibodies
VCAM1 for Homo sapiens (Human)
| 產品貨號 | 產品名稱 | 種屬反應性 | 應用類型 |
|---|---|---|---|
| CSB-PA025809GA01HU | VCAM1 Antibody | Human,Mouse,Rat | ELISA,IHC |
| CSB-PA025809LA01HU | VCAM1 Antibody | Human | ELISA |
| CSB-PA025809LB01HU | VCAM1 Antibody, HRP conjugated | Human | ELISA |
| CSB-PA025809LC01HU | VCAM1 Antibody, FITC conjugated | Human | |
| CSB-PA078497 | VCAM1 Antibody | Human,Mouse,Rat | ELISA,IHC |
| CSB-PA213301 | VCAM1 Antibody | Human,Mouse,Rat | ELISA,IHC |
VCAM1 Proteins
VCAM1 Proteins for Homo sapiens (Human)
| 產品貨號 | 產品名稱 | 來源 |
|---|---|---|
| CSB-YP025809HU | Recombinant Human Vascular cell adhesion protein 1 (VCAM1), partial | Yeast |
| CSB-EP025809HU | Recombinant Human Vascular cell adhesion protein 1 (VCAM1), partial | E.coli |
| CSB-BP025809HU CSB-MP025809HU CSB-EP025809HU-B |
Recombinant Human Vascular cell adhesion protein 1 (VCAM1), partial | Baculovirus Mammalian cell In Vivo Biotinylation in E.coli |
VCAM1 Proteins for Mus musculus (Mouse)
| 產品貨號 | 產品名稱 | 來源 |
|---|---|---|
| CSB-YP025809MO1 CSB-EP025809MO1 CSB-BP025809MO1 CSB-MP025809MO1 CSB-EP025809MO1-B |
Recombinant Mouse Vascular cell adhesion protein 1 (Vcam1), partial | Yeast E.coli Baculovirus Mammalian cell In Vivo Biotinylation in E.coli |
| CSB-CF025809MO | Recombinant Mouse Vascular cell adhesion protein 1 (Vcam1) | in vitro E.coli expression system |
VCAM1 Proteins for Rattus norvegicus (Rat)
| 產品貨號 | 產品名稱 | 來源 |
|---|---|---|
| CSB-YP025809RA CSB-EP025809RA CSB-BP025809RA CSB-MP025809RA CSB-EP025809RA-B |
Recombinant Rat Vascular cell adhesion protein 1 (Vcam1), partial | Yeast E.coli Baculovirus Mammalian cell In Vivo Biotinylation in E.coli |
| CSB-EP025809RA1 | Recombinant Rat Vascular cell adhesion protein 1 (Vcam1), partial | E.coli |
| CSB-CF025809RA(A4) | Recombinant Rat Vascular cell adhesion protein 1 (Vcam1) | in vitro E.coli expression system |
VCAM1 Proteins for Canis familiaris (Dog) (Canis lupus familiaris)
| 產品貨號 | 產品名稱 | 來源 |
|---|---|---|
| CSB-YP637896DO CSB-EP637896DO CSB-BP637896DO CSB-MP637896DO CSB-EP637896DO-B |
Recombinant Dog Vascular cell adhesion protein 1 (VCAM1), partial | Yeast E.coli Baculovirus Mammalian cell In Vivo Biotinylation in E.coli |
VCAM1 ELISA Kit
VCAM1 ELISA Kit for Homo sapiens (Human)
| 產品貨號 | 產品名稱 | 樣本類型 | 靈敏度 |
|---|---|---|---|
| CSB-E04753h | Human Vascular cell adhesion molecule 1,VCAM-1 ELISA kit | serum, plasma, tissue homogenates | 0.611 ng/mL |
VCAM1 ELISA Kit for Mus musculus (Mouse)
| 產品貨號 | 產品名稱 | 樣本類型 | 靈敏度 |
|---|---|---|---|
| CSB-E04754m | Mouse Vascular cell adhesion molecule 1,VCAM-1 ELISA kit | serum, plasma, cell culture supernates, tissue homogenates | 29.649 pg/mL |
VCAM1 ELISA Kit for Rattus norvegicus (Rat)
| 產品貨號 | 產品名稱 | 樣本類型 | 靈敏度 |
|---|---|---|---|
| CSB-E07275r | Rat vascular cell adhesion protein 1 (VCAM-1/CD106) ELISA kit | serum, plasma, tissue homogenates | 3.9 ng/mL |




