USP28
USP28,即泛素特異性肽酶28,別名USP21。這是一種在人類細胞中表達的去泛素化酶,屬于DUB(去泛素化酶)USP亞家族。USP28在DNA損傷途徑和DNA損傷誘導的細胞凋亡中發揮作用,其過度表達在多種癌癥中觀察到,包括膠質瘤和非小細胞肺癌。USP28的作用機制是通過去除目標蛋白上的泛素化修飾,從而調節蛋白質的穩定性和功能。它能夠穩定癌蛋白,促進癌癥的發展,但最近的一些研究也揭示了USP28在某些癌癥中的抑癌作用,例如黑色素瘤。USP28在癌癥治療中可能具有雙重作用,既可以作為促進癌癥發展的靶點,也可能參與抑制癌癥的機制。
熱銷產品
USP28 Antibody (CSB-PA850427ESR2HU)
驗證數據
Western blot
All lanes: USP28 antibody at 3.08µg/ml + Hela whole cell lysate
Secondary
Goat polyclonal to rabbit IgG at 1/10000 dilution
Predicted band size: 123, 120, 67 kDa
Observed band size: 123 kDa
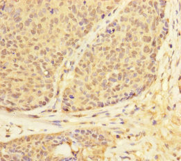
Immunohistochemistry of paraffin-embedded human ovarian cancer using CSB-PA850427ESR2HU at dilution of 1:100
USP28 Antibodies
USP28 for Homo sapiens (Human)
| 產品貨號 | 產品名稱 | 種屬反應性 | 應用類型 |
|---|---|---|---|
| CSB-PA025718GA01HU | USP28 Antibody | Human,Mouse,Rat | ELISA,WB,IHC |
| CSB-PA850427ESR1HU | USP28 Antibody | Human | ELISA, IHC |
| CSB-PA850427ESR2HU | USP28 Antibody | Human | ELISA, WB, IHC |
USP28 Proteins
USP28 Proteins for Homo sapiens (Human)
| 產品貨號 | 產品名稱 | 來源 |
|---|---|---|
| CSB-YP850427HU CSB-EP850427HU CSB-BP850427HU CSB-MP850427HU CSB-EP850427HU-B |
Recombinant Human Ubiquitin carboxyl-terminal hydrolase 28 (USP28) | Yeast E.coli Baculovirus Mammalian cell In Vivo Biotinylation in E.coli |






