TYRO3
TYRO3是一種屬于TAM受體家族的受體酪氨酸激酶,它通過配體如TULP1或GAS6傳遞信號,調節細胞存活、遷移和分化等生物過程。TYRO3的結構特征包括保守的激酶結構域和黏附分子樣胞外域。在功能方面,TYRO3不僅參與細胞增殖、遷移和免疫抑制,還作為埃博拉病毒和馬爾堡病毒的細胞進入因子。TYRO3通過激活下游信號通路如PI3K/Akt和調控細胞周期素D1的表達、ERK1/2或STAT3的磷酸化來發揮作用。這些信號通路的激活對于保護神經元、調節乳腺癌細胞增殖以及參與腫瘤微環境中的免疫抑制、血管生成和腫瘤生長等過程至關重要。因此,TYRO3在生物學中扮演著重要角色,為基于其結構的靶向治療提供了新的研究方向。
熱銷產品
TYRO3 Antibody (CSB-PA025396LA01HU)
驗證數據
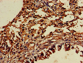
Immunohistochemistry of paraffin-embedded human lung tissue using CSB-PA025396LA01HU at dilution of 1:100
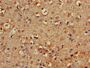
Immunohistochemistry of paraffin-embedded human brain tissue using CSB-PA025396LA01HU at dilution of 1:100
Immunofluorescent analysis of HepG2 cells using CSB-PA025396LA01HU at dilution of 1:100 and Alexa Fluor 488-congugated AffiniPure Goat Anti-Rabbit IgG(H+L)
TYRO3 Antibodies
TYRO3 for Homo sapiens (Human)
| 產品貨號 | 產品名稱 | 種屬反應性 | 應用類型 |
|---|---|---|---|
| CSB-PA025396LA01HU | TYRO3 Antibody | Human | ELISA, IHC, IF |
| CSB-PA025396LB01HU | TYRO3 Antibody, HRP conjugated | Human | ELISA |
TYRO3 Proteins
TYRO3 Proteins for Homo sapiens (Human)
| 產品貨號 | 產品名稱 | 來源 |
|---|---|---|
| CSB-YP025396HU CSB-EP025396HU CSB-BP025396HU CSB-MP025396HU CSB-EP025396HU-B |
Recombinant Human Tyrosine-protein kinase receptor TYRO3 (TYRO3), partial | Yeast E.coli Baculovirus Mammalian cell In Vivo Biotinylation in E.coli |
TYRO3 ELISA Kit
TYRO3 ELISA Kit for Homo sapiens (Human)
| 產品貨號 | 產品名稱 | 樣本類型 | 靈敏度 |
|---|---|---|---|
| CSB-EL025396HU | Human Tyrosine-protein kinase receptor TYRO3(TYRO3) ELISA kit | serum, plasma,tissue homogenates | 0.11 ng/mL |






