TULP3
TULP3(TUB Like Protein 3)是一種進化保守的接頭蛋白,屬于Tubby超家族成員,因其C端與植物Tubby蛋白相似的磷酸肌醇結合結構域而得名。TULP3通過與細胞膜上的磷脂酰肌醇-4,5-二磷酸(PIP2)結合,介導特定膜蛋白從纖毛基體到細胞膜的轉運,尤其在神經發育和感官系統功能中起關鍵作用。研究發現TULP3與纖毛相關蛋白INPP5E形成復合物,共同調節纖毛信號傳導,其功能異??蓪е吕w毛結構缺陷。臨床上,TULP3基因突變與先天性腦積水、多囊腎疾病及視網膜色素變性密切相關,動物模型中敲除該基因會引發神經管閉合不全和胚胎致死。針對TULP3相關疾病的治療尚處于基礎研究階段,部分團隊正探索通過調控Hedgehog信號通路或纖毛靶向藥物干預相關病理過程,但其成藥性仍需進一步驗證。
熱銷產品
TULP3 Antibody (CSB-PA025348LA01HU)
驗證數據
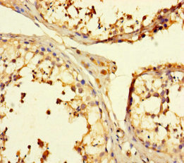
Immunohistochemistry of paraffin-embedded human testis tissue using CSB-PA025348LA01HU at dilution of 1:100
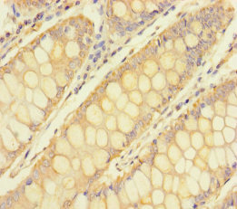
Immunohistochemistry of paraffin-embedded human colon cancer using CSB-PA025348LA01HU at dilution of 1:100
TULP3 Antibodies
TULP3 for Homo sapiens (Human)
| 產品貨號 | 產品名稱 | 種屬反應性 | 應用類型 |
|---|---|---|---|
| CSB-PA025348GA01HU | TULP3 Antibody | Human,Mouse,Rat | ELISA,WB,IHC |
| CSB-PA025348LA01HU | TULP3 Antibody | Human | ELISA, IHC |
| CSB-PA025348LB01HU | TULP3 Antibody, HRP conjugated | Human | ELISA |
| CSB-PA025348LC01HU | TULP3 Antibody, FITC conjugated | Human | |
| CSB-PA025348LD01HU | TULP3 Antibody, Biotin conjugated | Human | ELISA |
TULP3 Proteins
TULP3 Proteins for Homo sapiens (Human)
| 產品貨號 | 產品名稱 | 來源 |
|---|---|---|
| CSB-YP025348HU CSB-EP025348HU CSB-BP025348HU CSB-MP025348HU CSB-EP025348HU-B |
Recombinant Human Tubby-related protein 3 (TULP3) | Yeast E.coli Baculovirus Mammalian cell In Vivo Biotinylation in E.coli |






