TRPV1
TRPV1,即瞬時受體電位香草醛亞家族1,別名VR1。它是一種配體門控的非選擇性陽離子通道,屬于瞬時受體電位通道家族。TRPV1主要分布在神經系統,尤其在傷害性感受神經元中,同時也在非神經細胞如肥大細胞、膀胱上皮細胞、單核細胞等中廣泛分布。其作用機制涉及多種物理和化學刺激的響應,如熱(>43℃)、質子(pH<6.0)、機械力、滲透壓以及內源性配體和外源性配體(如辣椒素)。
TRPV1介導瘙癢和疼痛反應,參與糖尿病、呼吸疾病、心血管疾病、消化系統和皮膚系統的疾病進程。TRPV1在腫瘤細胞中表達上調,可抑制腫瘤細胞的增殖、侵襲和遷移,誘導細胞周期阻滯和細胞凋亡,因此在抗癌研究中具有潛在的治療效果。目前,TRPV1已成為藥物研發的重要靶點,針對TRPV1的新藥物已開發用于改善糖尿病、心血管疾病和某些類型的癌癥。
熱銷產品
驗證數據
(Tris-Glycine gel) Discontinuous SDS-PAGE (reduced) with 5% enrichment gel and 15% separation gel.
TRPV1 Antibody (CSB-PA822774LA01HU)
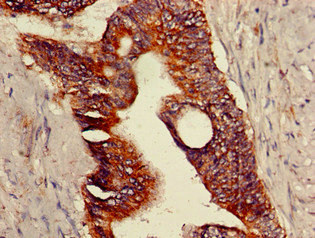
驗證數據
Immunohistochemistry of paraffin-embedded human colon cancer using CSB-PA822774LA01HU at dilution of 1:100
Immunofluorescent analysis of HepG2 cells using CSB-PA822774LA01HU at dilution of 1:100 and Alexa Fluor 488-congugated AffiniPure Goat Anti-Rabbit IgG(H+L)
驗證數據
貨號:CSB-E14198h
規格:96T/48T
靈敏度:0.078 ng/mL
檢測范圍:0.312 ng/mL-20 ng/mL
These standard curves are provided for demonstration only. A standard curve should be generated for each set of samples assayed.
TRPV1 Antibodies
TRPV1 for Homo sapiens (Human)
| 產品貨號 | 產品名稱 | 種屬反應性 | 應用類型 |
|---|---|---|---|
| CSB-PA216653 | TRPV1 Antibody | Human | ELISA,IHC |
| CSB-PA037727 | TRPV1 Antibody | Human | ELISA,IHC |
| CSB-PA822774LA01HU | TRPV1 Antibody | Human | ELISA, IHC, IF |
| CSB-PA822774LB01HU | TRPV1 Antibody, HRP conjugated | Human | ELISA |
| CSB-PA822774LD01HU | TRPV1 Antibody, Biotin conjugated | Human | ELISA |
TRPV1 Proteins
TRPV1 Proteins for Rattus norvegicus (Rat)
| 產品貨號 | 產品名稱 | 來源 |
|---|---|---|
| CSB-YP025093RA CSB-EP025093RA CSB-BP025093RA CSB-MP025093RA CSB-EP025093RA-B |
Recombinant Rat Transient receptor potential cation channel subfamily V member 1 (Trpv1), partial | Yeast E.coli Baculovirus Mammalian cell In Vivo Biotinylation in E.coli |
TRPV1 Proteins for Canis familiaris (Dog) (Canis lupus familiaris)
| 產品貨號 | 產品名稱 | 來源 |
|---|---|---|
| CSB-YP734741DO CSB-EP734741DO CSB-BP734741DO CSB-MP734741DO CSB-EP734741DO-B |
Recombinant Dog Transient receptor potential cation channel subfamily V member 1 (TRPV1), partial | Yeast E.coli Baculovirus Mammalian cell In Vivo Biotinylation in E.coli |
TRPV1 Proteins for Mus musculus (Mouse)
| 產品貨號 | 產品名稱 | 來源 |
|---|---|---|
| CSB-YP747826MO CSB-EP747826MO CSB-BP747826MO CSB-MP747826MO CSB-EP747826MO-B |
Recombinant Mouse Transient receptor potential cation channel subfamily V member 1 (Trpv1), partial | Yeast E.coli Baculovirus Mammalian cell In Vivo Biotinylation in E.coli |
TRPV1 Proteins for Cavia porcellus (Guinea pig)
| 產品貨號 | 產品名稱 | 來源 |
|---|---|---|
| CSB-YP750924GU CSB-EP750924GU CSB-BP750924GU CSB-MP750924GU CSB-EP750924GU-B |
Recombinant Guinea pig Transient receptor potential cation channel subfamily V member 1 (Trpv1), partial | Yeast E.coli Baculovirus Mammalian cell In Vivo Biotinylation in E.coli |
TRPV1 Proteins for Oryctolagus cuniculus (Rabbit)
| 產品貨號 | 產品名稱 | 來源 |
|---|---|---|
| CSB-YP750950RB CSB-EP750950RB CSB-BP750950RB CSB-MP750950RB CSB-EP750950RB-B |
Recombinant Rabbit Transient receptor potential cation channel subfamily V member 1 (Trpv1), partial | Yeast E.coli Baculovirus Mammalian cell In Vivo Biotinylation in E.coli |
TRPV1 Proteins for Homo sapiens (Human)
| 產品貨號 | 產品名稱 | 來源 |
|---|---|---|
| CSB-YP822774HU CSB-BP822774HU CSB-MP822774HU CSB-EP822774HU-B |
Recombinant Human Transient receptor potential cation channel subfamily V member 1 (TRPV1), partial | Yeast Baculovirus Mammalian cell In Vivo Biotinylation in E.coli |
| CSB-EP822774HU | Recombinant Human Transient receptor potential cation channel subfamily V member 1 (TRPV1), partial | E.coli |
| CSB-CF822774HU1 | Recombinant Human Transient receptor potential cation channel subfamily V member 1 (TRPV1), partial | in vitro E.coli expression system |
TRPV1 ELISA Kit
TRPV1 ELISA Kit for Homo sapiens (Human)
| 產品貨號 | 產品名稱 | 樣本類型 | 靈敏度 |
|---|---|---|---|
| CSB-E14198h | Human transient receptor potential cation channel subfamily V member 1 (TrpV1)ELISA Kit | serum, plasma, tissue homogenates, cell lysates | 0.078 ng/mL |






