TNFSF18
TNFSF18,全稱為腫瘤壞死因子超家族成員18,也被稱為GITRL或GITR Ligand。該蛋白在免疫調節、腫瘤發生及多種疾病進程中扮演重要角色。TNFSF18主要表達于抗原呈遞細胞表面,通過與GITR受體結合,調節T細胞的活化和增殖,增強免疫應答。它在惡性胸膜間皮瘤、非小細胞肺癌等多種疾病中高表達,與腫瘤的進展和不良預后相關。目前,針對TNFSF18的藥物研發主要集中在開發抑制劑和單克隆抗體,以阻斷其信號通路,抑制腫瘤細胞生長,增強機體抗腫瘤免疫反應。
熱銷產品
驗證數據
(Tris-Glycine gel) Discontinuous SDS-PAGE (reduced) with 5% enrichment gel and 15% separation gel.
Activity
Measured by its binding ability in a functional ELISA. Immobilized TNFRSF18 at 2 μg/ml can bind TNFSF18 (CSB-MP891791HU), the EC50 is 2.565 to 2.940 ng/ml.
Activity
Human TNFRSF18 protein hFc tag (CSB-MP896537HU) captured on COOH chip can bind Human TNFSF18 protein hFc and Flag tag (CSB-MP891791HU) with an affinity constant of 38.5 nM as detected by LSPR Assay.
TNFSF18 Antibody (CSB-PA891791ESR1HU)
驗證數據
Immunohistochemistry of paraffin-embedded human small intestine tissue using CSB-PA891791ESR1HU at dilution of 1:100
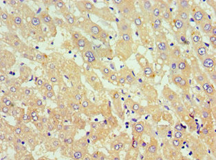
Immunohistochemistry of paraffin-embedded human liver tissue using CSB-PA891791ESR1HU at dilution of 1:100
TNFSF18 Antibodies
TNFSF18 for Homo sapiens (Human)
| 產品貨號 | 產品名稱 | 種屬反應性 | 應用類型 |
|---|---|---|---|
| CSB-PA891791ESR1HU | TNFSF18 Antibody | Human | ELISA, IHC |
TNFSF18 Proteins
TNFSF18 Proteins for Mus musculus (Mouse)
| 產品貨號 | 產品名稱 | 來源 |
|---|---|---|
| CSB-YP749268MO CSB-EP749268MO CSB-BP749268MO CSB-MP749268MO CSB-EP749268MO-B |
Recombinant Mouse Tumor necrosis factor ligand superfamily member 18 (Tnfsf18), partial | Yeast E.coli Baculovirus Mammalian cell In Vivo Biotinylation in E.coli |
TNFSF18 Proteins for Homo sapiens (Human)
| 產品貨號 | 產品名稱 | 來源 |
|---|---|---|
| CSB-YP891791HU CSB-EP891791HU CSB-BP891791HU CSB-EP891791HU-B |
Recombinant Human Tumor necrosis factor ligand superfamily member 18 (TNFSF18), partial | Yeast E.coli Baculovirus In Vivo Biotinylation in E.coli |
| CSB-AP002351HU | Recombinant Human Tumor necrosis factor ligand superfamily member 18 protein (TNFSF18), partial (Active) | E.Coli |
| CSB-MP891791HU | Recombinant Human Tumor necrosis factor ligand superfamily member 18 (TNFSF18), partial (Active) | Mammalian cell |
TNFSF18 ELISA Kit
TNFSF18 ELISA Kit for Homo sapiens (Human)
| 產品貨號 | 產品名稱 | 樣本類型 | 靈敏度 |
|---|---|---|---|
| CSB-EL023993HU | Human Tumor necrosis factor ligand superfamily member 18(TNFSF18) ELISA kit | serum, plasma,tissue homogenates. | 7.8pg/ml. |






