TNFRSF12A
TNFRSF12A,全名為腫瘤壞死因子受體超家族成員12A,也被稱為Fn14。該蛋白主要表達于細胞表面,參與細胞凋亡、侵襲、蛋白結合等過程,并與腫瘤惡性程度高度相關。研究發現,TNFRSF12A在肝癌組織中高表達,并與患者生存預后呈顯著正相關,提示其可能作為癌基因在腫瘤的發生發展中發揮重要作用。此外,TNFRSF12A與腫瘤干細胞標志物(CD24、SOX4、ANPEP)共表達,進一步支持了這一觀點。在藥物研發方面,有研究通過RNA干擾技術抑制TNFRSF12A基因的表達,有效抑制了腫瘤細胞的增殖、促進細胞凋亡、降低腫瘤細胞的侵襲和轉移能力,為腫瘤治療提供了新的思路。
熱銷產品
TNFRSF12A Recombinant Monoclonal Antibody (CSB-RA441307A0HU)
驗證數據
Western Blot
Positive WB detected in: U251 whole cell lysate, MCF-7 whole cell lysate, U87 whole cell lysate
All lanes: TNFRSF12A antibody at 1:2000
Secondary
Goat polyclonal to rabbit IgG at 1/50000 dilution
Predicted band size: 14, 11 kD
Observed band size: 14 kDa
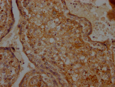
IHC image of CSB-RA441307A0HU diluted at 1:100 and staining in paraffin-embedded human placenta tissue performed on a Leica BondTM system. After dewaxing and hydration, antigen retrieval was mediated by high pressure in a citrate buffer (pH 6.0). Section was blocked with 10% normal goat serum 30min at RT. Then primary antibody (1% BSA) was incubated at 4℃ overnight. The primary is detected by a Goat anti-rabbit IgG polymer labeled by HRP and visualized using 0.05% DAB.
TNFRSF12A Antibodies
TNFRSF12A for Homo sapiens (Human)
| 產品貨號 | 產品名稱 | 種屬反應性 | 應用類型 |
|---|---|---|---|
| CSB-PA199353 | TNFRSF12A Antibody | Human | ELISA,IHC |
| CSB-PA925623 | TNFRSF12A Antibody | Human,Mouse | ELISA,WB |
| CSB-RA441307A0HU | TNFRSF12A Recombinant Monoclonal Antibody | Human | ELISA, WB, IHC |
TNFRSF12A Proteins
TNFRSF12A Proteins for Homo sapiens (Human)
| 產品貨號 | 產品名稱 | 來源 |
|---|---|---|
| CSB-YP873605HU CSB-EP873605HU CSB-BP873605HU CSB-MP873605HU CSB-EP873605HU-B |
Recombinant Human Tumor necrosis factor receptor superfamily member 12A (TNFRSF12A), partial | Yeast E.coli Baculovirus Mammalian cell In Vivo Biotinylation in E.coli |
| CSB-AP001931HU | Recombinant Human Tumor necrosis factor receptor superfamily member 12A protein (TNFRSF12A), partial (Active) | E.Coli |






