TLR2
TLR2,全稱Toll樣受體2,是一種重要的免疫識別蛋白,也被稱為CD284。它參與人體對病原體的識別和免疫反應,在急性炎癥、細胞信號轉導和細胞凋亡中發揮關鍵作用。TLR2通常與LY96蛋白協同工作,識別細菌的脂蛋白和細胞壁成分,啟動免疫應答。其激活后可引發多種信號通路,如NF-κB和MAPK通路,進而調節炎癥因子如TNF-α和IL-1的分泌。TLR2與多種疾病的發生發展密切相關,包括類風濕性關節炎、紅斑狼瘡、糖尿病和心血管疾病等。針對TLR2的藥物研發已成為熱點,例如清華大學尹航團隊研發的小分子CU-T12-9可作為Toll樣受體調節劑,用于開發治療類風濕性關節炎和紅斑狼瘡等免疫疾病的疫苗。此外,TLR2拮抗劑的研究也取得進展,有望為心血管疾病等提供新的治療策略。
熱銷產品
Recombinant Human Toll-like receptor 2 (TLR2), partial (CSB-EP023601HU1)
驗證數據
(Tris-Glycine gel) Discontinuous SDS-PAGE (reduced) with 5% enrichment gel and 15% separation gel.
Based on the SEQUEST from database of E.coli host and target protein, the LC-MS/MS Analysis result of CSB-EP023601HU1 could indicate that this peptide derived from E.coli-expressed Homo sapiens (Human) TLR2.
Based on the SEQUEST from database of E.coli host and target protein, the LC-MS/MS Analysis result of CSB-EP023601HU1 could indicate that this peptide derived from E.coli-expressed Homo sapiens (Human) TLR2.
驗證數據
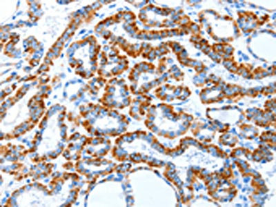
The image on the left is immunohistochemistry of paraffin-embedded Human thyroid cancer tissue using CSB-PA205006(TLR2 Antibody) at dilution 1/30, on the right is treated with fusion protein. (Original magnification: ×200)
Human toll-like receptor 2,TLR2 ELISA Kit (CSB-E11781h)
驗證數據
貨號:CSB-E11781h
規格:96T/48T
靈敏度:0.078 ng/mL
檢測范圍:0.312 ng/mL-20 ng/mL
These standard curves are provided for demonstration only. A standard curve should be generated for each set of samples assayed.
TLR2 Antibodies
TLR2 for Homo sapiens (Human)
| 產品貨號 | 產品名稱 | 種屬反應性 | 應用類型 |
|---|---|---|---|
| CSB-PA023601LD01HU | TLR2 Antibody, Biotin conjugated | Human | ELISA |
| CSB-PA023601LC01HU | TLR2 Antibody, FITC conjugated | Human | |
| CSB-PA023601LB01HU | TLR2 Antibody, HRP conjugated | Human | ELISA |
| CSB-PA023601LA01HU | TLR2 Antibody | Human | ELISA |
| CSB-PA080185 | TLR2 Antibody | Human,Mouse,Rat | IHC, ELISA |
| CSB-PA205006 | TLR2 Antibody | Human,Mouse | ELISA,IHC |
| CSB-PA183593 | TLR2 Antibody | Human,Mouse | ELISA,IHC |
TLR2 Proteins
TLR2 Proteins for Ovis aries (Sheep)
| 產品貨號 | 產品名稱 | 來源 |
|---|---|---|
| CSB-YP023601SH1 CSB-EP023601SH1 CSB-BP023601SH1 CSB-MP023601SH1 CSB-EP023601SH1-B |
Recombinant Sheep Toll-like receptor 2 (TLR2), partial | Yeast E.coli Baculovirus Mammalian cell In Vivo Biotinylation in E.coli |
| CSB-CF023601SH | Recombinant Sheep Toll-like receptor 2 (TLR2) | in vitro E.coli expression system |
TLR2 Proteins for Macaca mulatta (Rhesus macaque)
| 產品貨號 | 產品名稱 | 來源 |
|---|---|---|
| CSB-YP023601MOW1 CSB-EP023601MOW1 CSB-BP023601MOW1 CSB-MP023601MOW1 CSB-EP023601MOW1-B |
Recombinant Macaca mulatta (Rhesus macaque) Toll-like receptor 2 (TLR2), partial | Yeast E.coli Baculovirus Mammalian cell In Vivo Biotinylation in E.coli |
| CSB-CF023601MOW | Recombinant Macaca mulatta (Rhesus macaque) Toll-like receptor 2 (TLR2) | in vitro E.coli expression system |
TLR2 Proteins for Giraffa camelopardalis (Giraffe)
| 產品貨號 | 產品名稱 | 來源 |
|---|---|---|
| CSB-YP023601GGC1 CSB-EP023601GGC1 CSB-BP023601GGC1 CSB-MP023601GGC1 CSB-EP023601GGC1-B |
Recombinant Giraffa camelopardalis Toll-like receptor 2 (TLR2), partial | Yeast E.coli Baculovirus Mammalian cell In Vivo Biotinylation in E.coli |
| CSB-CF023601GGC | Recombinant Giraffa camelopardalis Toll-like receptor 2 (TLR2) | in vitro E.coli expression system |
TLR2 Proteins for Gorilla gorilla gorilla (Lowland gorilla)
| 產品貨號 | 產品名稱 | 來源 |
|---|---|---|
| CSB-YP023601GGZ1 CSB-EP023601GGZ1 CSB-BP023601GGZ1 CSB-MP023601GGZ1 CSB-EP023601GGZ1-B |
Recombinant Gorilla gorilla gorilla Toll-like receptor 2 (TLR2), partial | Yeast E.coli Baculovirus Mammalian cell In Vivo Biotinylation in E.coli |
| CSB-CF023601GGZ | Recombinant Gorilla gorilla gorilla Toll-like receptor 2 (TLR2) | in vitro E.coli expression system |
TLR2 Proteins for Capra ibex (Ibex)
| 產品貨號 | 產品名稱 | 來源 |
|---|---|---|
| CSB-YP023601CZZ1 CSB-EP023601CZZ1 CSB-BP023601CZZ1 CSB-MP023601CZZ1 CSB-EP023601CZZ1-B |
Recombinant Capra ibex Toll-like receptor 2 (TLR2), partial | Yeast E.coli Baculovirus Mammalian cell In Vivo Biotinylation in E.coli |
| CSB-CF023601CZZ | Recombinant Capra ibex Toll-like receptor 2 (TLR2) | in vitro E.coli expression system |
TLR2 Proteins for Bison bison (American bison) (Bos bison)
| 產品貨號 | 產品名稱 | 來源 |
|---|---|---|
| CSB-YP023601BTE1 CSB-EP023601BTE1 CSB-BP023601BTE1 CSB-MP023601BTE1 CSB-EP023601BTE1-B |
Recombinant Bison bison Toll-like receptor 2 (TLR2), partial | Yeast E.coli Baculovirus Mammalian cell In Vivo Biotinylation in E.coli |
| CSB-CF023601BTE | Recombinant Bison bison Toll-like receptor 2 (TLR2) | in vitro E.coli expression system |
TLR2 Proteins for Pan troglodytes (Chimpanzee)
| 產品貨號 | 產品名稱 | 來源 |
|---|---|---|
| CSB-YP023601EQV1 CSB-EP023601EQV1 CSB-BP023601EQV1 CSB-MP023601EQV1 CSB-EP023601EQV1-B |
Recombinant Pan troglodytes Toll-like receptor 2 (TLR2), partial | Yeast E.coli Baculovirus Mammalian cell In Vivo Biotinylation in E.coli |
| CSB-CF023601EQV | Recombinant Pan troglodytes Toll-like receptor 2 (TLR2) | in vitro E.coli expression system |
TLR2 Proteins for Pan paniscus (Pygmy chimpanzee) (Bonobo)
| 產品貨號 | 產品名稱 | 來源 |
|---|---|---|
| CSB-YP023601EQU1 CSB-EP023601EQU1 CSB-BP023601EQU1 CSB-MP023601EQU1 CSB-EP023601EQU1-B |
Recombinant Pan paniscus Toll-like receptor 2 (TLR2), partial | Yeast E.coli Baculovirus Mammalian cell In Vivo Biotinylation in E.coli |
| CSB-CF023601EQU | Recombinant Pan paniscus Toll-like receptor 2 (TLR2) | in vitro E.coli expression system |
TLR2 Proteins for Bos indicus (Zebu)
| 產品貨號 | 產品名稱 | 來源 |
|---|---|---|
| CSB-YP023601BUL1 CSB-EP023601BUL1 CSB-BP023601BUL1 CSB-MP023601BUL1 CSB-EP023601BUL1-B |
Recombinant Bos indicus Toll-like receptor 2 (TLR2), partial | Yeast E.coli Baculovirus Mammalian cell In Vivo Biotinylation in E.coli |
| CSB-CF023601BUL | Recombinant Bos indicus Toll-like receptor 2 (TLR2) | in vitro E.coli expression system |
TLR2 Proteins for Canis familiaris (Dog) (Canis lupus familiaris)
| 產品貨號 | 產品名稱 | 來源 |
|---|---|---|
| CSB-YP023601DO CSB-EP023601DO CSB-BP023601DO CSB-MP023601DO CSB-EP023601DO-B |
Recombinant Dog Toll-like receptor 2 (TLR2), partial | Yeast E.coli Baculovirus Mammalian cell In Vivo Biotinylation in E.coli |
TLR2 Proteins for Equus caballus (Horse)
| 產品貨號 | 產品名稱 | 來源 |
|---|---|---|
| CSB-YP023601HO CSB-EP023601HO CSB-BP023601HO CSB-MP023601HO CSB-EP023601HO-B |
Recombinant Horse Toll-like receptor 2 (TLR2), partial | Yeast E.coli Baculovirus Mammalian cell In Vivo Biotinylation in E.coli |
TLR2 Proteins for Bos taurus (Bovine)
| 產品貨號 | 產品名稱 | 來源 |
|---|---|---|
| CSB-YP023601BO CSB-EP023601BO CSB-BP023601BO CSB-MP023601BO CSB-EP023601BO-B |
Recombinant Bovine Toll-like receptor 2 (TLR2), partial | Yeast E.coli Baculovirus Mammalian cell In Vivo Biotinylation in E.coli |
TLR2 Proteins for Macaca fascicularis (Crab-eating macaque) (Cynomolgus monkey)
| 產品貨號 | 產品名稱 | 來源 |
|---|---|---|
| CSB-YP023601MOV CSB-EP023601MOV CSB-BP023601MOV CSB-MP023601MOV CSB-EP023601MOV-B |
Recombinant Macaca fascicularis Toll-like receptor 2 (TLR2), partial | Yeast E.coli Baculovirus Mammalian cell In Vivo Biotinylation in E.coli |
TLR2 Proteins for Cricetulus griseus (Chinese hamster) (Cricetulus barabensis griseus)
| 產品貨號 | 產品名稱 | 來源 |
|---|---|---|
| CSB-YP023601DXU CSB-EP023601DXU CSB-BP023601DXU CSB-MP023601DXU CSB-EP023601DXU-B |
Recombinant Cricetulus griseus Toll-like receptor 2 (TLR2), partial | Yeast E.coli Baculovirus Mammalian cell In Vivo Biotinylation in E.coli |
TLR2 Proteins for Mus musculus (Mouse)
| 產品貨號 | 產品名稱 | 來源 |
|---|---|---|
| CSB-YP023601MO CSB-EP023601MO CSB-BP023601MO CSB-MP023601MO CSB-EP023601MO-B |
Recombinant Mouse Toll-like receptor 2 (Tlr2), partial | Yeast E.coli Baculovirus Mammalian cell In Vivo Biotinylation in E.coli |
TLR2 Proteins for Capra hircus (Goat)
| 產品貨號 | 產品名稱 | 來源 |
|---|---|---|
| CSB-YP023601GO CSB-EP023601GO CSB-BP023601GO CSB-MP023601GO CSB-EP023601GO-B |
Recombinant Goat Toll-like receptor 2 (TLR2), partial | Yeast E.coli Baculovirus Mammalian cell In Vivo Biotinylation in E.coli |
TLR2 Proteins for Bubalus bubalis (Domestic water buffalo)
| 產品貨號 | 產品名稱 | 來源 |
|---|---|---|
| CSB-YP023601BWX CSB-EP023601BWX CSB-BP023601BWX CSB-MP023601BWX CSB-EP023601BWX-B |
Recombinant Bubalus bubalis Toll-like receptor 2 (TLR2) | Yeast E.coli Baculovirus Mammalian cell In Vivo Biotinylation in E.coli |
TLR2 Proteins for Boselaphus tragocamelus (Nilgai)
| 產品貨號 | 產品名稱 | 來源 |
|---|---|---|
| CSB-YP023601BUN CSB-EP023601BUN CSB-BP023601BUN CSB-MP023601BUN CSB-EP023601BUN-B |
Recombinant Boselaphus tragocamelus Toll-like receptor 2 (TLR2), partial | Yeast E.coli Baculovirus Mammalian cell In Vivo Biotinylation in E.coli |
TLR2 Proteins for Homo sapiens (Human)
| 產品貨號 | 產品名稱 | 來源 |
|---|---|---|
| CSB-EP023601HU1 | Recombinant Human Toll-like receptor 2 (TLR2), partial | E.coli |
| CSB-CF023601HU | Recombinant Human Toll-like receptor 2 (TLR2) | in vitro E.coli expression system |
TLR2 ELISA Kit
TLR2 ELISA Kit for Homo sapiens (Human)
| 產品貨號 | 產品名稱 | 樣本類型 | 靈敏度 |
|---|---|---|---|
| CSB-E11781h | Human toll-like receptor 2,TLR2 ELISA Kit | serum, plasma, tissue homogenates | 0.078 ng/mL |






