TGFB1
TGFB1,即轉化生長因子β1,別名DPD1、LAP等,是一種多功能細胞因子,具有廣泛的生物學功能,包括調控細胞生長、增殖、分化、凋亡、細胞運動、細胞外基質產生、血管生成和細胞免疫反應。TGFB1在許多生理和病理過程中發揮作用,如組織修復、胚胎發育、免疫調節以及腫瘤發生。其生物學意義在于通過Smad依賴和非依賴途徑,調節多種細胞過程,影響細胞行為和組織穩態。TGFB1的異常信號傳導與多種疾病的發生發展有關,包括腫瘤、纖維化疾病、心血管疾病和免疫性疾病等,TGFB1及其信號通路是生物醫學研究的重要靶點。
熱銷產品
Recombinant Human Transforming growth factor beta-1 proprotein (TGFB1), partial (CSB-EP023446HU1)
驗證數據
(Tris-Glycine gel) Discontinuous SDS-PAGE (reduced) with 5% enrichment gel and 15% separation gel.
TGFB1 Antibody (CSB-PA07309A0Rb)
驗證數據
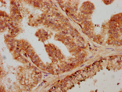
IHC image of CSB-PA07309A0Rb diluted at 1:600 and staining in paraffin-embedded human prostate cancer performed on a Leica BondTM system. After dewaxing and hydration, antigen retrieval was mediated by high pressure in a citrate buffer (pH 6.0). Section was blocked with 10% normal goat serum 30min at RT. Then primary antibody (1% BSA) was incubated at 4°C overnight. The primary is detected by a biotinylated secondary antibody and visualized using an HRP conjugated SP system.
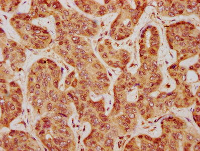
IHC image of CSB-PA07309A0Rb diluted at 1:600 and staining in paraffin-embedded human liver cancer performed on a Leica BondTM system. After dewaxing and hydration, antigen retrieval was mediated by high pressure in a citrate buffer (pH 6.0). Section was blocked with 10% normal goat serum 30min at RT. Then primary antibody (1% BSA) was incubated at 4°C overnight. The primary is detected by a biotinylated secondary antibody and visualized using an HRP conjugated SP system.
Human Transforming Growth factor β1,TGF-β1 ELISA kit (CSB-E04725h)
驗證數據
貨號:CSB-E04725h
規格:96T/48T
靈敏度:0.747 ng/mL
檢測范圍:0.78 ng/mL-50 ng/mL
These standard curves are provided for demonstration only. A standard curve should be generated for each set of samples assayed.
TGFB1 Antibodies
TGFB1 for Homo sapiens (Human)
| 產品貨號 | 產品名稱 | 種屬反應性 | 應用類型 |
|---|---|---|---|
| CSB-PA023446GA01HU | TGFB1 Antibody | Human,Mouse,Rat | ELISA,IHC |
| CSB-PA07309B0Rb | TGFB1 Antibody, HRP conjugated | Human | ELISA |
| CSB-PA07309D0Rb | TGFB1 Antibody, Biotin conjugated | Human | ELISA |
| CSB-PA07309A0Rb | TGFB1 Antibody | Human | ELISA, IHC |
| CSB-PA786987 | TGFB1 Antibody | Human,Mouse,Rat | ELISA,WB,IHC |
| CSB-PA004279 | TGFB1 Antibody | Human,Mouse,Rat | WB, IHC, IF, ELISA |
| CSB-PA080233 | TGFB1 Antibody | Human,Mouse,Rat | WB, IHC |
| CSB-PA080237 | TGFB1 Antibody | Human,Mouse,Rat | WB |
| CSB-PA697937 | TGFB1 Antibody | Human,Mouse,Rat | ELISA,WB,IHC |
| CSB-PA060587 | TGFB1 Antibody | Human,Mouse,Rat | ELISA,IHC |
TGFB1 for Bovine
| 產品貨號 | 產品名稱 | 種屬反應性 | 應用類型 |
|---|---|---|---|
| CSB-PA023446LA01BO | TGFB1 Antibody | Bovine | ELISA |
| CSB-PA023446LC01BO | TGFB1 Antibody, FITC conjugated | Bovine | |
| CSB-PA023446LD01BO | TGFB1 Antibody, Biotin conjugated | Bovine | ELISA |
TGFB1 for Chicken
| 產品貨號 | 產品名稱 | 種屬反應性 | 應用類型 |
|---|---|---|---|
| CSB-PA023446LA01CH | TGFB1 Antibody | Chicken | ELISA |
| CSB-PA023446LC01CH | TGFB1 Antibody, FITC conjugated | Chicken |
TGFB1 for Oncorhynchus mykiss
| 產品貨號 | 產品名稱 | 種屬反應性 | 應用類型 |
|---|---|---|---|
| CSB-PA023446LA01OEI | tgfb1 Antibody | Oncorhynchus mykiss, Human | ELISA, WB |
| CSB-PA023446LB01OEI | tgfb1 Antibody, HRP conjugated | Oncorhynchus mykiss | ELISA |
| CSB-PA023446LC01OEI | tgfb1 Antibody, FITC conjugated | Oncorhynchus mykiss | |
| CSB-PA023446LD01OEI | tgfb1 Antibody, Biotin conjugated | Oncorhynchus mykiss | ELISA |
TGFB1 for Mus musculus (Mouse)
| 產品貨號 | 產品名稱 | 種屬反應性 | 應用類型 |
|---|---|---|---|
| CSB-PA023446LA01MO | Tgfb1 Antibody | Mouse, Human | ELISA, WB, IP |
| CSB-PA023446LB01MO | Tgfb1 Antibody, HRP conjugated | Mouse | ELISA |
| CSB-PA023446LC01MO | Tgfb1 Antibody, FITC conjugated | Mouse | |
| CSB-PA023446LD01MO | Tgfb1 Antibody, Biotin conjugated | Mouse | ELISA |
TGFB1 Proteins
TGFB1 Proteins for Rattus norvegicus (Rat)
| 產品貨號 | 產品名稱 | 來源 |
|---|---|---|
| CSB-YP023446RA CSB-EP023446RA-B |
Recombinant Rat Transforming growth factor beta-1 proprotein (Tgfb1), partial | Yeast In Vivo Biotinylation in E.coli |
| CSB-EP023446RA | Recombinant Rat Transforming growth factor beta-1 proprotein (Tgfb1), partial | E.coli |
| CSB-BP023446RA | Recombinant Rat Transforming growth factor beta-1 proprotein (Tgfb1), partial | Baculovirus |
| CSB-MP023446RA | Recombinant Rat Transforming growth factor beta-1 proprotein (Tgfb1), partial | Mammalian cell |
| CSB-EP023446RAe1 | Recombinant Rat Transforming growth factor beta-1 proprotein (Tgfb1), partial | E.coli |
| CSB-EP023446RAa0 | Recombinant Rat Transforming growth factor beta-1 proprotein (Tgfb1), partial | E.coli |
TGFB1 Proteins for Bos taurus (Bovine)
| 產品貨號 | 產品名稱 | 來源 |
|---|---|---|
| CSB-YP023446BO CSB-BP023446BO CSB-MP023446BO CSB-EP023446BO-B |
Recombinant Bovine Transforming growth factor beta-1 proprotein (TGFB1), partial | Yeast Baculovirus Mammalian cell In Vivo Biotinylation in E.coli |
| CSB-EP023446BO | Recombinant Bovine Transforming growth factor beta-1 proprotein (TGFB1), partial | E.coli |
TGFB1 Proteins for Ovis aries (Sheep)
| 產品貨號 | 產品名稱 | 來源 |
|---|---|---|
| CSB-YP023446SH CSB-EP023446SH CSB-BP023446SH CSB-MP023446SH CSB-EP023446SH-B |
Recombinant Sheep Transforming growth factor beta-1 (TGFB1) | Yeast E.coli Baculovirus Mammalian cell In Vivo Biotinylation in E.coli |
TGFB1 Proteins for Canis familiaris (Dog) (Canis lupus familiaris)
| 產品貨號 | 產品名稱 | 來源 |
|---|---|---|
| CSB-YP023446DO CSB-EP023446DO CSB-BP023446DO CSB-MP023446DO CSB-EP023446DO-B |
Recombinant Dog Transforming growth factor beta-1 proprotein (TGFB1), partial | Yeast E.coli Baculovirus Mammalian cell In Vivo Biotinylation in E.coli |
TGFB1 Proteins for Mus musculus (Mouse)
| 產品貨號 | 產品名稱 | 來源 |
|---|---|---|
| CSB-YP023446MO CSB-BP023446MO CSB-EP023446MO-B |
Recombinant Mouse Transforming growth factor beta-1 proprotein (Tgfb1), partial | Yeast Baculovirus In Vivo Biotinylation in E.coli |
| CSB-AP004111MO | Recombinant Mouse Transforming growth factor beta-1 proprotein (Tgfb1), partial (Active) | Mammalian cell |
| CSB-EP023446MO | Recombinant Mouse Transforming growth factor beta-1 proprotein (Tgfb1), partial | E.coli |
TGFB1 Proteins for Homo sapiens (Human)
| 產品貨號 | 產品名稱 | 來源 |
|---|---|---|
| CSB-YP023446HU CSB-EP023446HU CSB-BP023446HU CSB-MP023446HU CSB-EP023446HU-B |
Recombinant Human Transforming growth factor beta-1 proprotein (TGFB1), partial | Yeast E.coli Baculovirus Mammalian cell In Vivo Biotinylation in E.coli |
| CSB-EP023446HU1 | Recombinant Human Transforming growth factor beta-1 proprotein (TGFB1), partial | E.coli |
| CSB-AP003861HU | Recombinant?Human?Transforming?growth?factor?beta-1?proprotein (TGFB1), partial? (Active) | Mammalian cell |
| CSB-MP023446HU(A4)(M) | Recombinant Human Transforming growth factor beta-1 proprotein (TGFB1) (C33S) | Mammalian cell |
| CSB-MP023446HU(A4) | Recombinant Human Transforming growth factor beta-1 proprotein (TGFB1) | Mammalian cell |
| CSB-MP023446HU-WD1 | Recombinant Human Transforming growth factor beta-1 proprotein (TGFB1),Partial (Active) | Mammalian cell |
| CSB-MP023446HU-WD2 | Recombinant Human Transforming growth factor beta-1 proprotein (TGFB1),Partial (Active) | Mammalian cell |
TGFB1 Proteins for Sus scrofa (Pig)
| 產品貨號 | 產品名稱 | 來源 |
|---|---|---|
| CSB-YP023446PI CSB-EP023446PI CSB-BP023446PI CSB-MP023446PI CSB-EP023446PI-B |
Recombinant Pig Transforming growth factor beta-1 (TGFB1) | Yeast E.coli Baculovirus Mammalian cell In Vivo Biotinylation in E.coli |
TGFB1 Proteins for Gallus gallus (Chicken)
| 產品貨號 | 產品名稱 | 來源 |
|---|---|---|
| CSB-YP023446CH CSB-BP023446CH CSB-MP023446CH CSB-EP023446CH-B |
Recombinant Chicken Transforming growth factor beta-1 (TGFB1), partial | Yeast Baculovirus Mammalian cell In Vivo Biotinylation in E.coli |
| CSB-EP023446CH | Recombinant Chicken Transforming growth factor beta-1 proprotein (TGFB1), partial | E.coli |
TGFB1 Proteins for Equus caballus (Horse)
| 產品貨號 | 產品名稱 | 來源 |
|---|---|---|
| CSB-YP023446HO CSB-EP023446HO CSB-BP023446HO CSB-MP023446HO CSB-EP023446HO-B |
Recombinant Horse Transforming growth factor beta-1 (TGFB1) | Yeast E.coli Baculovirus Mammalian cell In Vivo Biotinylation in E.coli |
TGFB1 Proteins for Xenopus laevis (African clawed frog)
| 產品貨號 | 產品名稱 | 來源 |
|---|---|---|
| CSB-YP023446XBE | Recombinant Xenopus laevis Transforming growth factor beta-1 (TGFB1) | Yeast |
| CSB-EP023446XBE | Recombinant Xenopus laevis Transforming growth factor beta-1 (tgfb1) | E.coli |
| CSB-BP023446XBE CSB-MP023446XBE CSB-EP023446XBE-B |
Recombinant Xenopus laevis Transforming growth factor beta-1 (TGFB1) | Baculovirus Mammalian cell In Vivo Biotinylation in E.coli |
TGFB1 Proteins for Chlorocebus aethiops (Green monkey) (Cercopithecus aethiops)
| 產品貨號 | 產品名稱 | 來源 |
|---|---|---|
| CSB-YP023446DSU CSB-EP023446DSU CSB-BP023446DSU CSB-MP023446DSU CSB-EP023446DSU-B |
Recombinant Chlorocebus aethiops Transforming growth factor beta-1 (TGFB1) | Yeast E.coli Baculovirus Mammalian cell In Vivo Biotinylation in E.coli |
TGFB1 Proteins for Oncorhynchus mykiss (Rainbow trout) (Salmo gairdneri)
| 產品貨號 | 產品名稱 | 來源 |
|---|---|---|
| CSB-YP023446OEI | Recombinant Oncorhynchus mykiss Transforming growth factor beta-1 (TGFB1) | Yeast |
| CSB-EP023446OEI CSB-BP023446OEI CSB-MP023446OEI CSB-EP023446OEI-B |
Recombinant Oncorhynchus mykiss Transforming growth factor beta-1 (TGFB1) | E.coli Baculovirus Mammalian cell In Vivo Biotinylation in E.coli |
TGFB1 Proteins for Mustela putorius furo (European domestic ferret) (Mustela furo)
| 產品貨號 | 產品名稱 | 來源 |
|---|---|---|
| CSB-YP654342MOH CSB-EP654342MOH CSB-BP654342MOH CSB-MP654342MOH CSB-EP654342MOH-B |
Recombinant Mustela putorius furo Transforming growth factor beta-1 (TGFB1) | Yeast E.coli Baculovirus Mammalian cell In Vivo Biotinylation in E.coli |
TGFB1 Proteins for Cyprinus carpio (Common carp)
| 產品貨號 | 產品名稱 | 來源 |
|---|---|---|
| CSB-YP889482EQE CSB-EP889482EQE CSB-BP889482EQE CSB-MP889482EQE CSB-EP889482EQE-B |
Recombinant Cyprinus carpio Transforming growth factor beta-1 (tgfb1) | Yeast E.coli Baculovirus Mammalian cell In Vivo Biotinylation in E.coli |
TGFB1 ELISA Kit
TGFB1 ELISA Kit for Bos taurus (Bovine)
| 產品貨號 | 產品名稱 | 樣本類型 | 靈敏度 |
|---|---|---|---|
| CSB-E14208B | Bovine transforming growth factor β1,TGF-β1 ELISA Kit | serum, plasma, cell culture supernates | 1.56 ng/mL |
TGFB1 ELISA Kit for Gallus gallus (Chicken)
| 產品貨號 | 產品名稱 | 樣本類型 | 靈敏度 |
|---|---|---|---|
| CSB-E09875Ch | Chicken Transforming Growth factor β1,TGF-β1 ELISA kit | serum, plasma, tissue homogenates | 0.078 ng/mL |
TGFB1 ELISA Kit for Canis lupus familiaris (Dog) (Canis familiaris)
| 產品貨號 | 產品名稱 | 樣本類型 | 靈敏度 |
|---|---|---|---|
| CSB-E04796c | Dog Transforming growth factor β1,TGF-β1 ELISA Kit | serum, plasma | 0.747 ng/ml |
TGFB1 ELISA Kit for Equus caballus (Horse)
| 產品貨號 | 產品名稱 | 樣本類型 | 靈敏度 |
|---|---|---|---|
| CSB-EL023446HO | Horse Transforming growth factor beta-1(TGFB1) ELISA kit | serum, plasma | 15.6 pg/mL |
TGFB1 ELISA Kit for Mus musculus (Mouse)
| 產品貨號 | 產品名稱 | 樣本類型 | 靈敏度 |
|---|---|---|---|
| CSB-E04726m | Mouse Transforming Growth factor β1,TGF-β1 ELISA kit | serum, plasma, cell culture supernates | 0.2 ng/mL |
TGFB1 ELISA Kit for Sus scrofa (Pig)
| 產品貨號 | 產品名稱 | 樣本類型 | 靈敏度 |
|---|---|---|---|
| CSB-E06843p | Pig transforming growth factor β1(TGF-β1)ELISA Kit | serum, plasma | 0.195 ng/mL |
TGFB1 ELISA Kit for Rattus norvegicus (Rat)
| 產品貨號 | 產品名稱 | 樣本類型 | 靈敏度 |
|---|---|---|---|
| CSB-E04727r | Rat Transforming Growth Factor β1(TGF-β1) ELISA kit | serum, plasma, cell culture supernates, tissue homogenates | 1.56 pg/mL |
TGFB1 ELISA Kit for Ovis aries (Sheep)
| 產品貨號 | 產品名稱 | 樣本類型 | 靈敏度 |
|---|---|---|---|
| CSB-EL023446SH | Sheep Transforming growth factor beta-1(TGFB1) ELISA kit | serum, plasma | 3.9 ng/mL |
TGFB1 ELISA Kit for Homo sapiens (Human)
| 產品貨號 | 產品名稱 | 樣本類型 | 靈敏度 |
|---|---|---|---|
| CSB-E04725h | Human Transforming Growth factor β1,TGF-β1 ELISA kit | serum, plasma, cell culture supernates | 0.747 ng/mL |
| CSB-E04725h-IS | Human Transforming Growth factor β1,TGF-β1 ELISA kit | serum, plasma, cell culture supernates | 5.8 pg/ml |






