TFRC
TFRC,全稱轉鐵蛋白受體1,也被稱為CD71、TFR1、p90。該蛋白在細胞表面以同源二聚體的形式存在,對細胞生長至關重要。TFRC的主要功能是促進細胞鐵的吸收,通過受體介導的內吞作用將鐵離子從轉鐵蛋白中釋放到細胞內,從而維持細胞內鐵穩態。TFRC在多種腫瘤中高表達,并且與腫瘤的發生、侵襲和轉移有關,是一種重要的癌基因。其表達程度與疾病的惡性程度相關,過表達可促進腫瘤細胞生長、增殖和轉移,因此成為開發抗體偶聯藥物的新靶點。目前,全球已有多款針對TFRC的藥物進入臨床試驗階段,藥物類型涉及單抗、雙抗、融合蛋白、ADC等,其中Avidity的AOC-1001是全球首款AOC藥物,已進入臨床二期。此外,TFRC還參與了T細胞的激活過程,為T細胞的激活提供了所需的第二刺激信號,抗TFR1抗體有望成為研究淋巴細胞活化的一種新的高選擇性探針。
熱銷產品
Recombinant Human Transferrin receptor protein 1 (TFRC), partial (Active) (CSB-MP3648HU)
驗證數據
(Tris-Glycine gel) Discontinuous SDS-PAGE (reduced) with 5% enrichment gel and 15% separation gel.
Activity
Measured by its binding ability in a functional ELISA. Immobilized Human TFRC at 2μg/mL can bind Anti-TFRC recombinant antibody (CSB-RA023441MA1HU), the EC50 is 3.305-8.220 ng/mL.
Activity
Measured by its binding ability in a functional ELISA. Immobilized Human TFRC at 2 μg/ml can bind Human TF (CSB-MP023412HU). The EC50 is 33.20-40.09 ng/mL.
TFRC Recombinant Monoclonal Antibody (CSB-RA023441MA1HU) captured on Protein A Chip can bind Recombinant Human TFRC protein with an affinity constant of 0.117 nM as detected by MetaSPR Assay (WeSPRTM 200).
TFRC Antibody (CSB-PA07219A0Rb)
驗證數據
Western Blot
Positive WB detected in: Hela whole cell lysate, K562 whole cell lysate, PC-3 whole cell lysate, HEK293 whole cell lysate, MCF7 whole cell lysate
All lanes: TFRC antibody at 1:5000
Secondary
Goat polyclonal to rabbit IgG at 1/50000 dilution
Predicted band size: 85 kDa
Observed band size: 85 kDa
IHC image of CSB-PA07219A0Rb diluted at 1:150 and staining in paraffin-embedded Human lung tissue performed on a Leica BondTM system. After dewaxing and hydration, antigen retrieval was mediated by high pressure in a citrate buffer (pH 6.0). Section was blocked with 10% normal goat serum 30min at RT. Then primary antibody (1% BSA) was incubated at 4°C overnight. The primary is detected by a Goat anti-rabbit polymer IgG labeled by HRP and visualized using 0.05% DAB.
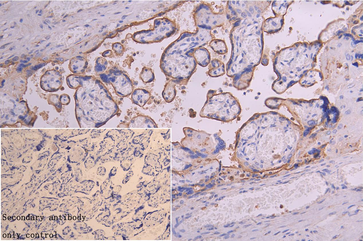
IHC image of CSB-PA07219A0Rb diluted at 1:150 and staining in paraffin-embedded human placenta tissue performed on a Leica BondTM system. After dewaxing and hydration, antigen retrieval was mediated by high pressure in a citrate buffer (pH 6.0). Section was blocked with 10% normal goat serum 30min at RT. Then primary antibody (1% BSA) was incubated at 4°C overnight. The primary is detected by a Goat anti-rabbit polymer IgG labeled by HRP and visualized using 0.05% DAB.
Immunofluorescence staining of HepG2 cell with CSB-PA07219A0Rb at 1:15, counter-stained with DAPI. The cells were fixed in 4% formaldehyde and blocked in 10% normal Goat Serum. The cells were then incubated with the antibody overnight at 4C. The secondary antibody was Alexa Fluor 488-congugated AffiniPure Goat Anti-Rabbit IgG(H+L).
Immunofluorescence staining of HepG2 cell with 5% goat serum, counter-stained with DAPI. The cells were fixed in 4% formaldehyde and blocked in 10% normal Goat Serum. The cells were then incubated with the antibody overnight at 4C. The secondary antibody was Alexa Fluor 488-congugated AffiniPure Goat Anti-Rabbit IgG(H+L).
Human soluble transferrin receptor,sTfR ELISA Kit (CSB-E09100h)
驗證數據
貨號:CSB-E09100h
規格:96T/48T
靈敏度:Request Information
檢測范圍:Request Information
These standard curves are provided for demonstration only. A standard curve should be generated for each set of samples assayed.
TFRC Antibodies
TFRC for Homo sapiens (Human)
| 產品貨號 | 產品名稱 | 種屬反應性 | 應用類型 |
|---|---|---|---|
| CSB-PA023441GA01HU | TFRC Antibody | Human,Mouse,Rat | ELISA,WB,IHC |
| CSB-PA07219B0Rb | TFRC Antibody, HRP conjugated | Human | ELISA |
| CSB-PA07219D0Rb | TFRC Antibody, Biotin conjugated | Human | ELISA |
| CSB-PA07219A0Rb | TFRC Antibody | Human | ELISA, WB, IHC, IF |
| CSB-PA001477 | TFRC Antibody | Human,Mouse | WB, IHC, ELISA |
| CSB-PA005607 | TFRC Antibody | Human | WB, ELISA |
| CSB-PA010092 | Phospho-TFRC (S24) Antibody | Human,Mouse | WB, IHC, ELISA |
| CSB-PA104885 | TFRC Antibody | Human,Mouse,Rat | ELISA,WB,IHC |
| CSB-PA834425 | TFRC Antibody | Human,Mouse,Rat | ELISA,WB,IHC |
| CSB-RA023441MA1HU | TFRC Recombinant Monoclonal Antibody | Human | ELISA |
TFRC Proteins
TFRC Proteins for Equus caballus (Horse)
| 產品貨號 | 產品名稱 | 來源 |
|---|---|---|
| CSB-YP651210HO CSB-EP651210HO CSB-BP651210HO CSB-MP651210HO CSB-EP651210HO-B |
Recombinant Horse Transferrin receptor protein 1 (TFRC), partial | Yeast E.coli Baculovirus Mammalian cell In Vivo Biotinylation in E.coli |
TFRC Proteins for Pongo abelii (Sumatran orangutan)
| 產品貨號 | 產品名稱 | 來源 |
|---|---|---|
| CSB-YP719275PYX CSB-EP719275PYX CSB-BP719275PYX CSB-MP719275PYX CSB-EP719275PYX-B |
Recombinant Pongo abelii Transferrin receptor protein 1 (TFRC), partial | Yeast E.coli Baculovirus Mammalian cell In Vivo Biotinylation in E.coli |
TFRC Proteins for Mus musculus (Mouse)
| 產品貨號 | 產品名稱 | 來源 |
|---|---|---|
| CSB-YP726792MO CSB-BP726792MO CSB-MP726792MO CSB-EP726792MO-B |
Recombinant Mouse Transferrin receptor protein 1 (Tfrc), partial | Yeast Baculovirus Mammalian cell In Vivo Biotinylation in E.coli |
TFRC Proteins for Sus scrofa (Pig)
| 產品貨號 | 產品名稱 | 來源 |
|---|---|---|
| CSB-YP816838PI CSB-BP816838PI CSB-MP816838PI CSB-EP816838PI-B |
Recombinant Pig Transferrin receptor protein 1 (TFRC), partial | Yeast Baculovirus Mammalian cell In Vivo Biotinylation in E.coli |
TFRC Proteins for Gallus gallus (Chicken)
| 產品貨號 | 產品名稱 | 來源 |
|---|---|---|
| CSB-YP856194CH CSB-EP856194CH CSB-BP856194CH CSB-MP856194CH CSB-EP856194CH-B |
Recombinant Chicken Transferrin receptor protein 1 (TFRC), partial | Yeast E.coli Baculovirus Mammalian cell In Vivo Biotinylation in E.coli |
TFRC Proteins for Rattus norvegicus (Rat)
| 產品貨號 | 產品名稱 | 來源 |
|---|---|---|
| CSB-YP858708RA1 CSB-BP858708RA1 CSB-MP858708RA1 CSB-EP858708RA1-B |
Recombinant Rat Transferrin receptor protein 1 (Tfrc), partial | Yeast Baculovirus Mammalian cell In Vivo Biotinylation in E.coli |
TFRC Proteins for Canis familiaris (Dog) (Canis lupus familiaris)
| 產品貨號 | 產品名稱 | 來源 |
|---|---|---|
| CSB-YP867082DO CSB-BP867082DO CSB-MP867082DO CSB-EP867082DO-B |
Recombinant Dog Transferrin receptor protein 1 (TFRC), partial | Yeast Baculovirus Mammalian cell In Vivo Biotinylation in E.coli |
TFRC Proteins for Felis catus (Cat) (Felis silvestris catus)
| 產品貨號 | 產品名稱 | 來源 |
|---|---|---|
| CSB-YP882000CA CSB-EP882000CA CSB-BP882000CA CSB-MP882000CA CSB-EP882000CA-B |
Recombinant Cat Transferrin receptor protein 1 (TFRC), partial | Yeast E.coli Baculovirus Mammalian cell In Vivo Biotinylation in E.coli |
TFRC Proteins for Mus musculus(Mouse)
| 產品貨號 | 產品名稱 | 來源 |
|---|---|---|
| CSB-EP726792MO | Recombinant Mouse Transferrin receptor protein 1 (Tfrc), partial | E.coli |
TFRC Proteins for Homo sapiens (Human)
| 產品貨號 | 產品名稱 | 來源 |
|---|---|---|
| CSB-MP3648HU | Recombinant Human Transferrin receptor protein 1 (TFRC), partial (Active) | Mammalian cell |
TFRC ELISA Kit
TFRC ELISA Kit for Mus musculus (Mouse)
| 產品貨號 | 產品名稱 | 樣本類型 | 靈敏度 |
|---|---|---|---|
| CSB-E08389m | Mouse transferrin receptor,TFR ELISA Kit | serum, plasma, tissue homogenates | 0.156 ng/mL |
TFRC ELISA Kit for Homo sapiens (Human)
| 產品貨號 | 產品名稱 | 樣本類型 | 靈敏度 |
|---|---|---|---|
| CSB-E09100h | Human soluble transferrin receptor,sTfR ELISA Kit | serum, plasma | Request Information |






