TAOK1
TAOK1,全稱為TAO kinase 1,常見別名包括MAP3K4、MEKK4蛋白、ARAF蛋白等。該蛋白參與細胞增殖、凋亡、遷移和形態變化等多種生物學過程,與微管穩定性密切相關,其活性變化會影響有絲分裂進程。TAOK1蛋白在多種細胞信號通路中發揮關鍵作用,例如MAPK級聯反應和Hippo信號通路。研究發現TAOK1過表達會異常激活JNK和p38 MAPK通路,導致細胞凋亡增加或遷移能力增強,與某些癌癥的進展相關;而TAOK1表達降低則可能破壞Hippo通路,引起YAP/TAZ信號異常激活,促進細胞過度增殖。TAOK1蛋白的突變可能導致其激酶活性異常,與多種神經系統疾病相關,如自閉癥譜系障礙和精神分裂癥。目前,TAOK1蛋白已被認為是潛在的治療靶點,特別是在神經退行性疾病和癌癥領域,多個針對TAOK1蛋白的抑制劑和激活劑正在研發中,展現出其在疾病治療中的巨大潛力。
熱銷產品
TAOK1 Antibody (CSB-PA752101LA01HU)
驗證數據
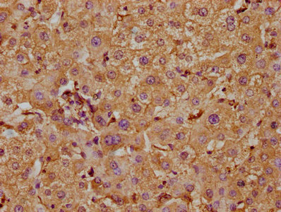
IHC image of CSB-PA752101LA01HU diluted at 1:300 and staining in paraffin-embedded human liver tissue performed on a Leica BondTM system. After dewaxing and hydration, antigen retrieval was mediated by high pressure in a citrate buffer (pH 6.0). Section was blocked with 10% normal goat serum 30min at RT. Then primary antibody (1% BSA) was incubated at 4°C overnight. The primary is detected by a biotinylated secondary antibody and visualized using an HRP conjugated SP system.
Immunofluorescence staining of Hela cells with CSB-PA752101LA01HU at 1:100, counter-stained with DAPI. The cells were fixed in 4% formaldehyde, permeabilized using 0.2% Triton X-100 and blocked in 10% normal Goat Serum. The cells were then incubated with the antibody overnight at 4°C. The secondary antibody was Alexa Fluor 488-congugated AffiniPure Goat Anti-Rabbit IgG(H+L).
Western Blot
Positive WB detected in: A549 whole cell lysate, U251 whole cell lysate, SH-SY5Y whole cell lysate, 293 whole cell lysate
All lanes: TAOK1 antibody at 1:2000
Secondary
Goat polyclonal to rabbit IgG at 1/50000 dilution
Predicted band size: 117, 47, 98 kDa
Observed band size: 117 kDa
TAOK1 Antibodies
TAOK1 for Homo sapiens (Human)
| 產品貨號 | 產品名稱 | 種屬反應性 | 應用類型 |
|---|---|---|---|
| CSB-PA040090 | TAOK1 Antibody | Human,Mouse,Rat | WB, IHC, ELISA |
| CSB-PA752101LA01HU | TAOK1 Antibody | Human | ELISA, WB, IHC, IF |
| CSB-PA752101LB01HU | TAOK1 Antibody, HRP conjugated | Human | ELISA |
| CSB-PA752101LC01HU | TAOK1 Antibody, FITC conjugated | Human |
TAOK1 Proteins
TAOK1 Proteins for Rattus norvegicus (Rat)
| 產品貨號 | 產品名稱 | 來源 |
|---|---|---|
| CSB-YP023117RA CSB-EP023117RA CSB-BP023117RA CSB-MP023117RA CSB-EP023117RA-B |
Recombinant Rat Serine/threonine-protein kinase TAO1 (Taok1), partial | Yeast E.coli Baculovirus Mammalian cell In Vivo Biotinylation in E.coli |
TAOK1 Proteins for Mus musculus (Mouse)
| 產品貨號 | 產品名稱 | 來源 |
|---|---|---|
| CSB-YP701871MO CSB-EP701871MO CSB-BP701871MO CSB-MP701871MO CSB-EP701871MO-B |
Recombinant Mouse Serine/threonine-protein kinase TAO1 (Taok1), partial | Yeast E.coli Baculovirus Mammalian cell In Vivo Biotinylation in E.coli |
TAOK1 Proteins for Homo sapiens (Human)
| 產品貨號 | 產品名稱 | 來源 |
|---|---|---|
| CSB-YP752101HU CSB-EP752101HU CSB-BP752101HU CSB-MP752101HU CSB-EP752101HU-B |
Recombinant Human Serine/threonine-protein kinase TAO1 (TAOK1), partial | Yeast E.coli Baculovirus Mammalian cell In Vivo Biotinylation in E.coli |






