SYNJ2BP
SYNJ2BP,全稱為Synaptojanin 2 Binding Protein,在神經元中高度表達,尤其在突觸前末端,對維持突觸結構和功能穩定性至關重要。該蛋白通過與Synaptojanin 2(SYNJ2)相互作用,影響磷酸肌醇代謝,從而調節神經遞質釋放和突觸傳遞效率。SYNJ2BP的異常表達可能影響突觸囊泡的循環,導致神經信號傳遞異常。若該基因過表達,可能干擾正常的突觸可塑性,影響學習與記憶功能;而表達降低則可能導致突觸退化,加劇神經退行性病變。SYNJ2BP還可能通過影響線粒體功能間接調控神經元存活。其表達水平的變化可能影響其他突觸相關基因(如SYNJ2、DNM1)的功能,進一步干擾神經網絡的穩定性。
SYNJ2BP的異常表達可能影響突觸囊泡的循環,導致神經信號傳遞異常,進而與神經退行性疾病(如阿爾茨海默病)和精神障礙(如精神分裂癥)有一定關聯。目前針對SYNJ2BP的研究仍在深入,以明確其在神經系統疾病中的具體作用機制。
熱銷產品
SYNJ2BP Antibody (CSB-PA023018LA01HU)
驗證數據
Immunoprecipitating SYNJ2BP in Rat kidney tissue
Lane 1: Rabbit control IgG instead of CSB-PA023018LA01HU in Rat kidney tissue. For western blotting, a HRP-conjugated light chain specific antibody was used as the secondary antibody (1/50000)
Lane 2: CSB-PA023018LA01HU (6µg) + Rat kidney tissue (500µg)
Lane 3: Rat kidney tissue (20µg)
Western blot
All lanes: SYNJ2BP antibody at 3µg/ml
Lane 1: MCF-7 whole cell lysate
Lane 2: U251 whole cell lysate
Lane 3: Caco-2 whole cell lysate
Secondary
Goat polyclonal to rabbit IgG at 1/10000 dilution
Predicted band size: 16 kDa
Observed band size: 16 kDa
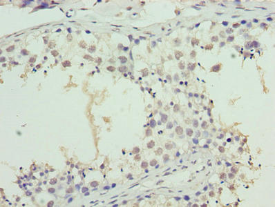
Immunohistochemistry of paraffin-embedded human testis tissue using CSB-PA023018LA01HU at dilution of 1:100
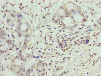
Immunohistochemistry of paraffin-embedded human pancreatic cancer using CSB-PA023018LA01HU at dilution of 1:100
Western Blot
Positive WB detected in: Rat kidney tissue
All lanes: SYNJ2BP antibody at 2.8μg/ml
Secondary
Goat polyclonal to rabbit IgG at 1/50000 dilution
Predicted band size: 16 kDa
Observed band size: 16 kDa
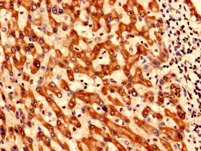
Immunohistochemistry analysis of human liver cancer using CSB-PA023018LA01HU at dilution of 1:100
SYNJ2BP Antibodies
SYNJ2BP for Homo sapiens (Human)
| 產品貨號 | 產品名稱 | 種屬反應性 | 應用類型 |
|---|---|---|---|
| CSB-PA023018GA01HU | SYNJ2BP Antibody | Human,Mouse,Rat | ELISA,WB,IHC,IF |
| CSB-PA023018LA01HU | SYNJ2BP Antibody | Human, Rat | ELISA, WB, IHC, IP |
| CSB-PA023018LB01HU | SYNJ2BP Antibody, HRP conjugated | Human | ELISA |
| CSB-PA023018LC01HU | SYNJ2BP Antibody, FITC conjugated | Human |
SYNJ2BP Proteins
SYNJ2BP Proteins for Homo sapiens (Human)
| 產品貨號 | 產品名稱 | 來源 |
|---|---|---|
| CSB-YP023018HU CSB-EP023018HU CSB-BP023018HU CSB-MP023018HU CSB-EP023018HU-B |
Recombinant Human Synaptojanin-2-binding protein (SYNJ2BP) | Yeast E.coli Baculovirus Mammalian cell In Vivo Biotinylation in E.coli |






