STMN2
STMN2,別名SCG10、SCGN10。它是一種由人類基因編碼的微管相關蛋白,屬于磷酸蛋白家族。STMN2在多種組織中表達,尤其在大腦和腎上腺中表達量較高。STMN2的作用機制涉及微管動力學和信號轉導,它通過影響微管的穩定性來調控細胞周期、細胞遷移、信號傳導和轉運蛋白的功能。STMN2在神經元生長中起到調節作用,并被認為參與骨生成。STMN2的表達減少與唐氏綜合癥和阿爾茨海默病有關。STMN2的不同剪接轉錄變異體已被觀察到,并且該基因的一個假基因位于染色體6的長臂上。STMN2在軸突發育和修復中起主要作用,促進正常軸突生長和再生所必需的微管不穩定性,其表達受到核反式反應DNA結合蛋白43 kDa (TDP-43)的強烈調控。
熱銷產品
Recombinant Human Stathmin-2 (STMN2) (CSB-EP853100HU)
驗證數據
(Tris-Glycine gel) Discontinuous SDS-PAGE (reduced) with 5% enrichment gel and 15% separation gel.
STMN2 Antibody (CSB-PA853100LA01HU)
驗證數據
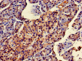
Immunohistochemistry of paraffin-embedded human pancreatic tissue using CSB-PA853100LA01HU at dilution of 1:100
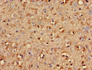
Immunohistochemistry of paraffin-embedded human brain tissue using CSB-PA853100LA01HU at dilution of 1:100
Immunofluorescent analysis of A549 cells using CSB-PA853100LA01HU at dilution of 1:100 and Alexa Fluor 488-congugated AffiniPure Goat Anti-Rabbit IgG(H+L)
STMN2 Antibodies
STMN2 for Homo sapiens (Human)
| 產品貨號 | 產品名稱 | 種屬反應性 | 應用類型 |
|---|---|---|---|
| CSB-PA022858GA01HU | STMN2 Antibody | Human,Mouse,Rat | ELISA,WB,IHC |
| CSB-PA004704 | STMN2 Antibody | Human,Mouse,Rat | WB, ELISA |
| CSB-PA006764 | Phospho-STMN2 (S73) Antibody | Human,Mouse,Rat | IHC, ELISA |
| CSB-PA853100LA01HU | STMN2 Antibody | Human | ELISA, IHC, IF |
| CSB-PA853100LB01HU | STMN2 Antibody, HRP conjugated | Human | ELISA |
| CSB-PA853100LC01HU | STMN2 Antibody, FITC conjugated | Human | |
| CSB-PA853100LD01HU | STMN2 Antibody, Biotin conjugated | Human | ELISA |
STMN2 Proteins
STMN2 Proteins for Homo sapiens (Human)
| 產品貨號 | 產品名稱 | 來源 |
|---|---|---|
| CSB-YP853100HU CSB-BP853100HU CSB-MP853100HU CSB-EP853100HU-B |
Recombinant Human Stathmin-2 (STMN2) | Yeast Baculovirus Mammalian cell In Vivo Biotinylation in E.coli |
| CSB-EP853100HU | Recombinant Human Stathmin-2 (STMN2) | E.coli |






