ST14
ST14,全稱為ST14跨膜絲氨酸蛋白酶matriptase,是一種在人體多種組織中表達的蛋白。它也被稱為epithin、HAI、MTSP1、SNC19、ARCI11、MT-SP1、PRSS14、TADG15和TMPRSS14等。這種蛋白主要存在于上皮細胞中,并與Kunitz型絲氨酸蛋白酶抑制劑HAI-1形成復合物。ST14蛋白具有多種生物學功能,包括參與細胞信號轉導、細胞增殖、凋亡和腫瘤發生等過程。
ST14蛋白的表達與多種癌癥的發生發展密切相關,如乳腺癌、結腸癌、前列腺癌和卵巢癌等。此外,ST14蛋白還與一些自身免疫性疾病和神經退行性疾病有關。基于ST14蛋白的這些特性,研究人員已經開發了多種針對ST14蛋白的藥物,用于癌癥治療和自身免疫性疾病的治療。例如,一些小分子抑制劑可以抑制ST14蛋白的活性,從而阻止腫瘤細胞的增殖和轉移。此外,一些抗體藥物可以靶向ST14蛋白,從而激活人體的免疫系統來攻擊腫瘤細胞。目前,這些藥物仍處于臨床研究階段,但已經顯示出良好的治療效果。
熱銷產品
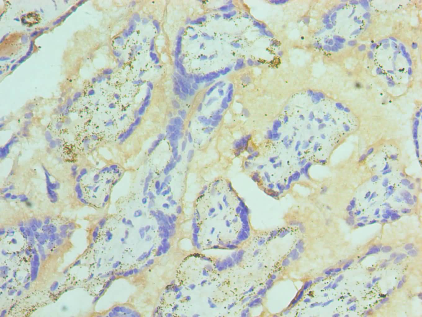
ST14 Antibody (CSB-PA022746ESR1HU)
驗證數據
Immunohistochemistry of paraffin-embedded human placenta tissue using CSB-PA022746ESR1HU at dilution of 1:100
ST14 Antibodies
ST14 for Homo sapiens (Human)
| 產品貨號 | 產品名稱 | 種屬反應性 | 應用類型 |
|---|---|---|---|
| CSB-PA022746ESR1HU | ST14 Antibody | Human | ELISA, IHC |
| CSB-PA022746ESR2HU | ST14 Antibody | Human | ELISA |
| CSB-PA003199 | ST14 Antibody | Human | WB, IF, ELISA |
| CSB-PA679683 | ST14 Antibody | Human,Mouse | ELISA,IHC |






