SREBF2
SREBF2,即固醇調節元件結合蛋白2,別名包括BHLHD2。SREBF2是一種關鍵的轉錄因子,主要在內質網膜上定位,通過感應膽固醇水平的變化來調節膽固醇代謝相關基因的表達。SREBP2的作用機制涉及其在內質網中的感受膽固醇變化,當膽固醇水平降低時,SREBP2從前體蛋白中被切割激活,然后轉移到細胞核內,與固醇調節元件(SRE)結合,激活下游基因的轉錄,這些基因包括低密度脂蛋白受體(LDLR)、3-羥基-3-甲基戊二酰輔酶A還原酶(HMGCR)等,從而調節細胞內膽固醇的合成和攝取。SREBP2是維持膽固醇穩態的關鍵調控因子,對于細胞功能和機體健康至關重要。SREBP2的異常表達或活性失調可能導致多種代謝性疾病,包括動脈粥樣硬化、非酒精性脂肪肝病(NAFLD)等。
熱銷產品
SREBF2 Antibody (CSB-PA666241LA01HU)
驗證數據
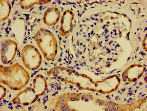
Immunohistochemistry of paraffin-embedded human kidney tissue using CSB-PA666241LA01HU at dilution of 1:100
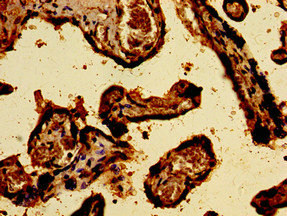
Immunohistochemistry of paraffin-embedded human placenta tissue using CSB-PA666241LA01HU at dilution of 1:100
Immunofluorescence staining of Hela cells with CSB-PA666241LA01HU at 1:66, counter-stained with DAPI. The cells were fixed in 4% formaldehyde, permeabilized using 0.2% Triton X-100 and blocked in 10% normal Goat Serum. The cells were then incubated with the antibody overnight at 4°C. The secondary antibody was Alexa Fluor 488-congugated AffiniPure Goat Anti-Rabbit IgG(H+L).
SREBF2 Antibodies
SREBF2 for Homo sapiens (Human)
| 產品貨號 | 產品名稱 | 種屬反應性 | 應用類型 |
|---|---|---|---|
| CSB-PA022658GA01HU | SREBF2 Antibody | Human,Mouse,Rat | ELISA,WB,IHC |
| CSB-PA552311 | SREBF2 Antibody | Human,Mouse,Rat | ELISA,IHC |
| CSB-PA549727 | SREBF2 Antibody | Human,Mouse,Rat | ELISA,IHC |
| CSB-PA666241LA01HU | SREBF2 Antibody | Human | ELISA, IHC, IF |
| CSB-PA666241LC01HU | SREBF2 Antibody, FITC conjugated | Human | |
| CSB-PA666241LD01HU | SREBF2 Antibody, Biotin conjugated | Human | ELISA |
SREBF2 Proteins
SREBF2 Proteins for Homo sapiens (Human)
| 產品貨號 | 產品名稱 | 來源 |
|---|---|---|
| CSB-YP621515HU1 CSB-EP621515HU1 CSB-BP621515HU1 CSB-MP621515HU1 CSB-EP621515HU1-B |
Recombinant Human Sterol regulatory element-binding protein 2 (SREBF2), partial | Yeast E.coli Baculovirus Mammalian cell In Vivo Biotinylation in E.coli |
| CSB-CF621515HU | Recombinant Human Sterol regulatory element-binding protein 2 (SREBF2), partial | in vitro E.coli expression system |






