SPINT1
SPINT1,全稱為絲氨酸肽酶抑制劑1(Serine Peptidase Inhibitor 1),是一種重要的蛋白酶抑制劑,屬于Kunitz型絲氨酸蛋白酶抑制劑家族。該蛋白在調節細胞外基質的重塑和組織修復中發揮著關鍵作用,通過抑制肝細胞生長因子激活劑(HGFA)和其他蛋白酶來達到這一目的。SPINT1蛋白在多種生理過程中都扮演著重要角色,包括細胞生長、組織修復和癌癥發展等。研究表明,SPINT1蛋白的表達水平與多種疾病的發生發展密切相關,如糖尿病、自身免疫性疾病等。在糖尿病領域,SPINT1蛋白的表達量在糖尿病前期患者的胰島中顯著增加,提示其可能參與了糖尿病的發生發展過程。此外,SPINT1蛋白還與自身免疫性疾病的發病機制有關,如銀屑病、炎癥性腸病等。針對SPINT1蛋白的藥物研發正在積極開展中,例如,有研究者在探索SPINT1蛋白作為糖尿病治療靶點的可能性,并取得了一定的進展。此外,SPINT1蛋白也被認為是自身免疫性疾病治療的新靶點,相關藥物的研發有望為這些疾病的治療提供新的選擇。
熱銷產品
SPINT1 Antibody (CSB-PA022584ESR1HU)
驗證數據
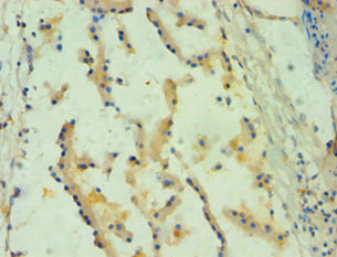
Immunohistochemistry of paraffin-embedded human breast cancer using CSB-PA022584ESR1HU at dilution of 1:100
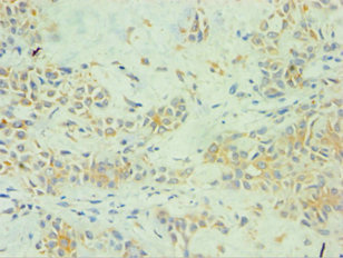
Immunohistochemistry of paraffin-embedded human prostate tissue using CSB-PA022584ESR1HU at dilution of 1:100
Human Kunitz-type protease inhibitor 1(SPINT1) ELISA kit (CSB-EL022584HU)
驗證數據
貨號:CSB-EL022584HU
規格:96T/48T
靈敏度:0.156ng/ml
檢測范圍:0.625 ng/ml-40 ng/ml
These standard curves are provided for demonstration only. A standard curve should be generated for each set of samples assayed.
SPINT1 Antibodies
SPINT1 for Homo sapiens (Human)
| 產品貨號 | 產品名稱 | 種屬反應性 | 應用類型 |
|---|---|---|---|
| CSB-PA022584GA01HU | SPINT1 Antibody | Human,Mouse,Rat | ELISA,WB,IHC |
| CSB-PA022584ESR1HU | SPINT1 Antibody | Human | ELISA, IHC |
| CSB-PA573580 | SPINT1 Antibody | Human,Mouse | ELISA,IHC |
SPINT1 Proteins
SPINT1 Proteins for Homo sapiens (Human)
| 產品貨號 | 產品名稱 | 來源 |
|---|---|---|
| CSB-YP022584HU CSB-EP022584HU CSB-BP022584HU CSB-MP022584HU CSB-EP022584HU-B |
Recombinant Human Kunitz-type protease inhibitor 1 (SPINT1) | Yeast E.coli Baculovirus Mammalian cell In Vivo Biotinylation in E.coli |
SPINT1 ELISA Kit
SPINT1 ELISA Kit for Homo sapiens (Human)
| 產品貨號 | 產品名稱 | 樣本類型 | 靈敏度 |
|---|---|---|---|
| CSB-EL022584HU | Human Kunitz-type protease inhibitor 1(SPINT1) ELISA kit | serum, plasma, tissuehomogenates. | 0.156ng/ml |






