SLC30A8
SLC30A8,也被稱為鋅轉運蛋白8。該蛋白主要在胰島β細胞中表達,負責將鋅離子轉運至胰島素分泌顆粒中,參與胰島素的合成、儲存和分泌過程。研究表明,ZnT8蛋白的功能失活可通過增強胰島素分泌預防糖尿病。例如,SLC30A8基因的罕見功能缺失等位基因p.Arg138*在芬蘭西部富集,可預防2型糖尿病。研究發現,該等位基因導致SLC30A8表達減少,進而增加葡萄糖反應性和胰島素原轉換,從而預防糖尿病。此外,ZnT8蛋白也被認為是2型糖尿病中維持胰島素分泌能力的治療靶點。目前,研究人員正在探索抑制ZnT8蛋白功能的藥物,以預防或治療2型糖尿病。
熱銷產品
Recombinant Human Proton-coupled zinc antiporter SLC30A8 (SLC30A8) (CSB-CF818247HU)
驗證數據
(Tris-Glycine gel) Discontinuous SDS-PAGE (reduced) with 5% enrichment gel and 15% separation gel.
SLC30A8 Antibody (CSB-PA818247LA01HU)
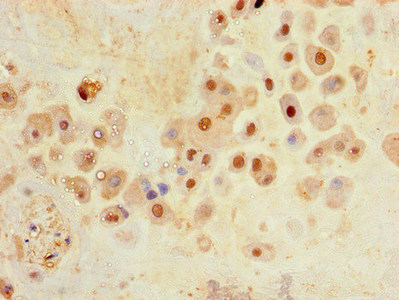
驗證數據
Immunohistochemistry of paraffin-embedded human placenta tissue using CSB-PA818247LA01HU at dilution of 1:100
Immunofluorescent analysis of HepG2 cells using CSB-PA818247LA01HU at dilution of 1:100 and Alexa Fluor 488-congugated AffiniPure Goat Anti-Rabbit IgG(H+L)
SLC30A8 Antibodies
SLC30A8 for Homo sapiens (Human)
| 產品貨號 | 產品名稱 | 種屬反應性 | 應用類型 |
|---|---|---|---|
| CSB-PA021573GA01HU | SLC30A8 Antibody | Human,Mouse,Rat | ELISA,WB |
| CSB-PA007754 | SLC30A8 Antibody | Human | WB, ELISA |
| CSB-PA818247LA01HU | SLC30A8 Antibody | Human | ELISA, IHC, IF |
| CSB-PA818247LC01HU | SLC30A8 Antibody, FITC conjugated | Human | |
| CSB-PA818247LD01HU | SLC30A8 Antibody, Biotin conjugated | Human | ELISA |
SLC30A8 Proteins
SLC30A8 Proteins for Homo sapiens (Human)
| 產品貨號 | 產品名稱 | 來源 |
|---|---|---|
| CSB-YP818247HU1 CSB-BP818247HU1 CSB-MP818247HU1 CSB-EP818247HU1-B |
Recombinant Human Proton-coupled zinc antiporter SLC30A8 (SLC30A8), partial | Yeast Baculovirus Mammalian cell In Vivo Biotinylation in E.coli |
| CSB-CF818247HU | Recombinant Human Proton-coupled zinc antiporter SLC30A8 (SLC30A8) | in vitro E.coli expression system |
| CSB-MP818247HU | Recombinant Human Proton-coupled zinc antiporter SLC30A8 (SLC30A8)-VLPs | Mammalian cell |
| CSB-EP818247HU1 | Recombinant Human Proton-coupled zinc antiporter SLC30A8 (SLC30A8), partial | E.coli |
SLC30A8 ELISA Kit
SLC30A8 ELISA Kit for Homo sapiens (Human)
| 產品貨號 | 產品名稱 | 樣本類型 | 靈敏度 |
|---|---|---|---|
| CSB-EL021573HU | Human Zinc transporter 8(SLC30A8) ELISA kit | serum, plasma, tissue homogenates, cell lysates | 17.5pg/ml |






