SLC2A1
SLC2A1全稱為葡萄糖轉運蛋白1(GLUT1),是人體內分布最廣的葡萄糖轉運載體,在血腦屏障、紅細胞和胎盤等組織中高表達。SLC2A1通過促進葡萄糖跨膜運輸維持腦部能量供應,對中樞神經系統功能至關重要。GLUT1缺陷綜合征是其最典型的遺傳性疾病,患者因轉運功能障礙出現嬰兒期癲癇、運動障礙和智力發育遲緩,臨床通過腦脊液葡萄糖檢測結合基因篩查確診,生酮飲食替代供能是目前主要干預手段。膠質母細胞瘤、乳腺癌等惡性腫瘤中GLUT1常異常高表達,與腫瘤代謝重編程密切相關,這使得SLC2A1成為抗癌藥物開發的重要靶點。例如小分子抑制劑BAY-876已在臨床前研究中顯示出阻斷腫瘤葡萄糖攝取的效果。研究人員正探索通過調控GLUT1活性改善糖尿病并發癥及阿爾茨海默病能量代謝障礙的新策略。
熱銷產品
驗證數據
CSB-MP021546HU(A4)d7 is detected by Mouse anti-10*His monoclonal antibody.
Activity
Measured by its binding ability in a functional ELISA. Immobilized Human SLC2A1 at 10 μg/ml can bind Anti-SLC2A1 recombinant antibody(CSB-RA021546MA1HU). The EC50 is 5.023-6.275 ng/mL.The VLPs (CSB-MP3838) is negative control.
驗證數據
(Tris-Glycine gel) Discontinuous SDS-PAGE (reduced) with 5% enrichment gel and 15% separation gel.
SLC2A1 Recombinant Monoclonal Antibody (CSB-RA297401A0HU)
驗證數據
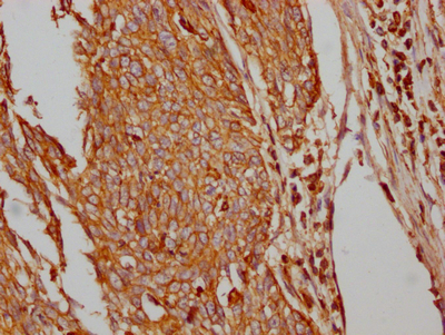
IHC image of CSB-RA297401A0HU diluted at 1:100 and staining in paraffin-embedded human cervical cancer performed on a Leica BondTM system. After dewaxing and hydration, antigen retrieval was mediated by high pressure in a citrate buffer (pH 6.0). Section was blocked with 10% normal goat serum 30min at RT. Then primary antibody (1% BSA) was incubated at 4℃ overnight. The primary is detected by a Goat anti-rabbit IgG polymer labeled by HRP and visualized using 0.05% DAB.
IHC image of CSB-RA297401A0HU diluted at 1:100 and staining in paraffin-embedded human lung cancer performed on a Leica BondTM system. After dewaxing and hydration, antigen retrieval was mediated by high pressure in a citrate buffer (pH 6.0). Section was blocked with 10% normal goat serum 30min at RT. Then primary antibody (1% BSA) was incubated at 4℃ overnight. The primary is detected by a Goat anti-rabbit IgG polymer labeled by HRP and visualized using 0.05% DAB.
SLC2A1 Antibodies
SLC2A1 for Homo sapiens (Human)
| 產品貨號 | 產品名稱 | 種屬反應性 | 應用類型 |
|---|---|---|---|
| CSB-PA021546GA01HU | SLC2A1 Antibody | Human,Mouse,Rat | ELISA,WB,IF |
| CSB-PA021546ESR2HU | SLC2A1 Antibody | Human, Mouse | ELISA, WB, IHC |
| CSB-PA258056 | SLC2A1 Antibody | Human,Mouse,Rat | ELISA,WB,IHC |
| CSB-PA002728 | SLC2A1 Antibody | Human,Mouse,Rat | WB, IHC, ELISA |
| CSB-PA630217 | SLC2A1 Antibody | Human,Mouse,Rat | ELISA,WB,IHC |
| CSB-PA547464 | SLC2A1 Antibody | Human,Mouse,Rat | ELISA,WB,IHC |
| CSB-RA297401A0HU | SLC2A1 Recombinant Monoclonal Antibody | Human | ELISA, IHC |
SLC2A1 Proteins
SLC2A1 Proteins for Ovis aries (Sheep)
| 產品貨號 | 產品名稱 | 來源 |
|---|---|---|
| CSB-YP021546SH CSB-EP021546SH CSB-BP021546SH CSB-MP021546SH CSB-EP021546SH-B |
Recombinant Sheep Solute carrier family 2, facilitated glucose transporter member 1 (SLC2A1), partial | Yeast E.coli Baculovirus Mammalian cell In Vivo Biotinylation in E.coli |
SLC2A1 Proteins for Homo sapiens (Human)
| 產品貨號 | 產品名稱 | 來源 |
|---|---|---|
| CSB-YP021546HU CSB-BP021546HU CSB-MP021546HU CSB-EP021546HU-B |
Recombinant Human Solute carrier family 2, facilitated glucose transporter member 1 (SLC2A1), partial | Yeast Baculovirus Mammalian cell In Vivo Biotinylation in E.coli |
| CSB-EP021546HU | Recombinant Human Solute carrier family 2, facilitated glucose transporter member 1 (SLC2A1), partial | E.coli |
| CSB-CF021546HU(A4) | Recombinant Human Solute carrier family 2, facilitated glucose transporter member 1 (SLC2A1) | in vitro E.coli expression system |
SLC2A1 Proteins for Oryctolagus cuniculus (Rabbit)
| 產品貨號 | 產品名稱 | 來源 |
|---|---|---|
| CSB-YP021546RB CSB-EP021546RB CSB-BP021546RB CSB-MP021546RB CSB-EP021546RB-B |
Recombinant Rabbit Solute carrier family 2, facilitated glucose transporter member 1 (SLC2A1), partial | Yeast E.coli Baculovirus Mammalian cell In Vivo Biotinylation in E.coli |
SLC2A1 Proteins for Sus scrofa (Pig)
| 產品貨號 | 產品名稱 | 來源 |
|---|---|---|
| CSB-YP021546PI CSB-EP021546PI CSB-BP021546PI CSB-MP021546PI CSB-EP021546PI-B |
Recombinant Pig Solute carrier family 2, facilitated glucose transporter member 1 (SLC2A1), partial | Yeast E.coli Baculovirus Mammalian cell In Vivo Biotinylation in E.coli |
SLC2A1 Proteins for Mus musculus (Mouse)
| 產品貨號 | 產品名稱 | 來源 |
|---|---|---|
| CSB-YP021546MO CSB-BP021546MO CSB-MP021546MO CSB-EP021546MO-B |
Recombinant Mouse Solute carrier family 2, facilitated glucose transporter member 1 (Slc2a1), partial | Yeast Baculovirus Mammalian cell In Vivo Biotinylation in E.coli |
| CSB-EP021546MO | Recombinant Mouse Solute carrier family 2, facilitated glucose transporter member 1 (Slc2a1), partial | E.coli |
SLC2A1 Proteins for Bos taurus (Bovine)
| 產品貨號 | 產品名稱 | 來源 |
|---|---|---|
| CSB-YP021546BO CSB-EP021546BO CSB-BP021546BO CSB-MP021546BO CSB-EP021546BO-B |
Recombinant Bovine Solute carrier family 2, facilitated glucose transporter member 1 (SLC2A1), partial | Yeast E.coli Baculovirus Mammalian cell In Vivo Biotinylation in E.coli |
SLC2A1 Proteins for Gallus gallus (Chicken)
| 產品貨號 | 產品名稱 | 來源 |
|---|---|---|
| CSB-YP021546CH CSB-EP021546CH CSB-BP021546CH CSB-MP021546CH CSB-EP021546CH-B |
Recombinant Chicken Solute carrier family 2, facilitated glucose transporter member 1 (SLC2A1), partial | Yeast E.coli Baculovirus Mammalian cell In Vivo Biotinylation in E.coli |
SLC2A1 Proteins for Rattus norvegicus (Rat)
| 產品貨號 | 產品名稱 | 來源 |
|---|---|---|
| CSB-YP319259RA CSB-BP319259RA CSB-MP319259RA CSB-EP319259RA-B |
Recombinant Rat Solute carrier family 2, facilitated glucose transporter member 1 (Slc2a1), partial | Yeast Baculovirus Mammalian cell In Vivo Biotinylation in E.coli |






