SEMA3A
SEMA3A,全名為Semaphorin-3A,常見別名包括COLL1、COLLAPSIN 1、SEMAIII、SEMAPHORIN L等。該蛋白在生長錐引導中發揮重要作用,可能通過選擇性排斥終止于背側的軸突來模式化感覺投射。它參與嗅覺系統的發育和青春期神經元控制,對神經系統的正常功能至關重要。SEMA3A與多種疾病相關,如骨關節炎,研究表明其在疾病進展中具有軟骨保護作用。此外,該蛋白還與神經發育障礙和腫瘤轉移等疾病有關。在藥物研發方面,針對SEMA3A的靶向治療正在探索中,以期用于治療神經系統疾病和癌癥等。目前已有重組小鼠SEMA3A蛋白等生物試劑可用于科研實驗,為深入研究其功能和應用提供了便利。
熱銷產品
SEMA3A Antibody (CSB-PA613506LA01HU)
驗證數據
Western Blot
Positive WB detected in: Hela whole cell lysate, 293 whole cell lysate, Rat kidney tissue, Mouse heart tissue, Mouse skeletal muscle tissue
All lanes: SEMA3A antibody at 3.6µg/ml
Secondary
Goat polyclonal to rabbit IgG at 1/50000 dilution
Predicted band size: 89 kDa
Observed band size: 89 kDa
IHC image of CSB-PA613506LA01HU diluted at 1:300 and staining in paraffin-embedded human heart tissue performed on a Leica BondTM system. After dewaxing and hydration, antigen retrieval was mediated by high pressure in a citrate buffer (pH 6.0). Section was blocked with 10% normal goat serum 30min at RT. Then primary antibody (1% BSA) was incubated at 4°C overnight. The primary is detected by a biotinylated secondary antibody and visualized using an HRP conjugated SP system.
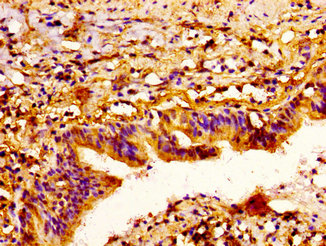
IHC image of CSB-PA613506LA01HU diluted at 1:300 and staining in paraffin-embedded human lung cancer performed on a Leica BondTM system. After dewaxing and hydration, antigen retrieval was mediated by high pressure in a citrate buffer (pH 6.0). Section was blocked with 10% normal goat serum 30min at RT. Then primary antibody (1% BSA) was incubated at 4°C overnight. The primary is detected by a biotinylated secondary antibody and visualized using an HRP conjugated ABC system.
Human Semaphorin 3A(Sema 3A)ELISA Kit (CSB-E15913h)
驗證數據
貨號:CSB-E15913h
規格:96T/48T
靈敏度:0.039 ng/mL
檢測范圍:0.156 ng/mL-10 ng/mL
These standard curves are provided for demonstration only. A standard curve should be generated for each set of samples assayed.
SEMA3A Antibodies
SEMA3A for Homo sapiens (Human)
| 產品貨號 | 產品名稱 | 種屬反應性 | 應用類型 |
|---|---|---|---|
| CSB-PA006490 | SEMA3A Antibody | Human,Mouse,Rat | IHC, ELISA |
| CSB-PA613506LA01HU | SEMA3A Antibody | Human, Rat, Mouse | ELISA, WB, IHC |
| CSB-PA613506LB01HU | SEMA3A Antibody, HRP conjugated | Human | ELISA |
| CSB-PA613506LC01HU | SEMA3A Antibody, FITC conjugated | Human | |
| CSB-PA613506LD01HU | SEMA3A Antibody, Biotin conjugated | Human | ELISA |
SEMA3A Proteins
SEMA3A Proteins for Homo sapiens (Human)
| 產品貨號 | 產品名稱 | 來源 |
|---|---|---|
| CSB-YP613506HU CSB-EP613506HU CSB-BP613506HU CSB-MP613506HU CSB-EP613506HU-B |
Recombinant Human Semaphorin-3A (SEMA3A) | Yeast E.coli Baculovirus Mammalian cell In Vivo Biotinylation in E.coli |
SEMA3A ELISA Kit
SEMA3A ELISA Kit for Homo sapiens (Human)
| 產品貨號 | 產品名稱 | 樣本類型 | 靈敏度 |
|---|---|---|---|
| CSB-E15913h | Human Semaphorin 3A(Sema 3A)ELISA Kit | serum, plasma, cell culture supernates, tissue homogenates | 0.039 ng/mL |






