SCN9A
SCN9A,全稱為鈉離子通道α9亞基,常見別名為Nav1.7。該蛋白主要在周圍神經系統中表達,能與鈉離子通道β亞基組成電壓門控性鈉通道,在痛覺信號轉導中發揮重要作用。SCN9A蛋白的功能異常會導致多種疼痛疾病,包括原發性紅斑性肢痛癥、小纖維神經病、先天性痛覺不敏感等。此外,SCN9A基因突變還與熱性驚厥、遺傳性癲癇伴熱性驚厥附加癥、陣發性劇痛癥和Dravet綜合征等疾病相關。針對SCN9A蛋白的功能異常,研究人員正在開發多種藥物,包括小分子藥物和siRNA等,以期通過抑制SCN9A蛋白的表達或功能來緩解疼痛癥狀。
熱銷產品
SCN9A Antibody (CSB-PA613605LA01HU)
驗證數據
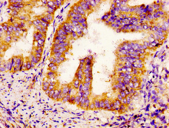
IHC image of CSB-PA613605LA01HU diluted at 1:300 and staining in paraffin-embedded human endometrial cancer performed on a Leica BondTM system. After dewaxing and hydration, antigen retrieval was mediated by high pressure in a citrate buffer (pH 6.0). Section was blocked with 10% normal goat serum 30min at RT. Then primary antibody (1% BSA) was incubated at 4°C overnight. The primary is detected by a biotinylated secondary antibody and visualized using an HRP conjugated SP system.
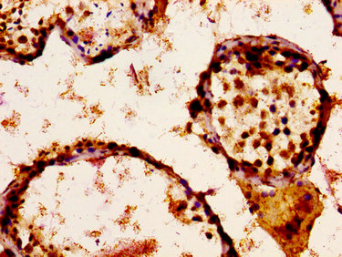
IHC image of CSB-PA613605LA01HU diluted at 1:300 and staining in paraffin-embedded human testis tissue performed on a Leica BondTM system. After dewaxing and hydration, antigen retrieval was mediated by high pressure in a citrate buffer (pH 6.0). Section was blocked with 10% normal goat serum 30min at RT. Then primary antibody (1% BSA) was incubated at 4°C overnight. The primary is detected by a biotinylated secondary antibody and visualized using an HRP conjugated ABC system.
Immunofluorescence staining of Hela cells with CSB-PA613605LA01HU at 1:100, counter-stained with DAPI. The cells were fixed in 4% formaldehyde, permeabilized using 0.2% Triton X-100 and blocked in 10% normal Goat Serum. The cells were then incubated with the antibody overnight at 4°C. The secondary antibody was Alexa Fluor 488-congugated AffiniPure Goat Anti-Rabbit IgG(H+L).
SCN9A Antibodies
SCN9A for Homo sapiens (Human)
| 產品貨號 | 產品名稱 | 種屬反應性 | 應用類型 |
|---|---|---|---|
| CSB-PA003362 | SCN9A Antibody | Human,Mouse,Rat | WB, IHC, ELISA |
| CSB-PA167955 | SCN9A Antibody | Human | ELISA,IHC |
| CSB-PA570456 | SCN9A Antibody | Human | ELISA,IHC |
| CSB-PA260136 | SCN9A Antibody | Human | ELISA,IHC |
| CSB-PA613605LA01HU | SCN9A Antibody | Human | ELISA, IHC, IF |
| CSB-PA613605LB01HU | SCN9A Antibody, HRP conjugated | Human | ELISA |
| CSB-PA613605LC01HU | SCN9A Antibody, FITC conjugated | Human | |
| CSB-PA613605LD01HU | SCN9A Antibody, Biotin conjugated | Human | ELISA |
SCN9A Proteins
SCN9A Proteins for Homo sapiens (Human)
| 產品貨號 | 產品名稱 | 來源 |
|---|---|---|
| CSB-YP613605HU CSB-EP613605HU CSB-BP613605HU CSB-MP613605HU CSB-EP613605HU-B |
Recombinant Human Sodium channel protein type 9 subunit alpha (SCN9A), partial | Yeast E.coli Baculovirus Mammalian cell In Vivo Biotinylation in E.coli |






