S1PR1
S1PR1,全稱為鞘氨醇-1-磷酸受體1,也被稱為S1P受體1、S1P1、內皮分化基因1(EDG1)。該蛋白是一種G蛋白偶聯受體,主要與生物活性信號分子鞘氨醇1-磷酸(S1P)結合。S1PR1在調節內皮細胞細胞骨架結構、遷移、血管成熟和毛細血管樣網絡形成方面發揮重要作用。此外,它在淋巴細胞成熟、遷移和轉運中也扮演重要角色。S1PR1的異常功能與癌癥和多發性硬化癥等疾病相關,因此其激動劑和拮抗劑在治療這些疾病方面具有潛在應用價值。目前,針對S1PR1的藥物研發正在積極推進中,有望為相關疾病的治療帶來新的希望。
熱銷產品
S1PR1 Recombinant Monoclonal Antibody (CSB-RA923827A0HU)
驗證數據
Western Blot
Positive WB detected in: SH-SY5Y whole cell lysate, PC3 whole cell lysate, HepG2 whole cell lysate, Jurkat whole cell lysate, U251 whole cell lysate
All lanes: EDG1 antibody at 1:2000
Secondary
Goat polyclonal to rabbit IgG at 1/50000 dilution
Predicted band size: 43 kDa
Observed band size: 43 kDa
S1PR1 Antibody (CSB-PA020650LA01HU)
驗證數據
Western blot
All lanes: S1PR1 antibody at 2µg/ml
Lane 1: Jurkat whole cell lysate
Lane 2: A375 whole cell lysate
Lane 3: Mouse thymus tissue
Lane 4: HepG2 whole cell lysate
Secondary
Goat polyclonal to rabbit IgG at 1/10000 dilution
Predicted band size: 43 kDa
Observed band size: 43 kDa
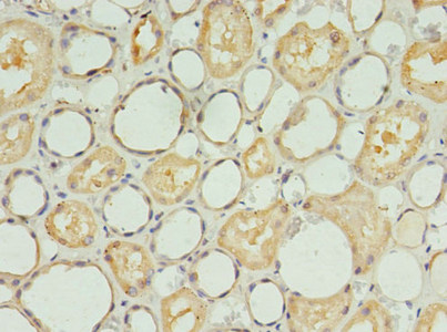
Immunohistochemistry of paraffin-embedded human kidney tissue using CSB-PA020650LA01HU at dilution of 1:100
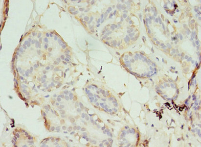
Immunohistochemistry of paraffin-embedded human breast cancer using CSB-PA020650LA01HU at dilution of 1:100
Immunofluorescent analysis of HepG2 cells using CSB-PA020650LA01HU at dilution of 1:100 and Alexa Fluor 488-congugated AffiniPure Goat Anti-Rabbit IgG(H+L)
Immunofluorescent analysis of Hela cells cells using CSB-PA020650LA01HU at dilution of 1:100 and Alexa Fluor 488-congugated AffiniPure Goat Anti-Rabbit IgG(H+L)
S1PR1 Antibodies
S1PR1 for Homo sapiens (Human)
| 產品貨號 | 產品名稱 | 種屬反應性 | 應用類型 |
|---|---|---|---|
| CSB-PA020650GA01HU | S1PR1 Antibody | Human,Mouse,Rat | ELISA,WB |
| CSB-PA002247 | S1PR1 Antibody | Human,Mouse,Rat | WB, IF, ELISA |
| CSB-PA007881 | Phospho-S1PR1 (T236) Antibody | Human,Mouse,Rat | WB, IF, ELISA |
| CSB-PA007898 | S1PR1 Antibody | Human | WB, IHC, IF, ELISA |
| CSB-PA020650LC01HU | S1PR1 Antibody, FITC conjugated | Human | |
| CSB-PA020650LA01HU | S1PR1 Antibody | Human, Mouse | ELISA, WB, IHC, IF |
| CSB-PA193689 | S1PR1 Antibody | Human,Mouse,Rat | ELISA,WB |
| CSB-PA241754 | S1PR1 Antibody | Human,Mouse,Rat | ELISA,WB |
| CSB-RA923827A0HU | S1PR1 Recombinant Monoclonal Antibody | Human | ELISA, WB |
S1PR1 Proteins
S1PR1 Proteins for Homo sapiens (Human)
| 產品貨號 | 產品名稱 | 來源 |
|---|---|---|
| CSB-YP020650HU1 CSB-EP020650HU1 CSB-BP020650HU1 CSB-MP020650HU1 CSB-EP020650HU1-B |
Recombinant Human Sphingosine 1-phosphate receptor 1 (S1PR1), partial | Yeast E.coli Baculovirus Mammalian cell In Vivo Biotinylation in E.coli |
| CSB-CF020650HU | Recombinant Human Sphingosine 1-phosphate receptor 1 (S1PR1) | in vitro E.coli expression system |
S1PR1 Proteins for Rattus norvegicus (Rat)
| 產品貨號 | 產品名稱 | 來源 |
|---|---|---|
| CSB-YP020650RA1 CSB-EP020650RA1 CSB-BP020650RA1 CSB-MP020650RA1 CSB-EP020650RA1-B |
Recombinant Rat Sphingosine 1-phosphate receptor 1 (S1pr1), partial | Yeast E.coli Baculovirus Mammalian cell In Vivo Biotinylation in E.coli |
| CSB-CF020650RA | Recombinant Rat Sphingosine 1-phosphate receptor 1 (S1pr1) | in vitro E.coli expression system |
S1PR1 Proteins for Mus musculus (Mouse)
| 產品貨號 | 產品名稱 | 來源 |
|---|---|---|
| CSB-YP020650MO1 CSB-EP020650MO1 CSB-BP020650MO1 CSB-MP020650MO1 CSB-EP020650MO1-B |
Recombinant Mouse Sphingosine 1-phosphate receptor 1 (S1pr1), partial | Yeast E.coli Baculovirus Mammalian cell In Vivo Biotinylation in E.coli |
| CSB-CF020650MO | Recombinant Mouse Sphingosine 1-phosphate receptor 1 (S1pr1) | in vitro E.coli expression system |
S1PR1 Proteins for Bos taurus (Bovine)
| 產品貨號 | 產品名稱 | 來源 |
|---|---|---|
| CSB-YP685723BO1 CSB-EP685723BO1 CSB-BP685723BO1 CSB-MP685723BO1 CSB-EP685723BO1-B |
Recombinant Bovine Sphingosine 1-phosphate receptor 1 (S1PR1), partial | Yeast E.coli Baculovirus Mammalian cell In Vivo Biotinylation in E.coli |
| CSB-CF685723BO | Recombinant Bovine Sphingosine 1-phosphate receptor 1 (S1PR1) | in vitro E.coli expression system |
S1PR1 Proteins for Danio rerio (Zebrafish) (Brachydanio rerio)
| 產品貨號 | 產品名稱 | 來源 |
|---|---|---|
| CSB-YP875293DIL1 CSB-EP875293DIL1 CSB-BP875293DIL1 CSB-MP875293DIL1 CSB-EP875293DIL1-B |
Recombinant Danio rerio Sphingosine 1-phosphate receptor 1 (s1pr1), partial | Yeast E.coli Baculovirus Mammalian cell In Vivo Biotinylation in E.coli |
| CSB-CF875293DIL | Recombinant Danio rerio Sphingosine 1-phosphate receptor 1 (s1pr1) | in vitro E.coli expression system |






