S100P
S100P,全稱為S100鈣結合蛋白P,是一種小分子鈣結合蛋白,因其最初在胎盤中發現而得名。該蛋白屬于S100家族,具有典型的兩個EF手型結構,廣泛參與細胞增殖、分化、細胞骨架構成、免疫反應以及細胞外基質分泌活動等過程。S100P蛋白在細胞核和細胞漿中均有表達,并可分泌到細胞外。在細胞外,S100P能與RAGE的胞外配體結合,通過活化下游ERK/MAPK信號通路控制相關靶基因表達,調節細胞增殖;在細胞內,S100P蛋白可以與Ezrin蛋白結合,參與細胞骨架的重構而影響細胞粘附和運動,還可以與泛素化通路CacyBP/SIP蛋白結合參與β-catenin的降解,實現對腫瘤生存和轉移的調控。S100P蛋白在多種腫瘤組織中均有明顯的高表達,如膀胱移行細胞癌、非小細胞肺癌、胃癌、胰腺癌、乳腺癌、前列腺癌、結直腸癌、卵巢癌、宮頸癌等,并參與了細胞異常增生、細胞惡變、腫瘤細胞的運動性增強、浸潤力增強等腫瘤發生和發展的病理過程,與部分腫瘤的分期、預后及藥物敏感性相關。目前,S100P蛋白已被認為是潛在的腫瘤標志物,主要用于前列腺癌、膀胱癌等的輔助診斷。近年來,針對S100P蛋白的藥物研發也取得了一定的進展,例如開發針對S100P蛋白的單克隆抗體用于腫瘤的診斷和治療。
熱銷產品
Recombinant Human Protein S100-P (S100P) (CSB-EP020645HU)
驗證數據
(Tris-Glycine gel) Discontinuous SDS-PAGE (reduced) with 5% enrichment gel and 15% separation gel.
S100P Antibody (CSB-PA020645LA01HU)
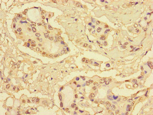
驗證數據
Immunohistochemistry of paraffin-embedded human pancreatic cancer using CSB-PA020645LA01HU at dilution of 1:100
Immunofluorescent analysis of HepG2 cells using CSB-PA020645LA01HU at dilution of 1:100 and Alexa Fluor 488-congugated AffiniPure Goat Anti-Rabbit IgG(H+L)
Human S100 calcium binding protein P(S100P) ELISA Kit (CSB-E14080h)
驗證數據
貨號:CSB-E14080h
規格:96T/48T
靈敏度:19.5 pg/mL
檢測范圍:78 pg/mL-5000 pg/mL
These standard curves are provided for demonstration only. A standard curve should be generated for each set of samples assayed.
S100P Antibodies
S100P for Homo sapiens (Human)
| 產品貨號 | 產品名稱 | 種屬反應性 | 應用類型 |
|---|---|---|---|
| CSB-PA020645GA01HU | S100P Antibody | Human | ELISA,WB,IHC |
| CSB-PA040287 | S100P Antibody | Human | WB, IHC, ELISA |
| CSB-PA825365 | S100P Antibody | Human | ELISA,WB |
| CSB-PA031961 | S100P Antibody | Human | ELISA,WB |
| CSB-PA020645LA01HU | S100P Antibody | Human | ELISA, IHC, IF |
| CSB-PA020645LB01HU | S100P Antibody, HRP conjugated | Human | ELISA |
| CSB-PA020645LC01HU | S100P Antibody, FITC conjugated | Human | |
| CSB-PA020645LD01HU | S100P Antibody, Biotin conjugated | Human | ELISA |
S100P Proteins
S100P Proteins for Homo sapiens (Human)
| 產品貨號 | 產品名稱 | 來源 |
|---|---|---|
| CSB-YP020645HU CSB-BP020645HU CSB-MP020645HU CSB-EP020645HU-B |
Recombinant Human Protein S100-P (S100P) | Yeast Baculovirus Mammalian cell In Vivo Biotinylation in E.coli |
| CSB-EP020645HU | Recombinant Human Protein S100-P (S100P) | E.coli |
S100P ELISA Kit
S100P ELISA Kit for Homo sapiens (Human)
| 產品貨號 | 產品名稱 | 樣本類型 | 靈敏度 |
|---|---|---|---|
| CSB-E14080h | Human S100 calcium binding protein P(S100P) ELISA Kit | serum, plasma, tissue homogenates | 19.5 pg/mL |






