S100A7
S100A7(全稱S100鈣結合蛋白A7),又稱Psoriasin,是S100蛋白家族成員之一,分子量約11 kDa,含有兩個鈣離子結合結構域。這種蛋白最初在銀屑病患者皮膚中分離獲得,主要分布于上皮細胞和免疫細胞中,通過調控鈣離子穩態參與細胞增殖、分化及抗菌防御。在生理狀態下,S100A7有助于維持皮膚屏障功能,抑制細菌生長;但在病理條件下,其表達異常升高與銀屑病、乳腺癌、肺癌等多種疾病進展密切相關。臨床研究發現,三陰性乳腺癌和肺鱗癌患者腫瘤組織及血漿中S100A7水平顯著升高,且與腫瘤侵襲性、免疫抑制微環境形成及不良預后相關。
針對S100A7的靶向治療策略正逐步成為研究熱點。科學家通過開發高親和力單克隆抗體(如識別EF-hand結構域的鼠源抗體)提升檢測靈敏度,輔助疾病診斷。在藥物研發領域,抑制S100A7與RAGE受體結合可阻斷下游cPLA2/AKT通路激活,逆轉腫瘤免疫逃逸,相關抑制劑已在乳腺癌和肺癌模型中顯示出療效。此外,S100A7作為生物標志物已用于肺鱗癌免疫檢查點抑制劑療效預測,其血漿水平與患者無進展生存期顯著相關。目前針對該蛋白的抗體藥物偶聯物(ADC)和納米載體遞送系統正在探索中,為炎癥性疾病和癌癥治療提供新方向。
熱銷產品
S100A7 Antibody (CSB-PA020635HA01HU)
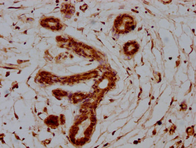
驗證數據
IHC image of CSB-PA020635HA01HU diluted at 1:100 and staining in paraffin-embedded human breast cancer performed on a Leica BondTM system. After dewaxing and hydration, antigen retrieval was mediated by high pressure in a citrate buffer (pH 6.0). Section was blocked with 10% normal goat serum 30min at RT. Then primary antibody (1% BSA) was incubated at 4°C overnight. The primary is detected by a biotinylated secondary antibody and visualized using an HRP conjugated SP system.
Immunofluorescence staining of Hela cells with CSB-PA020635HA01HU at 1:50, counter-stained with DAPI. The cells were fixed in 4% formaldehyde, permeabilized using 0.2% Triton X-100 and blocked in 10% normal Goat Serum. The cells were then incubated with the antibody overnight at 4°C. The secondary antibody was Alexa Fluor 488-congugated AffiniPure Goat Anti-Rabbit IgG(H+L).
S100A7 Antibodies
S100A7 for Homo sapiens (Human)
| 產品貨號 | 產品名稱 | 種屬反應性 | 應用類型 |
|---|---|---|---|
| CSB-PA020635HA01HU | S100A7 Antibody | Human | ELISA, IHC, IF |
| CSB-PA020635HB01HU | S100A7 Antibody, HRP conjugated | Human | ELISA |
| CSB-PA020635HC01HU | S100A7 Antibody, FITC conjugated | Human | |
| CSB-PA020635HD01HU | S100A7 Antibody, Biotin conjugated | Human | ELISA |
S100A7 Proteins
S100A7 Proteins for Homo sapiens (Human)
| 產品貨號 | 產品名稱 | 來源 |
|---|---|---|
| CSB-YP020635HU CSB-EP020635HU CSB-BP020635HU CSB-MP020635HU CSB-EP020635HU-B |
Recombinant Human Protein S100-A7 (S100A7) | Yeast E.coli Baculovirus Mammalian cell In Vivo Biotinylation in E.coli |
S100A7 Proteins for Equus caballus (Horse)
| 產品貨號 | 產品名稱 | 來源 |
|---|---|---|
| CSB-YP617992HO CSB-EP617992HO CSB-BP617992HO CSB-MP617992HO CSB-EP617992HO-B |
Recombinant Horse Protein S100-A7 (s100A7) | Yeast E.coli Baculovirus Mammalian cell In Vivo Biotinylation in E.coli |
S100A7 Proteins for Bos taurus (Bovine)
| 產品貨號 | 產品名稱 | 來源 |
|---|---|---|
| CSB-YP634657BO CSB-EP634657BO CSB-BP634657BO CSB-MP634657BO CSB-EP634657BO-B |
Recombinant Bovine Protein S100-A7 (S100A7) | Yeast E.coli Baculovirus Mammalian cell In Vivo Biotinylation in E.coli |






