ROCK1
ROCK1,即Rho相關卷曲螺旋激酶1,別名Rho激酶1、ROK-β、p160-ROCK。它是一種由ROCK1基因編碼的絲氨酸/蘇氨酸蛋白激酶,屬于Rho/ROCK信號通路的關鍵組成部分。ROCK1的作用機制主要是通過磷酸化多種底物蛋白,如肌球蛋白輕鏈、LIM激酶等,參與調節細胞形態、運動、收縮和增殖等生理過程。ROCK1在調控細胞骨架重組、細胞遷移、血管內皮通透性以及組織收縮和生長等多種生理功能中發揮重要作用。此外,ROCK1的功能異常與糖尿病腎病、眼疾病、腫瘤、心臟病、神經損傷性疾病、高血壓等多種疾病的發生發展有關,是藥物研發中的潛在靶點。
熱銷產品
驗證數據
The image on the left is immunohistochemistry of paraffin-embedded Human breast cancer tissue using CSB-PA057038(ROCK1 Antibody) at dilution 1/25, on the right is treated with fusion protein. (Original magnification: ×200)
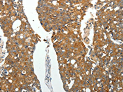
The image on the left is immunohistochemistry of paraffin-embedded Human gastric cancer tissue using CSB-PA057038(ROCK1 Antibody) at dilution 1/25, on the right is treated with fusion protein. (Original magnification: ×200)
ROCK1 Antibodies
ROCK1 for Homo sapiens (Human)
| 產品貨號 | 產品名稱 | 種屬反應性 | 應用類型 |
|---|---|---|---|
| CSB-PA020058GA01HU | ROCK1 Antibody | Human,Mouse,Rat | ELISA,WB |
| CSB-PA004017 | ROCK1 Antibody | Human,Mouse,Rat,Monkey | WB, IHC, ELISA |
| CSB-PA040230 | ROCK1 Antibody | Human,Mouse,Rat | WB, ELISA |
| CSB-PA057038 | ROCK1 Antibody | Human,Mouse,Rat | ELISA,IHC |
| CSB-PA679461 | ROCK1 Antibody | Human,Mouse,Rat | ELISA,IHC |
| CSB-PA614415HA01HU | ROCK1 Antibody | Human | ELISA, WB, IHC, IF |
| CSB-PA614415HB01HU | ROCK1 Antibody, HRP conjugated | Human | ELISA |
| CSB-PA614415HC01HU | ROCK1 Antibody, FITC conjugated | Human | |
| CSB-PA614415HD01HU | ROCK1 Antibody, Biotin conjugated | Human | ELISA |
ROCK1 Proteins
ROCK1 Proteins for Mus musculus (Mouse)
| 產品貨號 | 產品名稱 | 來源 |
|---|---|---|
| CSB-YP020058MO CSB-EP020058MO CSB-BP020058MO CSB-MP020058MO CSB-EP020058MO-B |
Recombinant Mouse Rho-associated protein kinase 1 (Rock1), partial | Yeast E.coli Baculovirus Mammalian cell In Vivo Biotinylation in E.coli |
ROCK1 Proteins for Oryctolagus cuniculus (Rabbit)
| 產品貨號 | 產品名稱 | 來源 |
|---|---|---|
| CSB-YP020058RB CSB-EP020058RB CSB-BP020058RB CSB-MP020058RB CSB-EP020058RB-B |
Recombinant Rabbit Rho-associated protein kinase 1 (ROCK1), partial | Yeast E.coli Baculovirus Mammalian cell In Vivo Biotinylation in E.coli |
ROCK1 Proteins for Pan troglodytes (Chimpanzee)
| 產品貨號 | 產品名稱 | 來源 |
|---|---|---|
| CSB-YP020058EQV CSB-EP020058EQV CSB-BP020058EQV CSB-MP020058EQV CSB-EP020058EQV-B |
Recombinant Pan troglodytes Rho-associated protein kinase 1 (ROCK1), partial | Yeast E.coli Baculovirus Mammalian cell In Vivo Biotinylation in E.coli |
ROCK1 Proteins for Homo sapiens (Human)
| 產品貨號 | 產品名稱 | 來源 |
|---|---|---|
| CSB-YP614415HU CSB-EP614415HU CSB-BP614415HU CSB-MP614415HU CSB-EP614415HU-B |
Recombinant Human Rho-associated protein kinase 1 (ROCK1), partial | Yeast E.coli Baculovirus Mammalian cell In Vivo Biotinylation in E.coli |
ROCK1 Proteins for Rattus norvegicus (Rat)
| 產品貨號 | 產品名稱 | 來源 |
|---|---|---|
| CSB-YP717402RA CSB-EP717402RA CSB-BP717402RA CSB-MP717402RA CSB-EP717402RA-B |
Recombinant Rat Rho-associated protein kinase 1 (Rock1), partial | Yeast E.coli Baculovirus Mammalian cell In Vivo Biotinylation in E.coli |
ROCK1 Proteins for Bos taurus (Bovine)
| 產品貨號 | 產品名稱 | 來源 |
|---|---|---|
| CSB-YP847572BO CSB-EP847572BO CSB-BP847572BO CSB-MP847572BO CSB-EP847572BO-B |
Recombinant Bovine Rho-associated protein kinase 1 (ROCK1) | Yeast E.coli Baculovirus Mammalian cell In Vivo Biotinylation in E.coli |






