PROS1
PROS1,全稱為蛋白S(Protein S),是一種重要的抗凝蛋白,在血液凝固過程中發揮著關鍵作用。蛋白S具有多種別名,包括PROS、PS21、PS22、PS23、PS24、PS25、PS26、PS26、Vitamin K-dependent plasma protein S以及Vitamin K-dependent protein S等。蛋白S主要由肝臟合成,然后分布到血漿中,其中約60%與C4b結合蛋白復合物結合,約40%以游離形式存在,而只有游離形式的蛋白S才能作為活化蛋白C(APC)的輔因子,參與抗凝過程。蛋白S缺乏會導致靜脈血栓栓塞癥(VTE)的風險顯著增加,因此,蛋白S缺乏癥是一種常染色體顯性遺傳病。目前,針對蛋白S缺乏癥的治療方法主要包括抗凝治療和蛋白S替代治療。此外,研究人員也在探索蛋白S作為生物標志物的潛力,用于哮喘等疾病的診斷和預后評估。
熱銷產品
Recombinant Human Vitamin K-dependent protein S (PROS1) (CSB-EP018754HU)
驗證數據
(Tris-Glycine gel) Discontinuous SDS-PAGE (reduced) with 5% enrichment gel and 15% separation gel.
PROS1 Antibody (CSB-PA018754LA01HU)
驗證數據
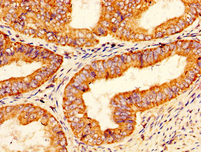
IHC image of CSB-PA018754LA01HU diluted at 1:200 and staining in paraffin-embedded human endometrial cancer performed on a Leica BondTM system. After dewaxing and hydration, antigen retrieval was mediated by high pressure in a citrate buffer (pH 6.0). Section was blocked with 10% normal goat serum 30min at RT. Then primary antibody (1% BSA) was incubated at 4°C overnight. The primary is detected by a biotinylated secondary antibody and visualized using an HRP conjugated SP system.
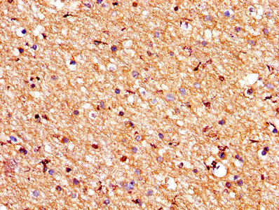
IHC image of CSB-PA018754LA01HU diluted at 1:200 and staining in paraffin-embedded human brain tissue performed on a Leica BondTM system. After dewaxing and hydration, antigen retrieval was mediated by high pressure in a citrate buffer (pH 6.0). Section was blocked with 10% normal goat serum 30min at RT. Then primary antibody (1% BSA) was incubated at 4°C overnight. The primary is detected by a biotinylated secondary antibody and visualized using an HRP conjugated SP system.
Immunofluorescence staining of HepG2 cells with CSB-PA018754LA01HU at 1:66, counter-stained with DAPI. The cells were fixed in 4% formaldehyde, permeabilized using 0.2% Triton X-100 and blocked in 10% normal Goat Serum. The cells were then incubated with the antibody overnight at 4°C. The secondary antibody was Alexa Fluor 488-congugated AffiniPure Goat Anti-Rabbit IgG(H+L).
Human Protein S ELISA Kit (CSB-E09903h)
驗證數據
貨號:CSB-E09903h
規格:96T/48T
靈敏度:0.78 ng/mL
檢測范圍:3.12 ng/mL-200 ng/mL
These standard curves are provided for demonstration only. A standard curve should be generated for each set of samples assayed.
PROS1 Antibodies
PROS1 for Homo sapiens (Human)
| 產品貨號 | 產品名稱 | 種屬反應性 | 應用類型 |
|---|---|---|---|
| CSB-PA018754GA01HU | PROS1 Antibody | Human,Mouse,Rat | ELISA,WB,IHC |
| CSB-PA018754LA01HU | PROS1 Antibody | Human | ELISA, IHC, IF |
| CSB-PA018754LB01HU | PROS1 Antibody, HRP conjugated | Human | ELISA |
| CSB-PA018754LD01HU | PROS1 Antibody, Biotin conjugated | Human | ELISA |
| CSB-PA127412 | PROS1 Antibody | Human | ELISA,IHC |
| CSB-PA121719 | PROS1 Antibody | Human | ELISA,IHC |
PROS1 Proteins
PROS1 Proteins for Oryctolagus cuniculus (Rabbit)
| 產品貨號 | 產品名稱 | 來源 |
|---|---|---|
| CSB-YP018754RB CSB-EP018754RB CSB-BP018754RB CSB-MP018754RB CSB-EP018754RB-B |
Recombinant Rabbit Vitamin K-dependent protein S (PROS1), partial | Yeast E.coli Baculovirus Mammalian cell In Vivo Biotinylation in E.coli |
PROS1 Proteins for Homo sapiens (Human)
| 產品貨號 | 產品名稱 | 來源 |
|---|---|---|
| CSB-YP018754HU CSB-BP018754HU CSB-MP018754HU CSB-EP018754HU-B |
Recombinant Human Vitamin K-dependent protein S (PROS1) | Yeast Baculovirus Mammalian cell In Vivo Biotinylation in E.coli |
| CSB-EP018754HU | Recombinant Human Vitamin K-dependent protein S (PROS1) | E.coli |
PROS1 Proteins for Bos taurus (Bovine)
| 產品貨號 | 產品名稱 | 來源 |
|---|---|---|
| CSB-YP018754BO CSB-EP018754BO CSB-BP018754BO CSB-MP018754BO CSB-EP018754BO-B |
Recombinant Bovine Vitamin K-dependent protein S (PROS1), partial | Yeast E.coli Baculovirus Mammalian cell In Vivo Biotinylation in E.coli |
PROS1 Proteins for Rattus norvegicus (Rat)
| 產品貨號 | 產品名稱 | 來源 |
|---|---|---|
| CSB-YP018754RA CSB-BP018754RA CSB-EP018754RA-B |
Recombinant Rat Vitamin K-dependent protein S (Pros1) | Yeast Baculovirus In Vivo Biotinylation in E.coli |
| CSB-EP018754RA | Recombinant Rat Vitamin K-dependent protein S (Pros1) | E.coli |
| CSB-MP018754RA | Recombinant Rat Vitamin K-dependent protein S (Pros1) | Mammalian cell |
PROS1 Proteins for Bacillus thuringiensis (strain Al Hakam)
| 產品貨號 | 產品名稱 | 來源 |
|---|---|---|
| CSB-YP368129BOM CSB-EP368129BOM CSB-BP368129BOM CSB-MP368129BOM CSB-EP368129BOM-B |
Recombinant Bacillus thuringiensis Proline--tRNA ligase 1 (proS1), partial | Yeast E.coli Baculovirus Mammalian cell In Vivo Biotinylation in E.coli |
PROS1 Proteins for Rhodococcus sp. (strain RHA1)
| 產品貨號 | 產品名稱 | 來源 |
|---|---|---|
| CSB-YP611347RLO CSB-EP611347RLO CSB-BP611347RLO CSB-MP611347RLO CSB-EP611347RLO-B |
Recombinant Rhodococcus sp. Proline--tRNA ligase 1 (proS1), partial | Yeast E.coli Baculovirus Mammalian cell In Vivo Biotinylation in E.coli |
PROS1 Proteins for Clostridium difficile (strain 630)
| 產品貨號 | 產品名稱 | 來源 |
|---|---|---|
| CSB-YP622112CAAQ CSB-EP622112CAAQ CSB-BP622112CAAQ CSB-MP622112CAAQ CSB-EP622112CAAQ-B |
Recombinant Clostridium difficile Proline--tRNA ligase 1 (proS1), partial | Yeast E.coli Baculovirus Mammalian cell In Vivo Biotinylation in E.coli |
PROS1 Proteins for Macaca mulatta (Rhesus macaque)
| 產品貨號 | 產品名稱 | 來源 |
|---|---|---|
| CSB-YP631717MOW CSB-EP631717MOW CSB-BP631717MOW CSB-MP631717MOW CSB-EP631717MOW-B |
Recombinant Macaca mulatta Vitamin K-dependent protein S (PROS1), partial | Yeast E.coli Baculovirus Mammalian cell In Vivo Biotinylation in E.coli |
PROS1 Proteins for Anaeromyxobacter dehalogenans (strain 2CP-C)
| 產品貨號 | 產品名稱 | 來源 |
|---|---|---|
| CSB-YP643192AAAP CSB-EP643192AAAP CSB-BP643192AAAP CSB-MP643192AAAP CSB-EP643192AAAP-B |
Recombinant Anaeromyxobacter dehalogenans Proline--tRNA ligase 1 (proS1), partial | Yeast E.coli Baculovirus Mammalian cell In Vivo Biotinylation in E.coli |
PROS1 Proteins for Bacillus cereus (strain ZK / E33L)
| 產品貨號 | 產品名稱 | 來源 |
|---|---|---|
| CSB-YP717410BAAD CSB-EP717410BAAD CSB-BP717410BAAD CSB-MP717410BAAD CSB-EP717410BAAD-B |
Recombinant Bacillus cereus Proline--tRNA ligase 1 (proS1), partial | Yeast E.coli Baculovirus Mammalian cell In Vivo Biotinylation in E.coli |
PROS1 Proteins for Bacillus thuringiensis subsp. konkukian (strain 97-27)
| 產品貨號 | 產品名稱 | 來源 |
|---|---|---|
| CSB-YP760744BAAE CSB-EP760744BAAE CSB-BP760744BAAE CSB-MP760744BAAE CSB-EP760744BAAE-B |
Recombinant Bacillus thuringiensis subsp. konkukian Proline--tRNA ligase 1 (proS1), partial | Yeast E.coli Baculovirus Mammalian cell In Vivo Biotinylation in E.coli |
PROS1 Proteins for Bacillus cereus (strain ATCC 10987)
| 產品貨號 | 產品名稱 | 來源 |
|---|---|---|
| CSB-YP765365BQN CSB-EP765365BQN CSB-BP765365BQN CSB-MP765365BQN CSB-EP765365BQN-B |
Recombinant Bacillus cereus Proline--tRNA ligase 1 (proS1), partial | Yeast E.coli Baculovirus Mammalian cell In Vivo Biotinylation in E.coli |
PROS1 Proteins for Bacillus anthracis
| 產品貨號 | 產品名稱 | 來源 |
|---|---|---|
| CSB-YP767545BQE CSB-EP767545BQE CSB-BP767545BQE CSB-MP767545BQE CSB-EP767545BQE-B |
Recombinant Proline--tRNA ligase 1 (proS1), partial | Yeast E.coli Baculovirus Mammalian cell In Vivo Biotinylation in E.coli |
PROS1 Proteins for Bacillus cereus (strain ATCC 14579 / DSM 31)
| 產品貨號 | 產品名稱 | 來源 |
|---|---|---|
| CSB-YP768991BAM CSB-EP768991BAM CSB-BP768991BAM CSB-MP768991BAM CSB-EP768991BAM-B |
Recombinant Bacillus cereus Proline--tRNA ligase 1 (proS1), partial | Yeast E.coli Baculovirus Mammalian cell In Vivo Biotinylation in E.coli |
PROS1 Proteins for Streptomyces avermitilis
| 產品貨號 | 產品名稱 | 來源 |
|---|---|---|
| CSB-YP774262SNN CSB-EP774262SNN CSB-BP774262SNN CSB-MP774262SNN CSB-EP774262SNN-B |
Recombinant Proline--tRNA ligase 1 (proS1), partial | Yeast E.coli Baculovirus Mammalian cell In Vivo Biotinylation in E.coli |
PROS1 ELISA Kit
PROS1 ELISA Kit for Monkey
| 產品貨號 | 產品名稱 | 樣本類型 | 靈敏度 |
|---|---|---|---|
| CSB-EL018754RH | Monkey Vitamin K-dependent protein S(PROS1) ELISA kit | serum, plasma, tissue homogenates | 3.9 ng/mL |
PROS1 ELISA Kit for Mus musculus (Mouse)
| 產品貨號 | 產品名稱 | 樣本類型 | 靈敏度 |
|---|---|---|---|
| CSB-EL018754MO | Mouse Vitamin K-dependent protein S(PROS1) ELISA kit | serum, plasma, tissue homogenates | 1.56 ng/mL |
PROS1 ELISA Kit for Homo sapiens (Human)
| 產品貨號 | 產品名稱 | 樣本類型 | 靈敏度 |
|---|---|---|---|
| CSB-E09903h | Human Protein S ELISA Kit | serum, plasma, tissue homogenates | 0.78 ng/mL |






