PRMT6
PRMT6,即蛋白精氨酸甲基轉移酶6,別名FLJ10559、HRMT1L6等,源自人體基因并定位于細胞核。作為重要的表觀遺傳調控因子,PRMT6通過催化精氨酸甲基化,特別是形成不對稱二甲基精氨酸,影響基因表達、轉錄調控等生物過程。它不僅參與細胞代謝、DNA損傷修復等基本生命活動,還與癌癥、免疫應答等復雜生理病理過程緊密相關。PRMT6的活性異常可能導致疾病發生,因此其研究對于揭示疾病機制、開發治療方法具有重要意義。
熱銷產品
PRMT6 Antibody (CSB-PA856972LA01HU)
驗證數據
Western blot
All lanes: PRMT6 antibody at 0.4μg/ml
Lane 1: 293T whole cell lysate
Lane 2: MCF-7 whole cell lysate
Lane 3: A431 whole cell lysate
Lane 4: K562 whole cell lysate
Secondary
Goat polyclonal to rabbit IgG at 1/10000 dilution
Predicted band size: 42, 33 kDa
Observed band size: 42 kDa
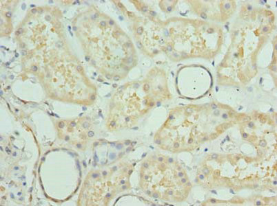
Immunohistochemistry of paraffin-embedded human kidney tissue using CSB-PA856972LA01HU at dilution of 1:100
Immunofluorescent analysis of Hela cells using CSB-PA856972LA01HU at dilution of 1:100 and Alexa Fluor 488-congugated AffiniPure Goat Anti-Rabbit IgG(H+L)
PRMT6 Antibodies
PRMT6 for Homo sapiens (Human)
| 產品貨號 | 產品名稱 | 種屬反應性 | 應用類型 |
|---|---|---|---|
| CSB-PA018735GA01HU | PRMT6 Antibody | Human,Mouse,Rat | ELISA,WB,IHC |
| CSB-PA856972LA01HU | PRMT6 Antibody | Human | ELISA, WB, IHC, IF |
| CSB-PA856972HA01HU | PRMT6 Antibody | Human | ELISA, IHC, IF |
PRMT6 Proteins
PRMT6 Proteins for Homo sapiens (Human)
| 產品貨號 | 產品名稱 | 來源 |
|---|---|---|
| CSB-YP856972HU CSB-EP856972HU CSB-BP856972HU CSB-MP856972HU CSB-EP856972HU-B |
Recombinant Human Protein arginine N-methyltransferase 6 (PRMT6) | Yeast E.coli Baculovirus Mammalian cell In Vivo Biotinylation in E.coli |






