PNPLA3
PNPLA3,即含patatin樣磷脂酶結構域3,別名Adpn、C22orf20、iPLA(2)epsilon。PNPLA3是一種非特異性脂肪酰基水解酶,屬于patatin樣磷脂酶家族的非分泌性蛋白。它具有1-酰基甘油-3-磷酸O-酰基轉移酶活性、長鏈脂肪酸CoA結合活性以及溶血磷脂酸結合活性。PNPLA3主要調節甘油脂質代謝、長鏈脂肪酸代謝以及飲食過量反應,主要定位于脂滴和細胞膜中,并在左肺、嗅覺上皮和右肺中表達。PNPLA3在非酒精性脂肪肝病(NAFLD)中起重要作用,與冠狀動脈疾病、多種肝病和2型糖尿病相關。PNPLA3基因多態性與NAFLD的嚴重程度相關,其變異可能影響肝臟中脂質的正常代謝和異常積累,從而參與脂肪性肝病的發生和發展。
熱銷產品
驗證數據
(Tris-Glycine gel) Discontinuous SDS-PAGE (reduced) with 5% enrichment gel and 15% separation gel.
PNPLA3 Antibody (CSB-PA889106ESR1HU)
驗證數據
Western blot
All lanes: Patatin-like phospholipase domain-containing protein 3 antibody at 8μg/ml + HepG2 whole cell lysate
Secondary
Goat polyclonal to rabbit IgG at 1/10000 dilution
Predicted band size: 53 kDa
Observed band size: 53 kDa
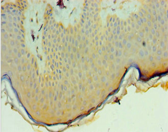
Immunohistochemistry of paraffin-embedded human skin tissue using CSB-PA889106ESR1HU at dilution of 1:100
PNPLA3 Antibodies
PNPLA3 for Homo sapiens (Human)
| 產品貨號 | 產品名稱 | 種屬反應性 | 應用類型 |
|---|---|---|---|
| CSB-PA889106ESR1HU | PNPLA3 Antibody | Human | ELISA, WB, IHC |
| CSB-PA154215 | PNPLA3 Antibody | Human, Mouse | WB, ELISA |
PNPLA3 Proteins
PNPLA3 Proteins for Homo sapiens (Human)
| 產品貨號 | 產品名稱 | 來源 |
|---|---|---|
| CSB-YP889106HU CSB-BP889106HU CSB-MP889106HU CSB-EP889106HU-B |
Recombinant Human 1-acylglycerol-3-phosphate O-acyltransferase PNPLA3 (PNPLA3), partial | Yeast Baculovirus Mammalian cell In Vivo Biotinylation in E.coli |
| CSB-EP889106HU | Recombinant Human 1-acylglycerol-3-phosphate O-acyltransferase PNPLA3 (PNPLA3), partial | E.coli |
| CSB-MP889106HU(A4)(M) | Recombinant Human 1-acylglycerol-3-phosphate O-acyltransferase PNPLA3 (PNPLA3) ((I148M)) | Mammalian cell |
| CSB-BP889106HU(A4)(M)c7 | Recombinant Human 1-acylglycerol-3-phosphate O-acyltransferase PNPLA3 (PNPLA3)(I148M) | Baculovirus |
| CSB-BP889106HU(A4)(M)d7 | Recombinant Human 1-acylglycerol-3-phosphate O-acyltransferase PNPLA3 (PNPLA3) (I148M) | Baculovirus |






