PLIN2
PLIN2,即脂蛋白2,別名ADFP、ADRP等。PLIN2與脂質球表面膜物質有關,可能參與脂肪組織的發育和維持。PLIN2不僅存在于脂肪細胞中,還在多種培養細胞系和組織中發現,包括成纖維細胞、內皮細胞、上皮細胞以及哺乳期乳腺、腎上腺皮質、Sertoli和Leydig細胞,以及酒精性肝硬化中的肝細胞,表明它可以作為多種細胞類型和疾病中脂質積累的標志物。PLIN2的表達和活性受到多重因素的調控,如氧化低密度脂蛋白(ox-LDL)、二十二碳六烯酸(DHA)以及自噬都可以影響PLIN2和甘油三酯(TG)的水平。PLIN2在脂類代謝中的具體調控作用對于解決脂質蓄積所引起的早期動脈粥樣硬化病征具有重要意義。
熱銷產品
PLIN2 Antibody (CSB-PA860767ESR1HU)
驗證數據
Western blot
All lanes: PLIN2 antibody at 4μg/ml
Lane 1: HepG2 whole cell lysate
Lane 2: Hela whole cell lysate
Secondary
Goat polyclonal to rabbit IgG at 1/10000 dilution
Predicted band size: 48 kDa
Observed band size: 48 kDa
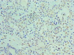
Immunohistochemistry of paraffin-embedded human breast cancer using CSB-PA860767ESR1HU at dilution of 1:100
PLIN2 Antibodies
PLIN2 for Homo sapiens (Human)
| 產品貨號 | 產品名稱 | 種屬反應性 | 應用類型 |
|---|---|---|---|
| CSB-PA860767ESR1HU | PLIN2 Antibody | Human | ELISA, WB, IHC |
| CSB-PA065885 | PLIN2 Antibody | Human,Mouse | ELISA,WB,IHC |
| CSB-PA777514 | PLIN2 Antibody | Human,Mouse | ELISA,WB,IHC |
| CSB-PA949559 | PLIN2 Antibody | Human,Mouse | ELISA,WB,IHC |
| CSB-PA920084 | PLIN2 Antibody | Human,Mouse | ELISA,WB,IHC |
PLIN2 Proteins
PLIN2 Proteins for Mus musculus (Mouse)
| 產品貨號 | 產品名稱 | 來源 |
|---|---|---|
| CSB-YP337564MO CSB-BP337564MO CSB-EP337564MO-B |
Recombinant Mouse Perilipin-2 (Plin2) | Yeast Baculovirus In Vivo Biotinylation in E.coli |
PLIN2 Proteins for Sus scrofa (Pig)
| 產品貨號 | 產品名稱 | 來源 |
|---|---|---|
| CSB-YP703003PI CSB-EP703003PI CSB-BP703003PI CSB-MP703003PI CSB-EP703003PI-B |
Recombinant Pig Perilipin-2 (PLIN2) | Yeast E.coli Baculovirus Mammalian cell In Vivo Biotinylation in E.coli |
PLIN2 Proteins for Homo sapiens (Human)
| 產品貨號 | 產品名稱 | 來源 |
|---|---|---|
| CSB-YP860767HU CSB-EP860767HU CSB-BP860767HU CSB-MP860767HU CSB-EP860767HU-B |
Recombinant Human Perilipin-2 (PLIN2) | Yeast E.coli Baculovirus Mammalian cell In Vivo Biotinylation in E.coli |
PLIN2 Proteins for Bos taurus (Bovine)
| 產品貨號 | 產品名稱 | 來源 |
|---|---|---|
| CSB-YP883307BO CSB-EP883307BO CSB-BP883307BO CSB-MP883307BO CSB-EP883307BO-B |
Recombinant Bovine Perilipin-2 (PLIN2) | Yeast E.coli Baculovirus Mammalian cell In Vivo Biotinylation in E.coli |
PLIN2 ELISA Kit
PLIN2 ELISA Kit for Homo sapiens (Human)
| 產品貨號 | 產品名稱 | 樣本類型 | 靈敏度 |
|---|---|---|---|
| CSB-E09351h | Human adipose differentiation-related protein,ADRP ELISA Kit | serum, urine, cell culture supernates, tissue homogenates | 0.78 ng/mL |






