PKM
PKM,即丙酮酸激酶M,別名PKM2。它是一種由PKM基因編碼的酶,屬于丙酮酸激酶家族成員,在細胞的糖酵解過程中發揮關鍵作用。PKM的作用機制涉及催化磷酸烯醇式丙酮酸(PEP)與ADP反應生成ATP和丙酮酸,是糖酵解途徑中的一個關鍵步驟。PKM在細胞核和細胞質中均有分布,其活性形式為四聚體。PKM的異常表達或活性改變與多種疾病有關,尤其是在癌癥中,PKM的表達水平和活性的調節與腫瘤細胞的代謝重編程和增殖能力有關。PKM也是代謝疾病和炎癥性疾病研究中的一個潛在靶點。
熱銷產品
Recombinant Human Pyruvate kinase PKM (PKM), partial (CSB-EP018072HU1)
驗證數據
(Tris-Glycine gel) Discontinuous SDS-PAGE (reduced) with 5% enrichment gel and 15% separation gel.
PKM Antibody (CSB-PA02949A0Rb)
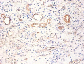
驗證數據
Immunohistochemistry of paraffin-embedded human kidney tissue using CSB-PA02949A0Rb at dilution of 1:100
Immunofluorescent analysis of Hela cells using CSB-PA02949A0Rb at dilution of 1:100 and Alexa Fluor 488-congugated AffiniPure Goat Anti-Rabbit IgG(H+L)
PKM Antibodies
PKM for Homo sapiens (Human)
| 產品貨號 | 產品名稱 | 種屬反應性 | 應用類型 |
|---|---|---|---|
| CSB-PA018072GA01HU | PKM Antibody | Human,Mouse,Rat | ELISA,WB |
| CSB-PA02949A0Rb | PKM Antibody | Human | ELISA, IHC, IF |
| CSB-PA02949B0Rb | PKM Antibody, HRP conjugated | Human | ELISA |
| CSB-PA02949D0Rb | PKM Antibody, Biotin conjugated | Human | ELISA |
| CSB-PA143103 | PKM Antibody | Human,Mouse | ELISA,WB,IF |
| CSB-PA794840 | PKM Antibody | Human | ELISA,WB |
| CSB-PA779576 | Phospho-PKM (Ser37) Antibody | Human | ELISA,WB,IF |
| CSB-PA003808 | PKM Antibody | Human,Mouse,Rat | WB, ELISA |
| CSB-PA057752 | PKM Antibody | Human,Mouse,Rat | ELISA,WB,IHC |
| CSB-PA999488 | PKM Antibody | Human,Mouse,Rat | ELISA,WB,IHC |
| CSB-PA292244 | PKM Antibody | Human,Mouse,Rat | ELISA,WB,IHC |
| CSB-PA067622 | PKM Antibody | Human,Mouse,Rat | ELISA,WB,IHC |
| CSB-PA018072DA01HU | PKM Antibody | Human, Mouse | ELISA, WB, IHC, IF |
| CSB-PA018072DB01HU | PKM Antibody, HRP conjugated | Human | ELISA |
| CSB-PA018072DC01HU | PKM Antibody, FITC conjugated | Human | |
| CSB-PA018072DD01HU | PKM Antibody, Biotin conjugated | Human | ELISA |
| CSB-MA018072A0m | PKM Monoclonal Antibody | Human, Rat, Mouse, Rabbit | ELISA, WB, IHC, IF, FC, IP |
| CSB-MA018072A1m | PKM Monoclonal Antibody | Human, Mouse | ELISA, WB, IHC, IF, FC, IP |
| CSB-RA632595A0HU | PKM Recombinant Monoclonal Antibody | Human, Mouse | ELISA, WB, IHC, IF, FC, IP |
PKM Proteins
PKM Proteins for Felis catus (Cat) (Felis silvestris catus)
| 產品貨號 | 產品名稱 | 來源 |
|---|---|---|
| CSB-YP018072CA CSB-EP018072CA CSB-BP018072CA CSB-MP018072CA CSB-EP018072CA-B |
Recombinant Cat Pyruvate kinase isozyme M1 (PKM2), partial | Yeast E.coli Baculovirus Mammalian cell In Vivo Biotinylation in E.coli |
PKM Proteins for Oryctolagus cuniculus (Rabbit)
| 產品貨號 | 產品名稱 | 來源 |
|---|---|---|
| CSB-YP018072RB CSB-EP018072RB CSB-BP018072RB CSB-MP018072RB CSB-EP018072RB-B |
Recombinant Rabbit Pyruvate kinase isozymes M1/M2 (PKM2), partial | Yeast E.coli Baculovirus Mammalian cell In Vivo Biotinylation in E.coli |
PKM Proteins for Mus musculus (Mouse)
| 產品貨號 | 產品名稱 | 來源 |
|---|---|---|
| CSB-YP018072MO CSB-EP018072MO-B |
Recombinant Mouse Pyruvate kinase isozymes M1/M2 (Pkm2) | Yeast In Vivo Biotinylation in E.coli |
| CSB-EP018072MO | Recombinant Mouse Pyruvate kinase PKM (Pkm) | E.coli |
| CSB-BP018072MO | Recombinant Mouse Pyruvate kinase PKM (Pkm) | Baculovirus |
| CSB-MP018072MO | Recombinant Mouse Pyruvate kinase PKM (Pkm) | Mammalian cell |
PKM Proteins for Gallus gallus (Chicken)
| 產品貨號 | 產品名稱 | 來源 |
|---|---|---|
| CSB-YP018072CH CSB-EP018072CH CSB-BP018072CH CSB-MP018072CH CSB-EP018072CH-B |
Recombinant Chicken Pyruvate kinase muscle isozyme (PKM2), partial | Yeast E.coli Baculovirus Mammalian cell In Vivo Biotinylation in E.coli |
PKM Proteins for Rattus norvegicus (Rat)
| 產品貨號 | 產品名稱 | 來源 |
|---|---|---|
| CSB-YP018072RA CSB-EP018072RA-B |
Recombinant Rat Pyruvate kinase isozymes M1/M2 (Pkm2) | Yeast In Vivo Biotinylation in E.coli |
| CSB-EP018072RA | Recombinant Rat Pyruvate kinase PKM (Pkm) | E.coli |
| CSB-BP018072RA | Recombinant Rat Pyruvate kinase PKM (Pkm) | Baculovirus |
| CSB-MP018072RA | Recombinant Rat Pyruvate kinase PKM (Pkm) | Mammalian cell |
PKM Proteins for Pongo abelii (Sumatran orangutan)
| 產品貨號 | 產品名稱 | 來源 |
|---|---|---|
| CSB-YP683784PYX CSB-EP683784PYX CSB-BP683784PYX CSB-MP683784PYX CSB-EP683784PYX-B |
Recombinant Pongo abelii Pyruvate kinase isozyme M1 (PKM2), partial | Yeast E.coli Baculovirus Mammalian cell In Vivo Biotinylation in E.coli |
PKM Proteins for Xenopus laevis (African clawed frog)
| 產品貨號 | 產品名稱 | 來源 |
|---|---|---|
| CSB-YP852837XBE CSB-EP852837XBE CSB-BP852837XBE CSB-MP852837XBE CSB-EP852837XBE-B |
Recombinant Xenopus laevis Pyruvate kinase muscle isozyme (pkm), partial | Yeast E.coli Baculovirus Mammalian cell In Vivo Biotinylation in E.coli |
PKM Proteins for Homo sapiens (Human)
| 產品貨號 | 產品名稱 | 來源 |
|---|---|---|
| CSB-EP018072HU | Recombinant Human Pyruvate kinase PKM (PKM) | E.coli |
| CSB-EP018072HU1 | Recombinant Human Pyruvate kinase PKM (PKM), partial | E.coli |
PKM ELISA Kit
PKM ELISA Kit for Homo sapiens (Human)
| 產品貨號 | 產品名稱 | 樣本類型 | 靈敏度 |
|---|---|---|---|
| CSB-E08377h | Human Pyruvate Kinase,M2-PK ELISA Kit | serum, plasma, tissue homogenates | 0.225 U/mL |






