PHGDH
PHGDH,即磷酸甘油酸脫氫酶,別名NLS、PDG、PGD、NLS1、PGAD、PGDH、SERA、3PGDH。PHGDH是絲氨酸合成途徑中的關鍵酶,負責將糖酵解中間產物3-磷酸甘油酸(3-PG)轉化為3-磷酸羥基丙酮酸(3-PHP),進而參與L-絲氨酸的合成。PHGDH需要NAD/NADH作為輔因子,并形成活性四聚體。PHGDH是絲氨酸生物合成途徑中唯一的限速酶,其活性對于維持細胞內絲氨酸水平至關重要。絲氨酸是D-絲氨酸和其他氨基酸合成的前體,對細胞生長和分化非常重要。PHGDH的異常表達與多種疾病相關,包括先天性小頭畸形和精神運動遲緩。在腫瘤細胞中,PHGDH的高表達與癌細胞的增殖、遷移和侵襲能力增強有關。
熱銷產品
Recombinant Human D-3-phosphoglycerate dehydrogenase (PHGDH), partial (CSB-EP017920HU1)
驗證數據
(Tris-Glycine gel) Discontinuous SDS-PAGE (reduced) with 5% enrichment gel and 15% separation gel.
PHGDH Antibody (CSB-PA03255A0Rb)
驗證數據
Western blot
All lanes: PHGDH antibody at 2µg/ml
Lane 1: EC109 whole cell lysate
Lane 2: 293T whole cell lysate
Secondary
Goat polyclonal to rabbit IgG at 1/15000 dilution
Predicted band size: 57 kDa
Observed band size: 57 kDa
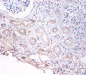
Immunohistochemistry of paraffin-embedded human kidney tissue using CSB-PA03255A0Rb at dilution of 1:100
Immunofluorescent analysis of MCF-7 cells using CSB-PA03255A0Rb at dilution of 1:100 and Alexa Fluor 488-congugated AffiniPure Goat Anti-Rabbit IgG(H+L)
Immunofluorescent analysis of PC-3 cells using CSB-PA03255A0Rb at dilution of 1:100 and Alexa Fluor 488-congugated AffiniPure Goat Anti-Rabbit IgG(H+L)
PHGDH Antibodies
PHGDH for Homo sapiens (Human)
| 產品貨號 | 產品名稱 | 種屬反應性 | 應用類型 |
|---|---|---|---|
| CSB-PA03255A0Rb | PHGDH Antibody | Human | ELISA, WB, IHC, IF |
| CSB-PA03255D0Rb | PHGDH Antibody, Biotin conjugated | Human | ELISA |
| CSB-PA03257A0Rb | PHGDH Antibody | Human | ELISA, WB, IHC |
| CSB-PA03257D0Rb | PHGDH Antibody, Biotin conjugated | Human | ELISA |
| CSB-PA017920GA01HU | PHGDH Antibody | Human,Mouse,Rat | ELISA,WB,IHC |
| CSB-PA794903 | PHGDH Antibody | Human,Mouse,Rat | ELISA,WB |
| CSB-PA056095 | PHGDH Antibody | Human,Mouse,Rat | ELISA,WB |
PHGDH Proteins
PHGDH Proteins for Homo sapiens (Human)
| 產品貨號 | 產品名稱 | 來源 |
|---|---|---|
| CSB-YP017920HU CSB-EP017920HU CSB-BP017920HU CSB-MP017920HU CSB-EP017920HU-B |
Recombinant Human D-3-phosphoglycerate dehydrogenase (PHGDH) | Yeast E.coli Baculovirus Mammalian cell In Vivo Biotinylation in E.coli |
| CSB-EP017920HU1 | Recombinant Human D-3-phosphoglycerate dehydrogenase (PHGDH), partial | E.coli |
| CSB-EP017920HU1c0 | Recombinant Human D-3-phosphoglycerate dehydrogenase (PHGDH), partial | E.coli |






