PGLYRP1
肽聚糖識別蛋白1(PGLYRP1)是一種先天性免疫系統的重要效應分子,也被稱為PGRP-S或Tag7。該蛋白能夠特異性識別細菌細胞壁的肽聚糖成分,通過直接結合病原微生物觸發殺菌活性,例如誘導溶菌酶釋放或破壞細菌膜結構。其功能不依賴傳統免疫細胞介導,在皮膚、呼吸道和腸道等屏障組織中廣泛表達,構成人體抵御感染的第一道防線。
PGLYRP1的表達異常與多種炎癥性疾病相關。在類風濕性關節炎患者的關節滑液中可檢測到該蛋白水平升高,其促炎特性可能加劇關節損傷。相反,銀屑病和炎癥性腸病患者病灶部位常出現PGLYRP1表達下調,提示其免疫調節功能的缺失。近年來,基于該蛋白的雙向調控特性,科學家正探索其在膿毒癥和癌癥中的治療潛力。例如,利用重組PGLYRP1增強抗生素療效的研究已進入臨床前階段,而針對其促癌轉移活性的單抗藥物也在開發中,為免疫相關疾病提供了新的干預思路。
熱銷產品
Recombinant Human Peptidoglycan recognition protein 1 (PGLYRP1) (CSB-EP017862HU)
驗證數據
(Tris-Glycine gel) Discontinuous SDS-PAGE (reduced) with 5% enrichment gel and 15% separation gel.
PGLYRP1 Antibody (CSB-PA017862LA01HU)
驗證數據
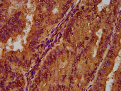
IHC image of CSB-PA017862LA01HU diluted at 1:300 and staining in paraffin-embedded human endometrial cancer performed on a Leica BondTM system. After dewaxing and hydration, antigen retrieval was mediated by high pressure in a citrate buffer (pH 6.0). Section was blocked with 10% normal goat serum 30min at RT. Then primary antibody (1% BSA) was incubated at 4°C overnight. The primary is detected by a biotinylated secondary antibody and visualized using an HRP conjugated SP system.
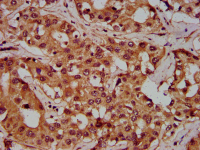
IHC image of CSB-PA017862LA01HU diluted at 1:300 and staining in paraffin-embedded human liver cancer performed on a Leica BondTM system. After dewaxing and hydration, antigen retrieval was mediated by high pressure in a citrate buffer (pH 6.0). Section was blocked with 10% normal goat serum 30min at RT. Then primary antibody (1% BSA) was incubated at 4°C overnight. The primary is detected by a biotinylated secondary antibody and visualized using an HRP conjugated SP system.
PGLYRP1 Antibodies
PGLYRP1 for Homo sapiens (Human)
| 產品貨號 | 產品名稱 | 種屬反應性 | 應用類型 |
|---|---|---|---|
| CSB-PA603901 | PGLYRP1 Antibody | Human,Mouse,Rat | ELISA,WB |
| CSB-PA281298 | PGLYRP1 Antibody | Human,Mouse,Rat | ELISA,IHC |
| CSB-PA406529 | PGLYRP1 Antibody | Human | WB, ELISA |
| CSB-PA017862LA01HU | PGLYRP1 Antibody | Human | ELISA, IHC |
| CSB-PA017862LB01HU | PGLYRP1 Antibody, HRP conjugated | Human | ELISA |
| CSB-PA017862LC01HU | PGLYRP1 Antibody, FITC conjugated | Human | |
| CSB-PA017862LD01HU | PGLYRP1 Antibody, Biotin conjugated | Human | ELISA |
PGLYRP1 Proteins
PGLYRP1 Proteins for Homo sapiens (Human)
| 產品貨號 | 產品名稱 | 來源 |
|---|---|---|
| CSB-YP017862HU CSB-BP017862HU CSB-MP017862HU CSB-EP017862HU-B |
Recombinant Human Peptidoglycan recognition protein 1 (PGLYRP1) | Yeast Baculovirus Mammalian cell In Vivo Biotinylation in E.coli |
| CSB-EP017862HU | Recombinant Human Peptidoglycan recognition protein 1 (PGLYRP1) | E.coli |






