PCIF1
PCIF1,全稱為磷酸化C端結構域相互作用因子1,也被稱為mtTFB1。該蛋白在細胞內主要參與m6A修飾,這是一種重要的RNA修飾方式,對基因表達調控具有重要作用。PCIF1的異常表達與多種疾病相關,如胃癌、腎細胞癌等。近期的研究表明,PCIF1在胃癌的發生和發展中起著重要作用,可能是胃癌的重要生物標志物及治療靶點。針對PCIF1的藥物研發正在逐步推進,有望為相關疾病的治療提供新的策略。
熱銷產品
PCIF1 Antibody (CSB-PA884471LA01HU)
驗證數據
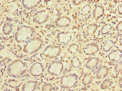
Immunohistochemistry of paraffin-embedded human small intestine tissue using CSB-PA884471LA01HU at dilution of 1:100
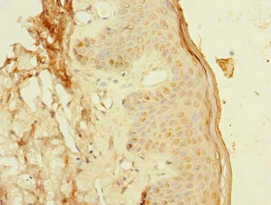
Immunohistochemistry of paraffin-embedded human skin tissue using CSB-PA884471LA01HU at dilution of 1:100
PCIF1 Antibodies
PCIF1 for Homo sapiens (Human)
| 產品貨號 | 產品名稱 | 種屬反應性 | 應用類型 |
|---|---|---|---|
| CSB-PA017612GA01HU | PCIF1 Antibody | Human,Mouse | ELISA,WB,IHC |
| CSB-PA884471LA01HU | PCIF1 Antibody | Human | ELISA, IHC |
| CSB-PA884471LD01HU | PCIF1 Antibody, Biotin conjugated | Human | ELISA |
| CSB-PA884471LC01HU | PCIF1 Antibody, FITC conjugated | Human | |
| CSB-PA884471LB01HU | PCIF1 Antibody, HRP conjugated | Human | ELISA |
PCIF1 Proteins
PCIF1 Proteins for Homo sapiens (Human)
| 產品貨號 | 產品名稱 | 來源 |
|---|---|---|
| CSB-YP884471HU CSB-EP884471HU CSB-BP884471HU CSB-MP884471HU CSB-EP884471HU-B |
Recombinant Human mRNA (2\'-O-methyladenosine-N (6)-)-methyltransferase (PCIF1) | Yeast E.coli Baculovirus Mammalian cell In Vivo Biotinylation in E.coli |






