PBK
PBK,全稱為PDZ結合激酶(PDZ-binding kinase),也被稱為TOPK(T-lymphokine-activated killer cell-originated protein kinase)。該蛋白在細胞增殖和細胞周期進程中發揮重要作用,與多種疾病的發生發展密切相關。近年來,研究發現PBK蛋白在薄型內膜疾病中表達顯著下降,可能成為診斷和治療該疾病的潛在靶點。此外,PBK蛋白還在肝細胞癌中表現出作為生物標志物的價值,其表達水平與腫瘤的進展和免疫微環境密切相關。目前,針對PBK蛋白的藥物研發也在積極推進中,例如Pharmbio Korea Co Ltd研發的小分子藥物PBK-1801正處于臨床研究階段。這些研究為PBK蛋白相關疾病的治療提供了新的思路和策略。
熱銷產品
驗證數據
(Tris-Glycine gel) Discontinuous SDS-PAGE (reduced) with 5% enrichment gel and 15% separation gel.
PBK Antibody (CSB-PA822241DSR1HU)
驗證數據
Western blot
All lanes: PBK antibody at 6μg/ml
Lane 1: Hela whole cell lysate
Lane 2: Mouse gonad tissue
Secondary
Goat polyclonal to rabbit IgG at 1/10000 dilution
Predicted band size: 37, 38 kDa
Observed band size: 37 kDa
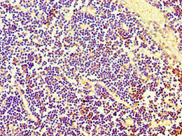
Immunohistochemistry of paraffin-embedded human tonsil tissue using CSB-PA822241DSR1HU at dilution of 1:100
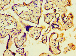
Immunohistochemistry of paraffin-embedded human placenta tissue using CSB-PA822241DSR1HU at dilution of 1:100
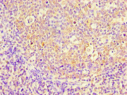
Immunohistochemistry of paraffin-embedded human thymus tissue using CSB-PA822241DSR1HU at dilution of 1:100
PBK Antibodies
PBK for Homo sapiens (Human)
| 產品貨號 | 產品名稱 | 種屬反應性 | 應用類型 |
|---|---|---|---|
| CSB-PA017500GA01HU | PBK Antibody | Human,Mouse,Rat | ELISA,WB,IHC,IF |
| CSB-PA822241DSR1HU | PBK Antibody | Human, Mouse | ELISA, WB, IHC |
| CSB-PA030267 | Phospho-PBK (T9) Antibody | Human | WB, IHC, ELISA |
| CSB-PA030268 | PBK Antibody | Human,Monkey | WB, IHC, ELISA |
PBK Proteins
PBK Proteins for Homo sapiens (Human)
| 產品貨號 | 產品名稱 | 來源 |
|---|---|---|
| CSB-YP822241HU CSB-BP822241HU CSB-MP822241HU CSB-EP822241HU-B |
Recombinant Human Lymphokine-activated killer T-cell-originated protein kinase (PBK) | Yeast Baculovirus Mammalian cell In Vivo Biotinylation in E.coli |
| CSB-EP822241HU | Recombinant Human Lymphokine-activated killer T-cell-originated protein kinase (PBK) | E.coli |
| CSB-EP822241HUb0 | Recombinant Human Lymphokine-activated killer T-cell-originated protein kinase (PBK) | E.coli |






