PADI4
PIK3C3,即肽?;彼崦搧啺泵?,別名PAD4、PDI4、PDI5、PADI5。PIK3C3由人類PADI4基因編碼,該基因位于1號染色體的p36.13區域。PIK3C3是一種鈣依賴性酶,通過催化精氨酸殘基向瓜氨酸殘基的轉化過程,參與蛋白質的瓜氨酸化這一翻譯后修飾。PIK3C3通過組蛋白瓜氨酸化調節基因轉錄活性,影響多種疾病的發生和發展,包括自身免疫性疾病、腫瘤、急性冠狀動脈綜合征等。PIK3C3的異常調節與類風濕關節炎、腫瘤發展和多發性硬化癥等多種疾病相關,被認為是治療這些疾病的潛在靶點。
熱銷產品
Recombinant Human Protein-arginine deiminase type-4 (PADI4) (CSB-EP890757HU)
驗證數據
(Tris-Glycine gel) Discontinuous SDS-PAGE (reduced) with 5% enrichment gel and 15% separation gel.
PADI4 Antibody (CSB-PA890757ESR2HU)
驗證數據
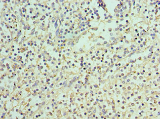
Immunohistochemistry of paraffin-embedded human breast cancer using CSB-PA890757ESR2HU at dilution of 1:100
Immunohistochemistry of paraffin-embedded human spleen tissue using CSB-PA890757ESR2HU at dilution of 1:100
Human protein-arginine deiminase type-4(PADI4) ELISA kit (CSB-E16219h)
驗證數據
貨號:CSB-E16219h
規格:96T/48T
靈敏度:0.039 ng/mL
檢測范圍:0.156 ng/mL-10 ng/mL
These standard curves are provided for demonstration only. A standard curve should be generated for each set of samples assayed.
PADI4 Antibodies
PADI4 for Homo sapiens (Human)
| 產品貨號 | 產品名稱 | 種屬反應性 | 應用類型 |
|---|---|---|---|
| CSB-PA890757ESR2HU | PADI4 Antibody | Human | ELISA, IHC |
| CSB-PA266740 | PADI4 Antibody | Human | ELISA,WB,IHC |
| CSB-PA555877 | PADI4 Antibody | Human | ELISA,IHC |
PADI4 Proteins
PADI4 Proteins for Homo sapiens (Human)
| 產品貨號 | 產品名稱 | 來源 |
|---|---|---|
| CSB-YP890757HU CSB-BP890757HU CSB-EP890757HU-B |
Recombinant Human Protein-arginine deiminase type-4 (PADI4) | Yeast Baculovirus In Vivo Biotinylation in E.coli |
| CSB-EP890757HU | Recombinant Human Protein-arginine deiminase type-4 (PADI4) | E.coli |
PADI4 ELISA Kit
PADI4 ELISA Kit for Homo sapiens (Human)
| 產品貨號 | 產品名稱 | 樣本類型 | 靈敏度 |
|---|---|---|---|
| CSB-E16219h | Human protein-arginine deiminase type-4(PADI4) ELISA kit | serum, urine, cell culture supernates | 0.039 ng/mL |






