NUP98
NUP98,即核孔蛋白98,別名ADAR2、ANUP96、Nup98。NUP98是核孔復合體(NPC)的重要組成部分,主要存在于NPC的胞質區及核質區內。NUP98在NPC的組裝和/或維護中發揮作用,Nup98和Nup96參與雙向跨NPC的運輸。NUP98對RNA從細胞核向細胞質的運輸調控作用,其N末端的FG重復結構域是跨核運輸的大分子在NPC上的錨定位點,而C末端含有RNA的結合序列,參與RNA核漿運輸。NUP98的異常表達或融合基因的形成與多種髓系腫瘤的發生發展相關,其通過染色體易位等方式形成融合基因,在多種信號分子的相互作用下,調控下游轉錄因子表達,從而干擾細胞的有絲分裂、基因轉錄及核漿運輸等過程。
熱銷產品
Recombinant Human Nuclear pore complex protein Nup98-Nup96 (NUP98), partial (CSB-MP016209HU)
驗證數據
(Tris-Glycine gel) Discontinuous SDS-PAGE (reduced) with 5% enrichment gel and 15% separation gel.
NUP98 Recombinant Monoclonal Antibody (CSB-RA995655A0HU)
驗證數據
Western Blot
Positive WB detected in: K562 whole cell lysate, Hela whole cell lysate
All lanes: NUP98 antibody at 1:1000
Secondary
Goat polyclonal to rabbit IgG at 1/50000 dilution
Predicted band size: 198, 188, 98, 97, 196, 187 kDa
Observed band size: 100 kDa
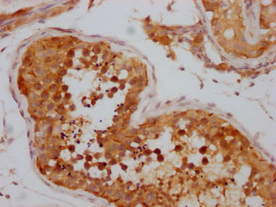
IHC image of CSB-RA995655A0HU diluted at 1:100 and staining in paraffin-embedded human testis tissue performed on a Leica BondTM system. After dewaxing and hydration, antigen retrieval was mediated by high pressure in a citrate buffer (pH 6.0). Section was blocked with 10% normal goat serum 30min at RT. Then primary antibody (1% BSA) was incubated at 4℃ overnight. The primary is detected by a Goat anti-rabbit IgG polymer labeled by HRP and visualized using 0.05% DAB.
Immunofluorescence staining of Hela Cells with CSB-RA995655A0HU at 1:50, counter-stained with DAPI. The cells were fixed in 4% formaldehyde, permeated by 0.2% TritonX-100, and blocked in 10% normal Goat Serum. The cells were then incubated with the antibody overnight at 4℃. Nuclear DNA was labeled in blue with DAPI. The secondary antibody was FITC-conjugated AffiniPure Goat Anti-Rabbit IgG (H+L).
NUP98 Antibodies
NUP98 for Homo sapiens (Human)
| 產品貨號 | 產品名稱 | 種屬反應性 | 應用類型 |
|---|---|---|---|
| CSB-PA282096 | NUP98 Antibody | Human,Mouse,Rat | ELISA,WB |
| CSB-PA140909 | NUP98 Antibody | Human,Mouse,Rat | ELISA,WB |
| CSB-PA016209LA01HU | NUP98 Antibody | Human | ELISA, WB, IF, IP |
| CSB-PA016209LB01HU | NUP98 Antibody, HRP conjugated | Human | ELISA |
| CSB-PA016209LC01HU | NUP98 Antibody, FITC conjugated | Human | |
| CSB-PA016209LD01HU | NUP98 Antibody, Biotin conjugated | Human | ELISA |
| CSB-RA995655A0HU | NUP98 Recombinant Monoclonal Antibody | Human | ELISA, WB, IHC, IF |
NUP98 Proteins
NUP98 Proteins for Rattus norvegicus (Rat)
| 產品貨號 | 產品名稱 | 來源 |
|---|---|---|
| CSB-YP016209RA CSB-EP016209RA CSB-BP016209RA CSB-MP016209RA CSB-EP016209RA-B |
Recombinant Rat Nuclear pore complex protein Nup98-Nup96 (Nup98), partial | Yeast E.coli Baculovirus Mammalian cell In Vivo Biotinylation in E.coli |
NUP98 Proteins for Homo sapiens (Human)
| 產品貨號 | 產品名稱 | 來源 |
|---|---|---|
| CSB-YP016209HU CSB-EP016209HU CSB-BP016209HU CSB-EP016209HU-B |
Recombinant Human Nuclear pore complex protein Nup98-Nup96 (NUP98), partial | Yeast E.coli Baculovirus In Vivo Biotinylation in E.coli |
| CSB-MP016209HU | Recombinant Human Nuclear pore complex protein Nup98-Nup96 (NUP98), partial | Mammalian cell |
NUP98 Proteins for Dictyostelium discoideum (Slime mold)
| 產品貨號 | 產品名稱 | 來源 |
|---|---|---|
| CSB-YP690541DKK CSB-EP690541DKK CSB-BP690541DKK CSB-MP690541DKK CSB-EP690541DKK-B |
Recombinant Dictyostelium discoideum Nuclear pore complex protein Nup98-Nup96 (nup98), partial | Yeast E.coli Baculovirus Mammalian cell In Vivo Biotinylation in E.coli |






