NPR1
NPR1,全稱為利鈉肽受體1(Natriuretic Peptide Receptor 1),也被稱為利鈉肽受體A型(NPR-A)。該蛋白主要參與心血管系統的調節,對血壓和靜脈張力有重要影響。NPR1蛋白能夠與心房利鈉肽(ANP)和腦利鈉肽(BNP)結合,激活下游信號通路,促進血管舒張、利尿排鈉和降低血壓。NPR1蛋白在心力衰竭的治療中具有巨大潛力,相關藥物如REGN5381和XXB750等,通過激活NPR1蛋白,能夠有效降低靜脈壓力,改善心力衰竭患者的血液動力學狀態。此外,NPR1蛋白還與腎臟疾病相關,研究表明,靶向NPR1蛋白的治療策略能夠改善腎臟損傷和纖維化。目前,針對NPR1蛋白的藥物研發仍在進行中,未來有望為心血管疾病和腎臟疾病患者帶來新的治療選擇。
熱銷產品
Recombinant Human Atrial natriuretic peptide receptor 1 (NPR1), partial (CSB-EP016023HUc7)
驗證數據
(Tris-Glycine gel) Discontinuous SDS-PAGE (reduced) with 5% enrichment gel and 15% separation gel.
驗證數據
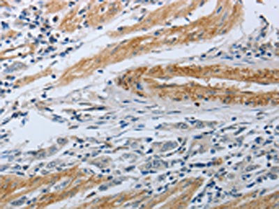
The image on the left is immunohistochemistry of paraffin-embedded Human brain tissue using CSB-PA934625(NPR1 Antibody) at dilution 1/30, on the right is treated with synthetic peptide. (Original magnification: ×200)
The image on the left is immunohistochemistry of paraffin-embedded Human gastric cancer tissue using CSB-PA934625(NPR1 Antibody) at dilution 1/30, on the right is treated with synthetic peptide. (Original magnification: ×200)
NPR1 Antibodies
NPR1 for Homo sapiens (Human)
| 產品貨號 | 產品名稱 | 種屬反應性 | 應用類型 |
|---|---|---|---|
| CSB-PA016023LA01HU | NPR1 Antibody | Human | ELISA |
| CSB-PA016023LB01HU | NPR1 Antibody, HRP conjugated | Human | ELISA |
| CSB-PA016023LC01HU | NPR1 Antibody, FITC conjugated | Human | |
| CSB-PA016023LD01HU | NPR1 Antibody, Biotin conjugated | Human | ELISA |
| CSB-PA090777 | NPR1 Antibody | Human,Mouse,Rat | ELISA,IHC |
| CSB-PA934625 | NPR1 Antibody | Human,Mouse,Rat | ELISA,IHC |
NPR1 Proteins
NPR1 Proteins for Mus musculus (Mouse)
| 產品貨號 | 產品名稱 | 來源 |
|---|---|---|
| CSB-YP016023MO CSB-EP016023MO CSB-BP016023MO CSB-EP016023MO-B |
Recombinant Mouse Atrial natriuretic peptide receptor 1 (Npr1), partial | Yeast E.coli Baculovirus In Vivo Biotinylation in E.coli |
NPR1 Proteins for Homo sapiens (Human)
| 產品貨號 | 產品名稱 | 來源 |
|---|---|---|
| CSB-YP016023HU | Recombinant Human Atrial natriuretic peptide receptor 1 (NPR1), partial | Yeast |
| CSB-EP016023HU | Recombinant Human Atrial natriuretic peptide receptor 1 (NPR1), partial | E.coli |
| CSB-BP016023HU CSB-EP016023HU-B |
Recombinant Human Atrial natriuretic peptide receptor 1 (NPR1), partial | Baculovirus In Vivo Biotinylation in E.coli |
| CSB-EP016023HUc7 | Recombinant Human Atrial natriuretic peptide receptor 1 (NPR1), partial | E.coli |
| CSB-EP016023HUi8 | Recombinant Human Atrial natriuretic peptide receptor 1 (NPR1), partial | E.coli |
| CSB-MP016023HU | Recombinant Human Atrial natriuretic peptide receptor 1 (NPR1), Partial | Mammalian cell |
NPR1 Proteins for Rattus norvegicus (Rat)
| 產品貨號 | 產品名稱 | 來源 |
|---|---|---|
| CSB-YP016023RA CSB-EP016023RA CSB-BP016023RA CSB-MP016023RA CSB-EP016023RA-B |
Recombinant Rat Atrial natriuretic peptide receptor 1 (Npr1), partial | Yeast E.coli Baculovirus Mammalian cell In Vivo Biotinylation in E.coli |
NPR1 Proteins for Arabidopsis thaliana (Mouse-ear cress)
| 產品貨號 | 產品名稱 | 來源 |
|---|---|---|
| CSB-YP308617DOA CSB-EP308617DOA CSB-BP308617DOA CSB-MP308617DOA CSB-EP308617DOA-B |
Recombinant Arabidopsis thaliana Regulatory protein NPR1 (NPR1), partial | Yeast E.coli Baculovirus Mammalian cell In Vivo Biotinylation in E.coli |
NPR1 Proteins for Saccharomyces cerevisiae (strain ATCC 204508 / S288c) (Baker's yeast)
| 產品貨號 | 產品名稱 | 來源 |
|---|---|---|
| CSB-YP324355SVG CSB-EP324355SVG CSB-BP324355SVG CSB-MP324355SVG CSB-EP324355SVG-B |
Recombinant Saccharomyces cerevisiae Nitrogen permease reactivator protein (NPR1), partial | Yeast E.coli Baculovirus Mammalian cell In Vivo Biotinylation in E.coli |






