NOTCH2
NOTCH2,全稱為Notch homolog 2 (Drosophila),別名N2N,是一種與細胞分化、增殖和凋亡密切相關的蛋白質。該蛋白在多種組織中表達,并在發育過程中發揮重要作用。NOTCH2蛋白通過與其他蛋白質的結合,參與細胞信號傳導,影響細胞的命運決定。研究表明,NOTCH2蛋白與多種疾病的發生發展密切相關,包括癌癥、心血管疾病和神經退行性疾病。在癌癥中,NOTCH2蛋白的異常表達或功能異常可能導致腫瘤細胞的增殖、侵襲和轉移。因此,針對NOTCH2蛋白的藥物研發成為癌癥治療的重要方向。目前,已有多種靶向NOTCH2蛋白的藥物進入臨床試驗階段,包括抗體藥物、細胞療法和基因療法等。這些藥物通過抑制NOTCH2蛋白的表達或功能,有望為相關疾病患者帶來新的治療選擇。
熱銷產品
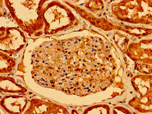
NOTCH2 Antibody (CSB-PA015950LA01HU)
驗證數據
Immunohistochemistry of paraffin-embedded human kidney tissue using CSB-PA015950LA01HU at dilution of 1:100
Immunofluorescence staining of MCF-7 cells with CSB-PA015950LA01HU at 1:133, counter-stained with DAPI. The cells were fixed in 4% formaldehyde, permeabilized using 0.2% Triton X-100 and blocked in 10% normal Goat Serum. The cells were then incubated with the antibody overnight at 4°C. The secondary antibody was Alexa Fluor 488-congugated AffiniPure Goat Anti-Rabbit IgG(H+L).
NOTCH2 Antibodies
NOTCH2 for Homo sapiens (Human)
| 產品貨號 | 產品名稱 | 種屬反應性 | 應用類型 |
|---|---|---|---|
| CSB-PA000058 | Cleaved-NOTCH2 (D1733) Antibody | Human,Mouse,Rat | WB, IHC, ELISA |
| CSB-PA020143 | Cleaved-NOTCH2 (A1734) Antibody | Human,Mouse,Rat | WB, ELISA |
| CSB-PA020145 | Cleaved-NOTCH2 (V1697) Antibody | Human,Mouse,Rat | WB, ELISA |
| CSB-PA633834 | NOTCH2 Antibody | Human,Mouse,Rat | ELISA,IHC |
| CSB-PA964902 | NOTCH2 Antibody | Human,Mouse,Rat | ELISA,WB,IHC |
| CSB-PA015950LA01HU | NOTCH2 Antibody | Human | ELISA, IHC, IF |
| CSB-PA015950LB01HU | NOTCH2 Antibody, HRP conjugated | Human | ELISA |
| CSB-PA015950LC01HU | NOTCH2 Antibody, FITC conjugated | Human |
NOTCH2 Proteins
NOTCH2 Proteins for Homo sapiens (Human)
| 產品貨號 | 產品名稱 | 來源 |
|---|---|---|
| CSB-YP015950HU CSB-EP015950HU CSB-BP015950HU CSB-MP015950HU CSB-EP015950HU-B |
Recombinant Human Neurogenic locus notch homolog protein 2 (NOTCH2), partial | Yeast E.coli Baculovirus Mammalian cell In Vivo Biotinylation in E.coli |
NOTCH2 Proteins for Mus musculus (Mouse)
| 產品貨號 | 產品名稱 | 來源 |
|---|---|---|
| CSB-YP015950MO CSB-EP015950MO CSB-BP015950MO CSB-MP015950MO CSB-EP015950MO-B |
Recombinant Mouse Neurogenic locus notch homolog protein 2 (Notch2), partial | Yeast E.coli Baculovirus Mammalian cell In Vivo Biotinylation in E.coli |
NOTCH2 Proteins for Rattus norvegicus (Rat)
| 產品貨號 | 產品名稱 | 來源 |
|---|---|---|
| CSB-YP882539RA CSB-EP882539RA CSB-BP882539RA CSB-MP882539RA CSB-EP882539RA-B |
Recombinant Rat Neurogenic locus notch homolog protein 2 (Notch2), partial | Yeast E.coli Baculovirus Mammalian cell In Vivo Biotinylation in E.coli |






