NOD1
NOD1,即含核苷酸結合寡聚化結構域1,別名CARD4、NLRC1、CLR7.1等。它是一種在人體細胞中表達的蛋白質,屬于核苷酸結合寡聚化結構域(NOD)樣受體(NLR)家族。NOD1的作用機制是通過其N端的caspase募集結構域(CARD)、中心位置的核苷酸結合域(NBD)以及C端的10個串聯的富含亮氨酸重復序列(LRRs)來識別細菌肽聚糖,并引發炎癥反應,從而在天然免疫中發揮作用。NOD1還參與對病毒和寄生蟲感染的免疫反應。NOD1通過模式識別受體(PRR)的功能識別病原微生物并激活下游的炎癥和免疫應答。NOD1的突變與多種疾病相關,包括哮喘、炎癥性腸病、白塞病和結節病等。
熱銷產品
驗證數據
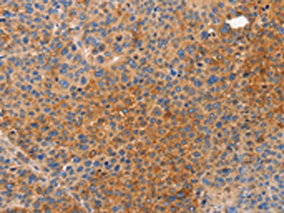
The image on the left is immunohistochemistry of paraffin-embedded Human liver cancer tissue using CSB-PA047815(NOD1 Antibody) at dilution 1/50, on the right is treated with synthetic peptide. (Original magnification: ×200)
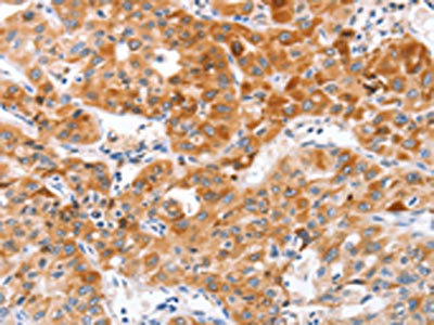
The image on the left is immunohistochemistry of paraffin-embedded Human lung cancer tissue using CSB-PA047815(NOD1 Antibody) at dilution 1/50, on the right is treated with synthetic peptide. (Original magnification: ×200)
驗證數據
貨號:CSB-EL015914HU
規格:96T/48T
靈敏度:3.9 pg/mL
檢測范圍:15.6 pg/mL-1000 pg/mL
These standard curves are provided for demonstration only. A standard curve should be generated for each set of samples assayed.
NOD1 Antibodies
NOD1 for Homo sapiens (Human)
| 產品貨號 | 產品名稱 | 種屬反應性 | 應用類型 |
|---|---|---|---|
| CSB-PA047815 | NOD1 Antibody | Human,Mouse | ELISA,IHC |
| CSB-PA876477 | NOD1 Antibody | Human,Mouse | ELISA,IHC |
NOD1 Proteins
NOD1 Proteins for Mus musculus (Mouse)
| 產品貨號 | 產品名稱 | 來源 |
|---|---|---|
| CSB-YP804340MO CSB-EP804340MO CSB-BP804340MO CSB-MP804340MO CSB-EP804340MO-B |
Recombinant Mouse Nucleotide-binding oligomerization domain-containing protein 1 (Nod1), partial | Yeast E.coli Baculovirus Mammalian cell In Vivo Biotinylation in E.coli |
NOD1 Proteins for Homo sapiens (Human)
| 產品貨號 | 產品名稱 | 來源 |
|---|---|---|
| CSB-YP896866HU CSB-EP896866HU CSB-BP896866HU CSB-MP896866HU CSB-EP896866HU-B |
Recombinant Human Nucleotide-binding oligomerization domain-containing protein 1 (NOD1), partial | Yeast E.coli Baculovirus Mammalian cell In Vivo Biotinylation in E.coli |
NOD1 ELISA Kit
NOD1 ELISA Kit for Homo sapiens (Human)
| 產品貨號 | 產品名稱 | 樣本類型 | 靈敏度 |
|---|---|---|---|
| CSB-EL015914HU | Human Nucleotide-binding oligomerization domain-containing protein 1(NOD1) ELISA kit | serum, plasma, tissue homogenates, cell lysates | 3.9 pg/mL |






