NEUROG3
NEUROG3,即神經生成素3,別名ngn3、Atoh5、NGN-3、Math4B、bHLHa7。NEUROG3是一種堿性螺旋-環-螺旋(bHLH)家族的轉錄因子,參與神經發生和內分泌細胞的分化。NEUROG3通過激活DNA結合轉錄激活因子活性,特異性結合RNA聚合酶II和雙鏈DNA,參與中樞神經系統發育、正調控神經元分化以及DNA模板轉錄調控。NEUROG3對于胰腺內分泌細胞的發育及分化至關重要,被認為是胰腺祖細胞向內分泌細胞分化的關鍵調控因子。NEUROG3的突變與多種疾病相關,包括先天性吸收不良腹瀉4、葡萄糖不耐受和2型糖尿病。
熱銷產品
Recombinant Human Neurogenin-3 (NEUROG3) (CSB-EP896521HU)
驗證數據
(Tris-Glycine gel) Discontinuous SDS-PAGE (reduced) with 5% enrichment gel and 15% separation gel.
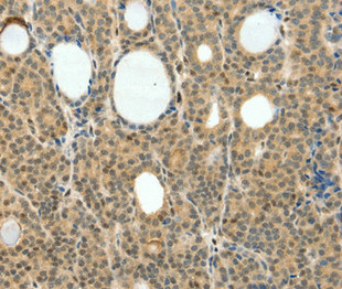
NEUROG3 Antibody (CSB-PA956774)
驗證數據
Gel: 12%SDS-PAGE Lysates (from left to right): Mouse liver tissue Amount of lysate: 50μg per lane Primary antibody: 1/250 dilution Secondary antibody dilution: 1/8000 Exposure time: 40 seconds
Immunohistochemical analysis of paraffin-embedded Human thyroid cancer tissue using at dilution 1/30.
NEUROG3 Antibodies
NEUROG3 for Homo sapiens (Human)
| 產品貨號 | 產品名稱 | 種屬反應性 | 應用類型 |
|---|---|---|---|
| CSB-PA956774 | NEUROG3 Antibody | Human,Mouse,Rat | ELISA,WB,IHC |
NEUROG3 Proteins
NEUROG3 Proteins for Homo sapiens (Human)
| 產品貨號 | 產品名稱 | 來源 |
|---|---|---|
| CSB-YP896521HU CSB-BP896521HU CSB-MP896521HU CSB-EP896521HU-B |
Recombinant Human Neurogenin-3 (NEUROG3) | Yeast Baculovirus Mammalian cell In Vivo Biotinylation in E.coli |
| CSB-EP896521HU | Recombinant Human Neurogenin-3 (NEUROG3) | E.coli |






