NEU4
NEU4,即神經氨酸酶4,別名N-acetyl-alpha-neuraminidase 4。它來源于生物體內的基因編碼,屬于糖水解酶家族,廣泛存在于多種生物體中,包括人類和其他哺乳動物。NEU4的主要作用機制是從糖蛋白、糖脂等糖綴合物中去除唾液酸殘基,參與溶酶體內唾液酸化糖基共軛物的分解代謝。NEU4通過調控細胞表面的唾液酸水平,影響細胞的粘附、遷移和信號傳導等過程。此外,研究表明NEU4在多種疾病中發揮著重要作用,如肝癌等癌癥中NEU4的表達水平與患者的預后密切相關。因此,NEU4的研究不僅有助于深入理解細胞生物學過程,還能為相關疾病的治療提供新的靶點。
熱銷產品
NEU4 Antibody (CSB-PA848831LA01HU)
驗證數據
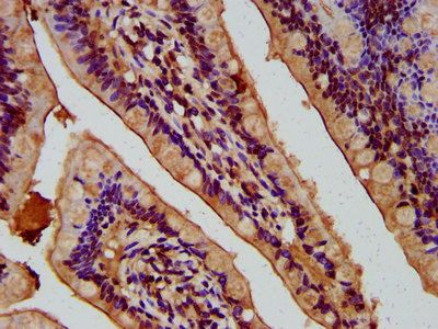
IHC image of CSB-PA848831LA01HU diluted at 1:400 and staining in paraffin-embedded human small intestine tissue performed on a Leica BondTM system. After dewaxing and hydration, antigen retrieval was mediated by high pressure in a citrate buffer (pH 6.0). Section was blocked with 10% normal goat serum 30min at RT. Then primary antibody (1% BSA) was incubated at 4°C overnight. The primary is detected by a biotinylated secondary antibody and visualized using an HRP conjugated SP system.
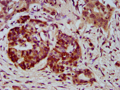
IHC image of CSB-PA848831LA01HU diluted at 1:400 and staining in paraffin-embedded human pancreatic cancer performed on a Leica BondTM system. After dewaxing and hydration, antigen retrieval was mediated by high pressure in a citrate buffer (pH 6.0). Section was blocked with 10% normal goat serum 30min at RT. Then primary antibody (1% BSA) was incubated at 4°C overnight. The primary is detected by a biotinylated secondary antibody and visualized using an HRP conjugated SP system.
Immunofluorescence staining of HepG2 cells with CSB-PA848831LA01HU at 1:133, counter-stained with DAPI. The cells were fixed in 4% formaldehyde, permeabilized using 0.2% Triton X-100 and blocked in 10% normal Goat Serum. The cells were then incubated with the antibody overnight at 4°C. The secondary antibody was Alexa Fluor 488-congugated AffiniPure Goat Anti-Rabbit IgG(H+L).
NEU4 Antibodies
NEU4 for Homo sapiens (Human)
| 產品貨號 | 產品名稱 | 種屬反應性 | 應用類型 |
|---|---|---|---|
| CSB-PA015720GA01HU | NEU4 Antibody | Human | ELISA,WB,IHC |
| CSB-PA848831LA01HU | NEU4 Antibody | Human | ELISA, IHC, IF |
| CSB-PA848831LB01HU | NEU4 Antibody, HRP conjugated | Human | ELISA |
| CSB-PA848831LC01HU | NEU4 Antibody, FITC conjugated | Human | |
| CSB-PA848831LD01HU | NEU4 Antibody, Biotin conjugated | Human | ELISA |
NEU4 Proteins
NEU4 Proteins for Homo sapiens (Human)
| 產品貨號 | 產品名稱 | 來源 |
|---|---|---|
| CSB-YP848831HU CSB-EP848831HU CSB-BP848831HU CSB-MP848831HU CSB-EP848831HU-B |
Recombinant Human Sialidase-4 (NEU4) | Yeast E.coli Baculovirus Mammalian cell In Vivo Biotinylation in E.coli |






